Suppr超能文献

钩端螺旋体免疫破坏的电子显微镜观察:补体和溶菌酶的作用

Electron microscopy of immune disruption of leptospires: action of complement and lysozyme.

作者信息

Anderson D L, Johnson R C

出版信息

J Bacteriol. 1968 Jun;95(6):2293-309. doi: 10.1128/jb.95.6.2293-2309.1968.

Abstract

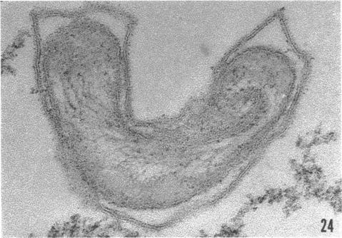
Sequential disruption of the sheath of avirulent leptospires of the serotype canicola with antibody and complement was monitored by electron microscopy. Loosening and separation of the sheath from the protoplasmic cylinder was observed as early as 2 min after exposure to complement. Virulent leptospires of this serotype were morphologically intact after 1 hr of exposure to antibody and complement. Similarly, treatment of leptospires of the serotype patoc with normal serum and complement severely damaged the sheath structure. Removal of the sheath of both serotypes permitted lysozyme to act on the wall of the protoplasmic cylinder. Thus, morphological evidence for the location of the mucopeptide-containing structure of these leptospires was obtained. Viable leptospires with intact sheaths were resistant to lysozyme alone. Sections and negatively stained preparations of sheaths of serotypes canicola and patoc revealed three dense layers with two intermediate light zones and an overall thickness of about 110 A. A periodicity of 40 A was observed in sheath fragments produced by complement. The 70 A wallmembrane complex of leptospires of both serotypes consisted of two dense layers with an intermediate light zone. Structures apparent after removal of the outer sheath included membranous bodies or mesosomes, axial filaments attached to terminal knobs at opposite ends of the cell, and electron-dense intracellular bodies.

摘要

通过电子显微镜监测了抗体和补体对犬型无毒钩端螺旋体菌鞘的顺序破坏。早在暴露于补体后2分钟就观察到菌鞘与原生质圆柱体的松动和分离。该血清型的有毒钩端螺旋体在暴露于抗体和补体1小时后形态完整。同样,用正常血清和补体处理帕托型钩端螺旋体严重破坏了菌鞘结构。去除两种血清型的菌鞘可使溶菌酶作用于原生质圆柱体的壁。因此,获得了这些钩端螺旋体含粘肽结构位置的形态学证据。具有完整菌鞘的活钩端螺旋体对单独的溶菌酶具有抗性。犬型和帕托型血清型菌鞘的切片和负染制剂显示有三层致密层,中间有两个浅色区,总厚度约为110埃。在补体产生的菌鞘片段中观察到40埃的周期性。两种血清型钩端螺旋体的70埃壁膜复合物由两层致密层和中间一个浅色区组成。去除外鞘后可见的结构包括膜状体或中体、附着在细胞两端末端小体上的轴丝以及电子致密的细胞内体。

https://cdn.ncbi.nlm.nih.gov/pmc/blobs/bfba/315165/c16a8035bfc6/jbacter00588-0347-a.jpg

文献AI研究员

20分钟写一篇综述,助力文献阅读效率提升50倍。

立即体验

用中文搜PubMed

大模型驱动的PubMed中文搜索引擎

马上搜索

文档翻译

学术文献翻译模型,支持多种主流文档格式。

立即体验