Suppr超能文献

轻度神经认知障碍患者基于个性化定制的严肃健身游戏训练后的大脑结构改善:探索性随机对照试验

Structural brain improvements following individually tailored serious exergame-based training in mild neurocognitive disorders: exploratory randomized controlled trial.

作者信息

Manser Patrick, Rosio Michael, Schmidt André, Michels Lars, de Bruin Eling D

机构信息

Motor Control and Learning Group, Institute of Human Movement Sciences and Sport, Department of Health Sciences and Technology, ETH Zurich, Leopold-Ruzicka-Weg 4, Zurich, 8093, Switzerland.

Department of Neurobiology, Care Sciences, and Society, Division of Physiotherapy, Karolinska Institutet, Alfred Nobels Allé 23, Huddinge, 14183, Sweden.

出版信息

Alzheimers Res Ther. 2025 Sep 8;17(1):190. doi: 10.1186/s13195-025-01835-2.

Abstract

INTRODUCTION

Exergame-based training is emerging as the most effective exercise modality for improving cognition, yet its neural correlates remain largely unexplored. This study explored gray matter (GM) and white matter (WM) changes following the addition of ‘Brain-IT’ training to usual care in mild neurocognitive disorder (mNCD) and their associations with cognitive performance changes.

METHODS

We included 41 participants with mNCD, randomized to either the intervention (‘Brain-IT’ training + usual care) or the control (usual care only) group. ‘Brain-IT’ is a holistic, individually tailored program for secondary mNCD prevention delivered through serious exergames. T1-weighted and diffusion tensor imaging data were analyzed via standard neuroimaging analysis pipelines (FreeSurfer, tract-based spatial statistics) to assess GM/WM volumes in predefined regions of interest and WM integrity at the voxel-to-voxel level. Intervention-related changes were explored via analyses of covariance, focusing on effect size estimates. One-sided bivariate correlation analyses explored associations between changes in brain structure and cognitive performance.

RESULTS

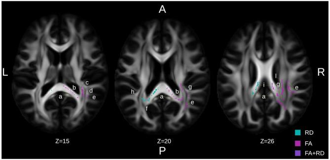
Complete datasets from 30 study participants (72.0 ± 8.6 years; 27% females) were available. 87% of participants had biomarker-supported characterization of mNCD etiology– mostly Alzheimer’s (62%). Significant moderate to large effects (partial eta-squared = 0.109 to 0.187) on GM/WM volumes were observed in the right and total hippocampus, thalamus, and anterior cingulate cortex in favor of ‘Brain-IT’ training. Hippocampal and thalamic changes correlated with improvements in verbal delayed recall. Protective effects on WM integrity, which correlated with cognitive improvements, were also observed, mainly around the thalamic radiation and the corpus callosum.

CONCLUSION

This is the first RCT showing that a co-designed, purpose-developed, and individually tailored exergame-based training may positively impact brain structures affected in mNCD, with potential associations suggestive of a causal link to cognitive improvements. Since hippocampal atrophy is a hallmark of Alzheimer’s disease with high prognostic value for disease progression, our observations may be a first indication of a potential disease-modifying role of ‘Brain-IT’ training. However, adequately powered and hypothesis-driven studies are needed to build on these initial exploratory findings and better understand the neurobiological effects of exergame-based training.

TRIAL REGISTRATION

ClinicalTrials.gov (NCT05387057; date of registration: May 18, 2022): https://clinicaltrials.gov/ct2/show/NCT05387057.

SUPPLEMENTARY INFORMATION

The online version contains supplementary material available at 10.1186/s13195-025-01835-2.

摘要

引言

基于运动游戏的训练正成为改善认知的最有效运动方式,但其神经关联仍 largely 未被探索。本研究探讨了在轻度神经认知障碍(mNCD)的常规护理中加入“Brain-IT”训练后灰质(GM)和白质(WM)的变化及其与认知表现变化的关联。

方法

我们纳入了 41 名 mNCD 参与者,随机分为干预组(“Brain-IT”训练 + 常规护理)或对照组(仅常规护理)。“Brain-IT”是一个通过严肃运动游戏提供的针对 mNCD 二级预防的整体、个性化方案。通过标准神经影像分析管道(FreeSurfer、基于束的空间统计)分析 T1 加权和扩散张量成像数据,以评估预定义感兴趣区域的 GM/WM 体积以及体素到体素水平的 WM 完整性。通过协方差分析探索与干预相关的变化,重点是效应大小估计。单侧双变量相关分析探讨脑结构变化与认知表现之间的关联。

结果

可获得 30 名研究参与者(72.0 ± 8.6 岁;27% 为女性)完整的数据集。87% 的参与者具有生物标志物支持的 mNCD 病因特征描述——大多数为阿尔茨海默病(62%)。在右侧和总海马体、丘脑和前扣带回皮质观察到对 GM/WM 体积有显著的中度至大效应(偏 eta 平方 = 0.109 至 0.187),支持“Brain-IT”训练。海马体和丘脑的变化与言语延迟回忆的改善相关。还观察到对 WM 完整性的保护作用,这与认知改善相关,主要围绕丘脑辐射和胼胝体。

结论

这是第一项随机对照试验,表明共同设计、专门开发和个性化定制的基于运动游戏的训练可能对 mNCD 中受影响的脑结构产生积极影响,潜在关联提示与认知改善存在因果联系。由于海马体萎缩是阿尔茨海默病的一个标志,对疾病进展具有高预后价值,我们的观察结果可能是“Brain-IT”训练具有潜在疾病修饰作用的首个迹象。然而,需要有足够样本量和假设驱动的研究来基于这些初步探索性发现并更好地理解基于运动游戏的训练的神经生物学效应。

试验注册

ClinicalTrials.gov(NCT05387057;注册日期:2022 年 5 月 18 日):https://clinicaltrials.gov/ct2/show/NCT05387057。

补充信息

在线版本包含可在 10.1186/s13195-025-01835-2 获得的补充材料。

https://cdn.ncbi.nlm.nih.gov/pmc/blobs/6e09/12416070/5522098b0d37/13195_2025_1835_Fig1_HTML.jpg

文献AI研究员

20分钟写一篇综述,助力文献阅读效率提升50倍。

立即体验

用中文搜PubMed

大模型驱动的PubMed中文搜索引擎

马上搜索

文档翻译

学术文献翻译模型,支持多种主流文档格式。

立即体验