Suppr超能文献

阑尾黏液性肿瘤:基于临床、组织学和分子特征优化治疗策略。

Appendiceal mucinous neoplasms: Optimizing treatment strategies based on clinical, histological, and molecular features.

作者信息

Mitamura Atsushi, Tsujinaka Shingo, Fujishima Fumiyoshi, Sawada Kentaro, Hikage Makoto, Miura Tomoya, Kitamura Yoh, Hatsuzawa Yuuri, Nakano Toru, Shibata Chikashi

机构信息

Division of Gastroenterologic Surgery, Department of Surgery, Tohoku Medical and Pharmaceutical University, Sendai 983-8536, Miyagi, Japan.

Department of Pathology, Tohoku Medical and Pharmaceutical University, Sendai 983-8536, Miyagi, Japan.

出版信息

World J Clin Oncol. 2025 Aug 24;16(8):109088. doi: 10.5306/wjco.v16.i8.109088.

Abstract

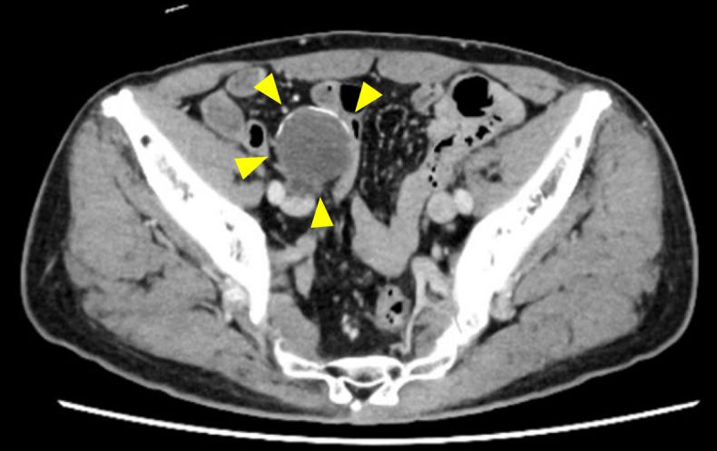
Appendiceal mucinous neoplasms (AMNs) are rare tumors originating from mucin-producing epithelial cells of the appendix. They can exhibit both benign and malignant behavior. They are often incidentally discovered during appendectomy. Clinical presentation ranges from asymptomatic to mimicking acute appendicitis. Histologically, noninvasive AMNs are classified as low-grade AMNs (LAMNs) or high-grade AMNs (HAMNs), whereas invasive tumors are categorized as mucinous adenocarcinomas. Although LAMNs and HAMNs are generally nonmalignant, rupture can lead to pseudomyxoma peritonei (PMP). Surgical resection is the primary diagnostic and therapeutic approach, with intraoperative assessment to prevent rupture. Treatment strategies vary based on findings and include appendectomy, right hemicolectomy, and cytoreductive surgery with hyperthermic intraperitoneal chemotherapy. Histological diagnosis relies on mucin detection, and immunohistochemical markers such as cytokeratin 20 (diffusely positive), cytokeratin 7 (often negative), mucin 5AC, and special AT-rich sequence-binding protein 2 assist in characterization. Molecular profiling frequently identifies , , and mutations. mutations are generally associated with a favorable prognosis, whereas and mutations correlate with poorer survival outcomes. These findings highlight the potential role of molecular profiling in guiding treatment strategies for AMN and PMP.

摘要

阑尾黏液性肿瘤(AMNs)是起源于阑尾黏液分泌上皮细胞的罕见肿瘤。它们可表现出良性和恶性行为。常在阑尾切除术中偶然发现。临床表现从无症状到类似急性阑尾炎不等。在组织学上,非侵袭性AMNs分为低级别AMNs(LAMNs)或高级别AMNs(HAMNs),而侵袭性肿瘤则归类为黏液腺癌。虽然LAMNs和HAMNs通常为非恶性,但破裂可导致腹膜假黏液瘤(PMP)。手术切除是主要的诊断和治疗方法,术中需进行评估以防止破裂。治疗策略根据检查结果而异,包括阑尾切除术、右半结肠切除术以及伴有热灌注腹腔化疗的减瘤手术。组织学诊断依赖于黏液检测,细胞角蛋白20(弥漫性阳性)、细胞角蛋白7(常为阴性)、黏蛋白5AC和富含AT序列的特殊结合蛋白2等免疫组化标志物有助于特征描述。分子谱分析常可识别 、 和 突变。 突变通常与预后良好相关,而 和 突变与较差的生存结果相关。这些发现凸显了分子谱分析在指导AMN和PMP治疗策略方面的潜在作用。

https://cdn.ncbi.nlm.nih.gov/pmc/blobs/2eb5/12400231/cca2d4b823b3/wjco-16-8-109088-g001.jpg

文献AI研究员

20分钟写一篇综述,助力文献阅读效率提升50倍。

立即体验

用中文搜PubMed

大模型驱动的PubMed中文搜索引擎

马上搜索

文档翻译

学术文献翻译模型,支持多种主流文档格式。

立即体验