Suppr超能文献

在神经鞘瘤中普遍缺乏墨林,但其他ERM家族成员不存在这种情况。

Universal absence of merlin, but not other ERM family members, in schwannomas.

作者信息

Stemmer-Rachamimov A O, Xu L, Gonzalez-Agosti C, Burwick J A, Pinney D, Beauchamp R, Jacoby L B, Gusella J F, Ramesh V, Louis D N

机构信息

Department of Pathology, Massachusetts General Hospital and Harvard Medical School, Boston, USA.

出版信息

Am J Pathol. 1997 Dec;151(6):1649-54.

Abstract

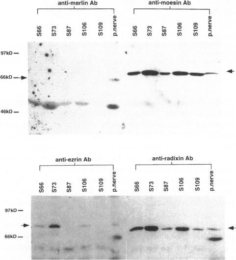
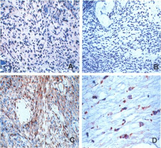
NF2 (neurofibromatosis 2, encoding the merlin protein) gene mutations and chromosome 22q loss have been demonstrated in the majority of sporadic and NF2-associated schwannomas, but many schwannomas fail to demonstrate genetic evidence of biallelic NF2 gene inactivation. In addition, the role of the merlin-related ERM family members (ezrin, radixin, and moesin) remains unclear in these tumors. We therefore studied expression of NF2-encoded merlin as well as ezrin, radixin, and moesin in 22 vestibular and peripheral schwannomas that had been evaluated for NF2 mutations and chromosome 22q loss. Western blotting and immunohistochemistry with antibodies directed against the amino and carboxy termini of merlin demonstrated loss of merlin expression in all studied schwannomas, including 12 tumors lacking genetic evidence of biallelic NF2 gene inactivation. Western blotting with antibodies directed against ezrin, radixin, and moesin, however, showed expression of these proteins in all schwannomas. In addition, immunohistochemistry with an antibody to moesin revealed widespread expression in tumor and endothelial cells. These data indicate that the specific loss of merlin is universal to schwannomas and is not linked to loss of ezrin, radixin, or moesin expression.

摘要

在大多数散发性和与神经纤维瘤病2型(NF2)相关的神经鞘瘤中已证实存在NF2(神经纤维瘤病2型,编码默林蛋白)基因突变和22号染色体缺失,但许多神经鞘瘤未能显示双等位基因NF2基因失活的遗传证据。此外,在这些肿瘤中,与默林相关的ERM家族成员(埃兹蛋白、根蛋白和膜突蛋白)的作用仍不清楚。因此,我们研究了22例已检测NF2突变和22号染色体缺失的前庭和周围神经鞘瘤中NF2编码的默林以及埃兹蛋白、根蛋白和膜突蛋白的表达情况。用针对默林氨基和羧基末端的抗体进行蛋白质印迹和免疫组织化学分析表明,在所有研究的神经鞘瘤中默林表达缺失,包括12例缺乏双等位基因NF2基因失活遗传证据的肿瘤。然而,用针对埃兹蛋白、根蛋白和膜突蛋白的抗体进行蛋白质印迹分析显示,这些蛋白在所有神经鞘瘤中均有表达。此外,用抗膜突蛋白抗体进行免疫组织化学分析显示,该蛋白在肿瘤细胞和内皮细胞中广泛表达。这些数据表明,默林的特异性缺失在神经鞘瘤中普遍存在,且与埃兹蛋白、根蛋白或膜突蛋白表达缺失无关。

https://cdn.ncbi.nlm.nih.gov/pmc/blobs/87b6/1858373/471b2d4db764/amjpathol00024-0147-a.jpg

文献AI研究员

20分钟写一篇综述,助力文献阅读效率提升50倍。

立即体验

用中文搜PubMed

大模型驱动的PubMed中文搜索引擎

马上搜索

文档翻译

学术文献翻译模型,支持多种主流文档格式。

立即体验