Suppr超能文献

WEE1抑制剂与维生素K2联合使用可增强慢性髓性白血病的治疗效果。

Combination of WEE1 Inhibitor and Vitamin K2 Enhances Therapeutic Efficacy in Chronic Myeloid Leukemia.

作者信息

Okabe Seiichi, Arai Yuya, Gotoh Akihiko, Akahane Daigo

机构信息

Department of Hematology Tokyo Medical University Tokyo Japan.

出版信息

Cancer Innov. 2025 Aug 28;4(5):e70024. doi: 10.1002/cai2.70024. eCollection 2025 Oct.

Abstract

BACKGROUND

Chronic myeloid leukemia (CML) is a clonal malignancy propelled by the fusion gene originating from the Philadelphia chromosome. This gene activates ABL tyrosine kinase, which enhances the survival of leukemic cells. Although tyrosine kinase inhibitors (TKIs) have significantly advanced the treatment of CML, resistance to these inhibitors presents a substantial hurdle. Consequently, novel therapeutic strategies targeting resistance mechanisms independent of are urgently needed.

METHODS

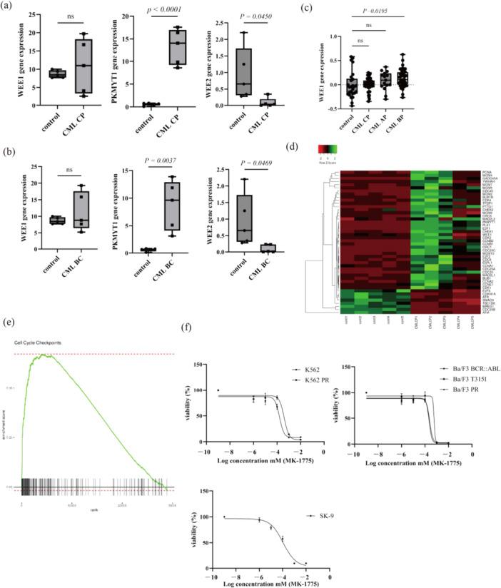
This study investigated the potential impact of combining WEE1 inhibitors, particularly MK-1775, with vitamin K2 (VK2) in treating CML. To analyze differentially expressed and spliced transcripts in CML, we examined mRNA profiles from peripheral blood mononuclear cells of five patients with CML (during chronic and blast phases) and five healthy controls. The samples were analyzed using deep sequencing. Differential expression analyses were performed using RaNA-Seq and Heatmapper, the latter of which was designed for complex data set visualizations.

RESULTS

WEE1 controls the G2/M checkpoint to prevent early mitosis, and blocking it increases the cytotoxicity of agents that damage deoxyribonucleic acid, especially in cancers lacking p53. VK2, a micronutrient, exerts anticancer effects against various malignancies. Gene expression studies have indicated that PKMYT1 expression is elevated in CML but not WEE1 cells. MK-1775 successfully halted the growth of both standard and TKI-resistant CML cell lines by triggering apoptosis via caspase 3/7 activation. VK2 reduced the viability of CML cells and increased cytotoxicity. A combined regimen of MK-1775 and VK2 markedly decreased colony growth, disrupted mitochondrial membrane potential, and increased death in CML cells, including those resistant to TKIs.

CONCLUSIONS

The results suggest that a combination of MK-1775 and VK2 represents a potentially effective treatment strategy for CML, especially in drug-resistant cases.

摘要

背景

慢性髓性白血病(CML)是一种由源自费城染色体的融合基因驱动的克隆性恶性肿瘤。该基因激活ABL酪氨酸激酶,从而提高白血病细胞的存活率。尽管酪氨酸激酶抑制剂(TKIs)显著推进了CML的治疗,但对这些抑制剂的耐药性仍是一个重大障碍。因此,迫切需要针对独立于[此处原文缺失相关内容]耐药机制的新型治疗策略。

方法

本研究调查了联合使用WEE1抑制剂,特别是MK - 1775与维生素K2(VK2)治疗CML的潜在影响。为了分析CML中差异表达和剪接的转录本,我们检测了5例CML患者(慢性期和急变期)外周血单个核细胞以及5名健康对照的mRNA谱。样本采用深度测序进行分析。使用RaNA - Seq和Heatmapper进行差异表达分析,后者专为复杂数据集可视化而设计。

结果

WEE1控制G2/M期检查点以防止过早有丝分裂,阻断它会增加损伤脱氧核糖核酸药物的细胞毒性,特别是在缺乏p53的癌症中。VK2作为一种微量营养素,对多种恶性肿瘤具有抗癌作用。基因表达研究表明,PKMYT1在CML细胞中表达升高,但WEE1细胞中未升高。MK - 1775通过激活半胱天冬酶3/7触发凋亡,成功抑制了标准和TKI耐药的CML细胞系的生长。VK2降低了CML细胞的活力并增加了细胞毒性。MK - 1775和VK2联合方案显著降低了CML细胞的集落生长,破坏了线粒体膜电位,并增加了细胞死亡,包括对TKIs耐药的细胞。

结论

结果表明,MK - 1775和VK2联合使用可能是CML的一种有效治疗策略,尤其是在耐药病例中。

https://cdn.ncbi.nlm.nih.gov/pmc/blobs/62f0/12394061/4d6056b3686e/CAI2-4-e70024-g004.jpg

文献AI研究员

20分钟写一篇综述,助力文献阅读效率提升50倍。

立即体验

用中文搜PubMed

大模型驱动的PubMed中文搜索引擎

马上搜索

文档翻译

学术文献翻译模型,支持多种主流文档格式。

立即体验