Suppr超能文献

大肠杆菌中前体蛋白识别的早期事件:信号识别颗粒(SRP)和触发因子与新生多肽的相互作用。

Early events in preprotein recognition in E. coli: interaction of SRP and trigger factor with nascent polypeptides.

作者信息

Valent Q A, Kendall D A, High S, Kusters R, Oudega B, Luirink J

机构信息

Department of Microbiology, Institute of Molecular Biological Sciences, Biocentrum Amsterdam, The Netherlands.

出版信息

EMBO J. 1995 Nov 15;14(22):5494-505. doi: 10.1002/j.1460-2075.1995.tb00236.x.

Abstract

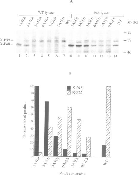
In Escherichia coli, components of a signal recognition particle (SRP) and its receptor have been identified which appear to be essential for efficient translocation of several proteins. In this study we use cross-linking to demonstrate that E. coli SRP interacts with a variety of nascent presecretory proteins and integral inner membrane proteins. Evidence is presented that the interaction is correlated with the hydrophobicity of the core region of the signal sequence and thereby with its ability to promote transport in vivo. A second E. coli component, which is identified as trigger factor, can be efficiently cross-linked to all tested nascent chains derived from both secreted and cytosolic proteins. We propose that SRP and trigger factor act as secretion-specific and general molecular chaperone respectively, early in protein synthesis.

摘要

在大肠杆菌中,已鉴定出信号识别颗粒(SRP)及其受体的组分,它们对于几种蛋白质的有效转运似乎至关重要。在本研究中,我们使用交联技术来证明大肠杆菌SRP与多种新生的分泌前蛋白和内膜整合蛋白相互作用。有证据表明,这种相互作用与信号序列核心区域的疏水性相关,从而与其在体内促进转运的能力相关。第二种大肠杆菌组分被鉴定为触发因子,它可以有效地与所有来自分泌蛋白和胞质蛋白的测试新生链交联。我们提出,SRP和触发因子分别在蛋白质合成早期作为分泌特异性和通用分子伴侣发挥作用。

https://cdn.ncbi.nlm.nih.gov/pmc/blobs/5099/394663/d83fd2704774/emboj00046-0049-a.jpg

文献AI研究员

20分钟写一篇综述,助力文献阅读效率提升50倍。

立即体验

用中文搜PubMed

大模型驱动的PubMed中文搜索引擎

马上搜索

文档翻译

学术文献翻译模型,支持多种主流文档格式。

立即体验