Suppr超能文献

接触性超敏反应中早期需要补体激活以产生局部C5依赖性趋化活性,晚期需要T细胞干扰素γ:B细胞可能具有启动作用。

Required early complement activation in contact sensitivity with generation of local C5-dependent chemotactic activity, and late T cell interferon gamma: a possible initiating role of B cells.

作者信息

Tsuji R F, Geba G P, Wang Y, Kawamoto K, Matis L A, Askenase P W

机构信息

Noda Institute for Scientific Research, Noda-shi, Chiba-ken 278, Japan.

出版信息

J Exp Med. 1997 Oct 6;186(7):1015-26. doi: 10.1084/jem.186.7.1015.

Abstract

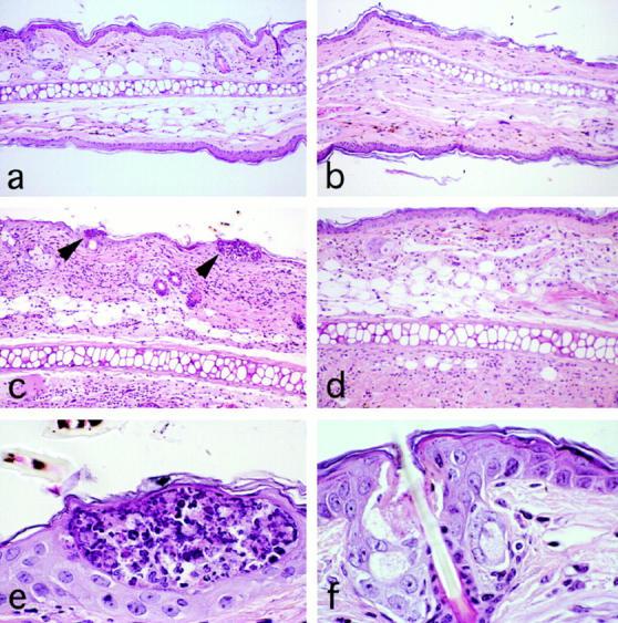
Complement (C) is an important component of innate immunity, and was also shown recently to participate in induction of acquired B cell humoral immunity. In this study, we present evidence that C also participates in acquired T cell immunity. We found that C was involved in early events of the efferent elicitation phase of contact sensitivity (CS), and delayed-type hypersensitivity (DTH). Thus, CS and DTH were inhibited by administration of a C-blocker, soluble recombinant C receptor-1 (sCR1), when given 30 min before, but not 3 h after local antigen challenge. Among C components, local C5 were thought crucial to elicitation of CS, since local administration of anti-C5 monoclonal antibodies or locally injected C-depleting cobra venom factor also inhibited CS and DTH. These findings were consistent with our previous finding of the importance of C5 for CS elicitation, using congenitally C5-deficient mice. To dissect the mechanism of C dependence in CS, we demonstrated that locally increased early macrophage chemotactic activity (probably C5a) in evolving CS skin extracts, as well as late elaboration of IFN-gamma, were both inhibited by anti-C treatment. In addition, histological analysis showed that leukocyte recruitment into CS ear sites was similarly C-dependent. Furthermore, an initiating role of B cell-derived C-fixing immunoglobulin was suggested by demonstration of impaired CS responses in B cell-deficient mice. In summary, these results suggest that C was activated locally, perhaps via a B cell product, in an important early component of the stepwise events necessary to elicit CS, leading to local production of C5-dependent macrophage chemotactic activity and later IFN-gamma, and subsequently leading to cell infiltration, for development of T cell-dependent CS.

摘要

补体(C)是天然免疫的重要组成部分,最近还显示其参与获得性B细胞体液免疫的诱导。在本研究中,我们提供证据表明补体也参与获得性T细胞免疫。我们发现补体参与接触性敏感(CS)和迟发型超敏反应(DTH)传出激发阶段的早期事件。因此,在局部抗原攻击前30分钟给予补体阻断剂可溶性重组补体受体-1(sCR1)可抑制CS和DTH,但在攻击后3小时给予则无此作用。在补体成分中,局部C5被认为对CS的激发至关重要,因为局部给予抗C5单克隆抗体或局部注射补体消耗性眼镜蛇毒因子也可抑制CS和DTH。这些发现与我们先前利用先天性C5缺陷小鼠得出的C5对CS激发很重要的发现一致。为了剖析CS中补体依赖性的机制,我们证明在演变中的CS皮肤提取物中局部增加的早期巨噬细胞趋化活性(可能是C5a)以及后期IFN-γ的产生均受到抗补体治疗的抑制。此外,组织学分析表明白细胞募集到CS耳部位点同样依赖补体。此外,B细胞缺陷小鼠中CS反应受损表明B细胞衍生的补体固定免疫球蛋白具有起始作用。总之,这些结果表明补体在局部被激活,可能通过B细胞产物,在引发CS所需的逐步事件的重要早期成分中起作用,导致局部产生C5依赖性巨噬细胞趋化活性和后期IFN-γ,随后导致细胞浸润,以发展T细胞依赖性CS。

https://cdn.ncbi.nlm.nih.gov/pmc/blobs/a52f/2199060/56b3b14f7d26/JEM.970102f1.jpg

文献AI研究员

20分钟写一篇综述,助力文献阅读效率提升50倍。

立即体验

用中文搜PubMed

大模型驱动的PubMed中文搜索引擎

马上搜索

文档翻译

学术文献翻译模型,支持多种主流文档格式。

立即体验