Suppr超能文献

镍化合物和缺氧诱导 c-myc 降解的机制。

Mechanisms of c-myc degradation by nickel compounds and hypoxia.

机构信息

Department of Environmental Medicine, New York University School of Medicine, Tuxedo, New York, USA.

出版信息

PLoS One. 2009 Dec 31;4(12):e8531. doi: 10.1371/journal.pone.0008531.

Abstract

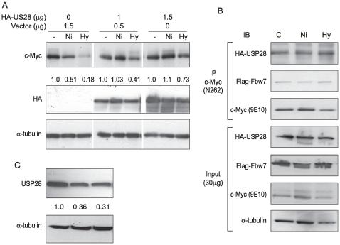
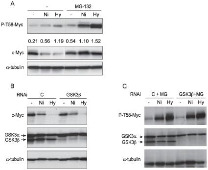
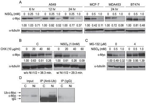
Nickel (Ni) compounds have been found to cause cancer in humans and animal models and to transform cells in culture. At least part of this effect is mediated by stabilization of hypoxia inducible factor (HIF1a) and activating its downstream signaling. Recent studies reported that hypoxia signaling might either antagonize or enhance c-myc activity depending on cell context. We investigated the effect of nickel on c-myc levels, and demonstrated that nickel, hypoxia, and other hypoxia mimetics degraded c-myc protein in a number of cancer cells (A549, MCF-7, MDA-453, and BT-474). The degradation of the c-Myc protein was mediated by the 26S proteosome. Interestingly, knockdown of both HIF-1alpha and HIF-2alpha attenuated c-Myc degradation induced by Nickel and hypoxia, suggesting the functional HIF-1alpha and HIF-2alpha was required for c-myc degradation. Further studies revealed two potential pathways mediated nickel and hypoxia induced c-myc degradation. Phosphorylation of c-myc at T58 was significantly increased in cells exposed to nickel or hypoxia, leading to increased ubiquitination through Fbw7 ubiquitin ligase. In addition, nickel and hypoxia exposure decreased USP28, a c-myc de-ubiquitinating enzyme, contributing to a higher steady state level of c-myc ubiquitination and promoting c-myc degradation. Furthermore, the reduction of USP28 protein by hypoxia signaling is due to both protein degradation and transcriptional repression. Nickel and hypoxia exposure significantly increased the levels of dimethylated H3 lysine 9 at the USP28 promoter and repressed its expression. Our study demonstrated that Nickel and hypoxia exposure increased c-myc T58 phosphorylation and decreased USP28 protein levels in cancer cells, which both lead to enhanced c-myc ubiquitination and proteasomal degradation.

摘要

镍(Ni)化合物已被发现可导致人类和动物模型的癌症,并可转化培养细胞。至少部分这种作用是通过稳定缺氧诱导因子(HIF1a)并激活其下游信号来介导的。最近的研究报道,缺氧信号可能根据细胞背景拮抗或增强 c-myc 活性。我们研究了镍对 c-myc 水平的影响,结果表明镍、缺氧和其他缺氧模拟物可降解多种癌细胞(A549、MCF-7、MDA-453 和 BT-474)中的 c-myc 蛋白。c-Myc 蛋白的降解是由 26S 蛋白酶体介导的。有趣的是,HIF-1alpha 和 HIF-2alpha 的敲低均减弱了镍和缺氧诱导的 c-Myc 降解,表明功能性 HIF-1alpha 和 HIF-2alpha 是 c-myc 降解所必需的。进一步的研究揭示了镍和缺氧诱导的 c-myc 降解所介导的两条潜在途径。在暴露于镍或缺氧的细胞中,c-myc 的 T58 磷酸化显著增加,导致通过 Fbw7 泛素连接酶增加泛素化。此外,镍和缺氧暴露降低了 c-myc 去泛素化酶 USP28,导致 c-myc 泛素化的稳态水平更高,并促进 c-myc 降解。此外,缺氧信号降低 USP28 蛋白的水平是由于蛋白降解和转录抑制。镍和缺氧暴露显著增加了 USP28 启动子上 H3 赖氨酸 9 的二甲基化水平,并抑制其表达。我们的研究表明,镍和缺氧暴露增加了癌细胞中 c-myc T58 磷酸化并降低了 USP28 蛋白水平,这两者均导致 c-myc 泛素化和蛋白酶体降解增强。

https://cdn.ncbi.nlm.nih.gov/pmc/blobs/c301/2797325/648aae7184ac/pone.0008531.g001.jpg

文献AI研究员

20分钟写一篇综述,助力文献阅读效率提升50倍。

立即体验

用中文搜PubMed

大模型驱动的PubMed中文搜索引擎

马上搜索

文档翻译

学术文献翻译模型,支持多种主流文档格式。

立即体验