Suppr超能文献

大肠杆菌中的另一种蛋白质靶向途径:FtsY作用的研究

An alternative protein targeting pathway in Escherichia coli: studies on the role of FtsY.

作者信息

Luirink J, ten Hagen-Jongman C M, van der Weijden C C, Oudega B, High S, Dobberstein B, Kusters R

机构信息

Department of Microbiology, Biocentrum Amsterdam, The Netherlands.

出版信息

EMBO J. 1994 May 15;13(10):2289-96. doi: 10.1002/j.1460-2075.1994.tb06511.x.

Abstract

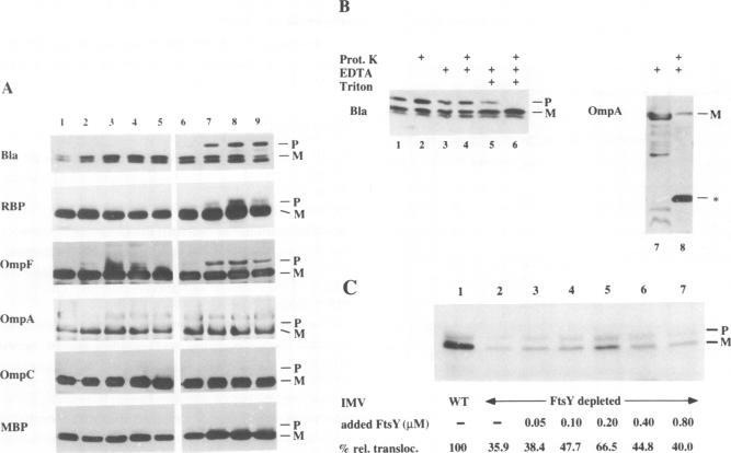
In Escherichia coli, a signal recognition particle (SRP) has been identified which binds specifically to the signal sequence of presecretory proteins and which appears to be essential for efficient translocation of a subset of proteins. In this study we have investigated the function of E. coli FtsY which shares sequence similarity with the alpha-subunit of the eukaryotic SRP receptor ('docking protein') in the membrane of the endoplasmic reticulum. A strain was constructed which allows the conditional expression of FtsY. Depletion of FtsY is shown to cause the accumulation of the precursor form of beta-lactamase, OmpF and ribose binding protein in vivo, whereas the processing of various other presecretory proteins is unaffected. Furthermore, FtsY-depleted inverted cytoplasmic membrane vesicles are shown to be defective in the translocation of pre-beta-lactamase using an in vitro import assay. Subcellular localization studies revealed that FtsY is located in part at the cytoplasmic membrane with which it seems peripherally associated. These observations suggest that FtsY is the functional E. coli homolog of the mammalian SRP receptor.

摘要

在大肠杆菌中,已鉴定出一种信号识别颗粒(SRP),它能特异性结合分泌前体蛋白的信号序列,并且对于一部分蛋白质的有效转运似乎至关重要。在本研究中,我们研究了大肠杆菌FtsY的功能,它与内质网膜中真核SRP受体(“对接蛋白”)的α亚基具有序列相似性。构建了一个允许FtsY条件性表达的菌株。结果表明,FtsY的缺失会导致体内β-内酰胺酶、OmpF和核糖结合蛋白前体形式的积累,而其他各种分泌前体蛋白的加工则不受影响。此外,使用体外导入试验表明,FtsY缺失的反向细胞质膜囊泡在β-内酰胺酶前体的转运中存在缺陷。亚细胞定位研究表明,FtsY部分位于细胞质膜,似乎与其外周相关。这些观察结果表明,FtsY是哺乳动物SRP受体的功能性大肠杆菌同源物。

https://cdn.ncbi.nlm.nih.gov/pmc/blobs/1b50/395091/2a325a407410/emboj00058-0054-a.jpg

文献AI研究员

20分钟写一篇综述,助力文献阅读效率提升50倍。

立即体验

用中文搜PubMed

大模型驱动的PubMed中文搜索引擎

马上搜索

文档翻译

学术文献翻译模型,支持多种主流文档格式。

立即体验