Suppr超能文献

刺伤后慢性创伤性主动脉心室瘘:一例报告

Chronic Traumatic Aortoventricular Fistula Following a Stab Injury: A Case Report.

作者信息

Ullah Ubaid, Zaib Sultan, Khan Malik W Z, Iftikhar Hammad, Iqbal Aamir, Nasir Abdul, Farooq Umar, Hameed Alishba, Ikram Jibran

机构信息

Khyber Medical College Peshawar Pakistan.

Rehman Medical College Peshawar Pakistan.

出版信息

Clin Case Rep. 2025 Oct 26;13(11):e71359. doi: 10.1002/ccr3.71359. eCollection 2025 Nov.

Abstract

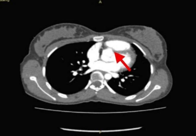
An aorto-cameral fistula (ACF) is a rare abnormal communication between the aorta and a cardiac chamber, often resulting from trauma, ruptured sinus of Valsalva aneurysms, infective endocarditis, aortic dissection, or iatrogenic causes. Clinical presentations vary from asymptomatic cases to severe hemodynamic compromise, including heart failure, arrhythmias, and sudden cardiac death. We present a 17-year-old female with exertional dyspnea and fatigue, 9 years after a penetrating chest trauma. Transthoracic echocardiography and cardiac CT revealed an 8 mm fistulous connection between the right sinus of Valsalva and the right ventricular outflow tract. Surgical repair under cardiopulmonary bypass successfully closed the defect with 5-0 Prolene sutures, confirmed intraoperatively without residual shunting or aortic valve dysfunction. The patient recovered uneventfully and was discharged on postoperative day four. This case highlights the diagnostic challenges of chronic traumatic ACF and emphasizes the importance of multimodal imaging for early detection and timely surgical intervention to prevent long-term hemodynamic deterioration. Given the potential for delayed complications, clinicians should maintain a high index of suspicion for post-traumatic cardiac fistulas, even years after the initial injury.

摘要

主动脉-心腔瘘(ACF)是一种罕见的主动脉与心腔之间的异常连通,通常由外伤、瓦氏窦瘤破裂、感染性心内膜炎、主动脉夹层或医源性原因引起。临床表现从无症状到严重的血流动力学障碍不等,包括心力衰竭、心律失常和心源性猝死。我们报告一例17岁女性,在胸部穿透伤9年后出现劳力性呼吸困难和疲劳。经胸超声心动图和心脏CT显示,瓦氏窦右窦与右心室流出道之间存在一个8毫米的瘘管连接。在体外循环下进行手术修复,成功地用5-0普罗林缝线闭合了缺损,术中证实无残余分流或主动脉瓣功能障碍。患者恢复顺利,术后第四天出院。该病例突出了慢性创伤性ACF的诊断挑战,并强调了多模态成像对于早期检测和及时手术干预以防止长期血流动力学恶化的重要性。鉴于可能出现延迟并发症,临床医生即使在初始损伤多年后,也应高度怀疑创伤后心脏瘘。

https://cdn.ncbi.nlm.nih.gov/pmc/blobs/ff09/12554948/810c7a7b1c85/CCR3-13-e71359-g003.jpg

本文引用的文献

3
Aorta-cameral fistulas: Spectrum of CT findings and review.
Clin Imaging. 2021 Dec;80:193-198. doi: 10.1016/j.clinimag.2021.07.013. Epub 2021 Jul 29.
4
A case report: a rare case of severe aortic incompetence.
Eur Heart J Case Rep. 2020 May 26;4(3):1-5. doi: 10.1093/ehjcr/ytaa107. eCollection 2020 Jun.
5
Sinus of valsalva aneurysms: review of the literature and an update on management.
Clin Cardiol. 2015 Mar;38(3):185-9. doi: 10.1002/clc.22359. Epub 2015 Mar 10.
9
Sinus of Valsalva aneurysms--47 years of a single center experience and systematic overview of published reports.
Am J Cardiol. 2007 Apr 15;99(8):1159-64. doi: 10.1016/j.amjcard.2006.11.047. Epub 2007 Feb 28.
10
A 32-year experience with surgical repair of sinus of valsalva aneurysms.
J Card Surg. 2005 Mar-Apr;20(2):198-204. doi: 10.1111/j.0886-0440.2005.200430.x.

文献AI研究员

20分钟写一篇综述,助力文献阅读效率提升50倍。

立即体验

用中文搜PubMed

大模型驱动的PubMed中文搜索引擎

马上搜索

文档翻译

学术文献翻译模型,支持多种主流文档格式。

立即体验