Suppr超能文献

源自人阴道詹氏乳杆菌的(-)-萜品-4-醇通过抑制耐药大肠杆菌和肺炎克雷伯菌中的外排泵来恢复抗生素敏感性。

Human vaginal Lactobacillus Jensenii -derived (-)-Terpinen-4-ol restores antibiotic sensitivity by inhibiting efflux pumps in drug resistant E. coli and K. pneumoniae.

作者信息

Nair Veena G, Unnikrishnan Vineetha K, Muralidharan Niraimathi, Venkatathri Badri N S, Lowrence Rene Christena, Ybrd Rajesh, Narbhavi Dhiviya, A Anupriya, N Prabhusaran, Nagarajan Saisubramanian

机构信息

Antimicrobial Resistance Lab, Centre for Research in Infectious diseases, School of Chemical and Biotechnology, SASTRA Deemed to be University, Thanjavur, Tamil Nadu, 613401, India.

Formerly with the Antimicrobial Resistance Lab, Centre for Research in Infectious diseases, School of Chemical and Biotechnology, SASTRA Deemed to be University, Thanjavur, Tamil Nadu, 613401, India.

出版信息

Sci Rep. 2025 Aug 29;15(1):31823. doi: 10.1038/s41598-025-17404-4.

Abstract

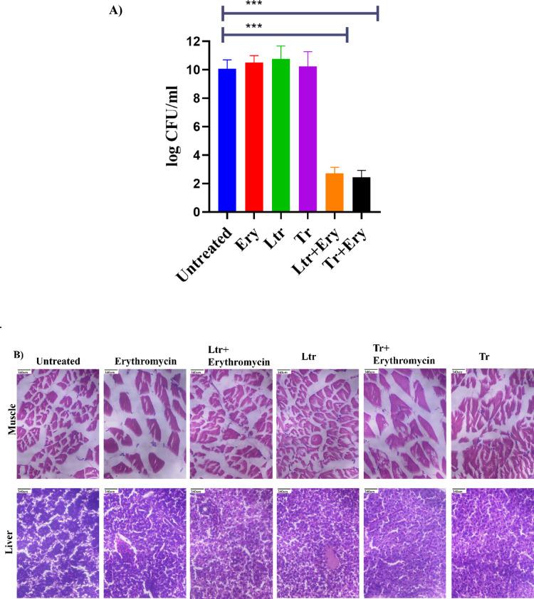
Probiotics present a promising preventive strategy for addressing urinary tract infections (UTIs) and serve as a viable alternative to conventional antimicrobial treatments. The integration of Lactobacillus-derived efflux pump inhibitors (EPIs) with conventional antibiotics presents a promising strategy to enhance the efficacy of treatments against antibiotic-resistant superbugs. In this study, we isolated eight vaginal Lactobacillus spp. from 54 healthy Indian women to explore their probiotic properties, specifically the ability of cell-free supernatant (CFS) from Lactobacillus jensenii. to inhibit efflux in Multi Drug Resistant (MDR) E. coli and K. pneumoniae. From the CFS, we obtained seven fractions, among which compound 7 (C7) markedly reduced the MIC of erythromycin against the K. pneumoniae MTCC 432 strain by 32-fold from 64 to 2 µg and restored its sensitivity, indicating potent efflux inhibitory activity. Gas Chromatography-Mass Spectrometry (GC-MS) analysis identified one major compound from the C7 fraction as Cyclohexen-1-ol, 4-methyl-1-(1-methylethyl)-, (R)-, also known as (-)-Terpinen-4-ol. In vivo studies using zebrafish infected with clinical strain of K. pneumoniae 1845 followed by treatment with (-)-Terpinen-4-ol and erythromycin caused a significant 7-log reduction in bacterial bioburden. Additionally, time-kill assay demonstrated that the combination of erythromycin with (-)-Terpinen-4-ol caused a remarkable 7-log reduction in both K. pneumoniae, and E. coli cell counts. Furthermore, (-)-Terpinen-4-ol -erythromycin combination exhibited a six-log reduction in bacterial burden in infected T24 bladder cell lines and was found to be non-toxic. This study underscores the efflux inhibitory potential of (-)-Terpinen-4-ol extracted from the CFS of human vaginal probiotics, paving the way for future pharmacological research and therapeutic applications.

摘要

益生菌为解决尿路感染(UTIs)提供了一种有前景的预防策略,并且是传统抗菌治疗的可行替代方案。将源自乳酸杆菌的外排泵抑制剂(EPIs)与传统抗生素相结合,是提高针对耐抗生素超级细菌治疗效果的一种有前景的策略。在本研究中,我们从54名健康的印度女性中分离出8种阴道乳酸杆菌属菌株,以探索它们的益生菌特性,特别是詹氏乳酸杆菌无细胞上清液(CFS)抑制多重耐药(MDR)大肠杆菌和肺炎克雷伯菌外排的能力。从CFS中,我们获得了7个组分,其中化合物7(C7)使红霉素对肺炎克雷伯菌MTCC 432菌株的最低抑菌浓度(MIC)从64微克显著降低32倍至2微克,并恢复了其敏感性,表明具有强大的外排抑制活性。气相色谱 - 质谱(GC-MS)分析确定C7组分中的一种主要化合物为环己烯 - 1 - 醇,4 - 甲基 - 1 - (1 - 甲基乙基) - ,(R) - ,也称为( - ) - 萜品 - 4 - 醇。使用感染肺炎克雷伯菌1845临床菌株的斑马鱼进行的体内研究,随后用( - ) - 萜品 - 4 - 醇和红霉素治疗,导致细菌生物负荷显著降低7个对数。此外,时间 - 杀菌试验表明,红霉素与( - ) - 萜品 - 4 - 醇的组合使肺炎克雷伯菌和大肠杆菌细胞计数均显著降低7个对数。此外,( - ) - 萜品 - 4 - 醇 - 红霉素组合在感染的T24膀胱细胞系中使细菌负荷降低了6个对数,并且被发现无毒。本研究强调了从人阴道益生菌CFS中提取的( - ) - 萜品 - 4 - 醇的外排抑制潜力,为未来的药理学研究和治疗应用铺平了道路。

https://cdn.ncbi.nlm.nih.gov/pmc/blobs/9c69/12397448/40d134d982db/41598_2025_17404_Fig1_HTML.jpg

文献AI研究员

20分钟写一篇综述,助力文献阅读效率提升50倍。

立即体验

用中文搜PubMed

大模型驱动的PubMed中文搜索引擎

马上搜索

文档翻译

学术文献翻译模型,支持多种主流文档格式。

立即体验