Suppr超能文献

抗体、补体和溶菌酶系统对大肠杆菌造成的分子和结构损伤。

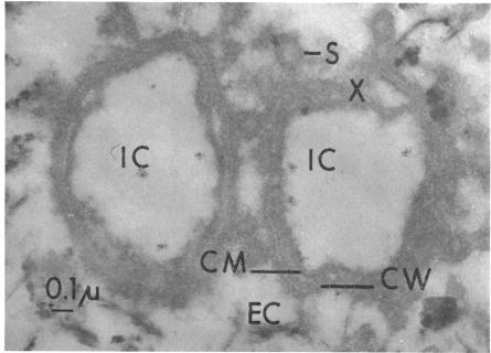
Molecular and structural damage to Escherichia coli produced by antibody, complement, and lysozyme systems.

作者信息

Wilson L A, Spitznagel J K

出版信息

J Bacteriol. 1968 Oct;96(4):1339-48. doi: 10.1128/jb.96.4.1339-1348.1968.

Abstract

The antibacterial action of antibody (normal and hyperimmune), complement, and lysozyme has been studied by correlating the ultrastructural and biochemical changes that they cause in smooth Escherichia coli. Both normal and hyperimmune antibody, in the absence of lysozyme, produced complement-dependent release, into the suspending medium, of 63 to 72% of the (32)P-labeled phospholipid and 74 to 85% of the small molecular bacterial constituents. Macromolecular nucleic acid labeled with (32)P was not released. By phase microscopy, these cells appeared as bacilli but their ultrastructure showed general swelling, with smoothing of the normally wrinkled outer cell wall layers. Cytoplasmic membranes were damaged and the internal cell structure was disorganized. Membranous spherules, apparently from the outermost putatively lipopolysaccharide cell layer, were released into the medium. When lysozyme was added to antibody and complement, (32)P-labeled macromolecular constituents were released from the cells. Damage to ultrastructure then included loss of cell wall rigidity, cell wall breakage, and some spheroplast formation. Characteristic fibrillar fragmentation was seen in cell wall mucopeptide layers. The relationships between antibody-complement dependent release of bacterial phospholipid, loss of selective cell permeability, and increase in sensitivity to lysozyme are discussed.

摘要

通过关联抗体(正常抗体和超免疫抗体)、补体和溶菌酶在光滑型大肠杆菌中引起的超微结构和生化变化,对它们的抗菌作用进行了研究。在没有溶菌酶的情况下,正常抗体和超免疫抗体都会导致补体依赖性释放,使63%至72%的(32)P标记磷脂和74%至85%的小分子细菌成分释放到悬浮介质中。用(32)P标记的大分子核酸没有释放。通过相差显微镜观察,这些细胞呈现为杆菌,但它们的超微结构显示出普遍肿胀,正常起皱的外细胞壁层变得平滑。细胞质膜受损,细胞内部结构紊乱。明显来自最外层假定为脂多糖细胞层的膜小球释放到介质中。当将溶菌酶添加到抗体和补体中时,(32)P标记的大分子成分从细胞中释放出来。此时超微结构的损伤包括细胞壁刚性丧失、细胞壁破裂和一些原生质球形成。在细胞壁粘肽层中可见特征性的纤维状断裂。讨论了细菌磷脂的抗体 - 补体依赖性释放、细胞选择性通透性丧失和对溶菌酶敏感性增加之间的关系。

https://cdn.ncbi.nlm.nih.gov/pmc/blobs/619c/252452/61cb8f60eb7a/jbacter00397-0515-a.jpg

文献AI研究员

20分钟写一篇综述,助力文献阅读效率提升50倍。

立即体验

用中文搜PubMed

大模型驱动的PubMed中文搜索引擎

马上搜索

文档翻译

学术文献翻译模型,支持多种主流文档格式。

立即体验