Suppr超能文献

用N-乙酰半胱氨酸进行长期治疗会延迟对乙酰氨基酚肝毒性导致的肝脏恢复。

Prolonged treatment with N-acetylcystine delays liver recovery from acetaminophen hepatotoxicity.

作者信息

Yang Runkuan, Miki Keita, He Xin, Killeen Meaghan E, Fink Mitchell P

机构信息

Department of Critical Care Medicine, University of Pittsburgh Medical School, 3550 Terrace Street, Pittsburgh, PA 15261, USA.

出版信息

Crit Care. 2009;13(2):R55. doi: 10.1186/cc7782. Epub 2009 Apr 9.

Abstract

INTRODUCTION

Acetaminophen (APAP) toxicity is the most common cause of acute liver failure in the US and Europe. Massive hepatocyte necrosis is the predominant feature of APAP-induced acute liver injury (ALI). Liver regeneration is a vital process for survival after a toxic insult, it occurs at a relative late time point after the injurious phase. Currently, N-acetylcysteine (NAC), a glutathione precursor, is the antidote for acetaminophen overdose. However, NAC is effective only for patients who present within hours of an acute overdose, and is less effective for late-presenting patients. It is possible that in delayed patients, previously reduced endogenous glutathione (GSH) level has restored and prolonged treatment with NAC might be toxic and impair liver regeneration. Therefore, we hypothesize that prolonged treatment with NAC impairs liver regeneration in ALI induced by APAP.

METHODS

ALI was induced in C57BL/6 male mice by a single dose of APAP (350 mg/kg) by intraperitoneal injection. After two hours of APAP challenge, the mice were given 100 mg/kg NAC dissolved in 0.6 mL saline, or saline treatment every 12 hours for a total of 72 hours.

RESULTS

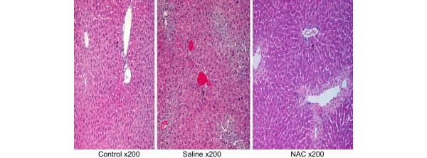
Seventy-two hours after APAP challenge, compared with saline treatment, NAC treatment significantly increased serum transaminases (alanine transaminase/aspartate aminotransferase), induced evident hepatocyte vacuolation in the periportal area and delayed liver regeneration seen in histopathology. This detrimental effect was associated with reduced hepatic nuclear factor (NF)-kappaB DNA binding and decreased expression of cell cycle protein cyclin D1, two important factors in liver regeneration.

CONCLUSIONS

Prolonged treatment with NAC impairs liver regeneration in ALI induced by APAP.

摘要

引言

对乙酰氨基酚(APAP)毒性是美国和欧洲急性肝衰竭最常见的病因。大量肝细胞坏死是APAP诱导的急性肝损伤(ALI)的主要特征。肝再生是毒性损伤后生存的关键过程,它发生在损伤期相对较晚的时间点。目前,谷胱甘肽前体N - 乙酰半胱氨酸(NAC)是对乙酰氨基酚过量的解毒剂。然而,NAC仅对急性过量服用后数小时内就诊的患者有效,对就诊较晚的患者效果较差。对于延迟就诊的患者,内源性谷胱甘肽(GSH)水平可能已经恢复,而NAC的长期治疗可能有毒性并损害肝再生。因此,我们推测NAC的长期治疗会损害APAP诱导的ALI中的肝再生。

方法

通过腹腔注射单剂量APAP(350 mg/kg)在C57BL/6雄性小鼠中诱导ALI。在APAP攻击两小时后,每12小时给小鼠注射溶解于0.6 mL盐水中的100 mg/kg NAC,或进行盐水处理,共72小时。

结果

APAP攻击72小时后,与盐水处理相比,NAC处理显著增加血清转氨酶(丙氨酸转氨酶/天冬氨酸转氨酶),在门周区域诱导明显的肝细胞空泡化,并在组织病理学上延迟肝再生。这种有害作用与肝细胞核因子(NF)-κB DNA结合减少和细胞周期蛋白cyclin D1表达降低有关,这两个是肝再生的重要因素。

结论

NAC的长期治疗会损害APAP诱导的ALI中的肝再生。

https://cdn.ncbi.nlm.nih.gov/pmc/blobs/f242/2689502/658968ff9b95/cc7782-1.jpg

文献AI研究员

20分钟写一篇综述,助力文献阅读效率提升50倍。

立即体验

用中文搜PubMed

大模型驱动的PubMed中文搜索引擎

马上搜索

文档翻译

学术文献翻译模型,支持多种主流文档格式。

立即体验