Suppr超能文献

furin 靶向药物递送给治疗横纹肌肉瘤的小鼠模型。

Furin targeted drug delivery for treatment of rhabdomyosarcoma in a mouse model.

机构信息

Department of Oncology, University Children's Hospital Zurich, Zurich, Switzerland.

出版信息

PLoS One. 2010 May 3;5(5):e10445. doi: 10.1371/journal.pone.0010445.

Abstract

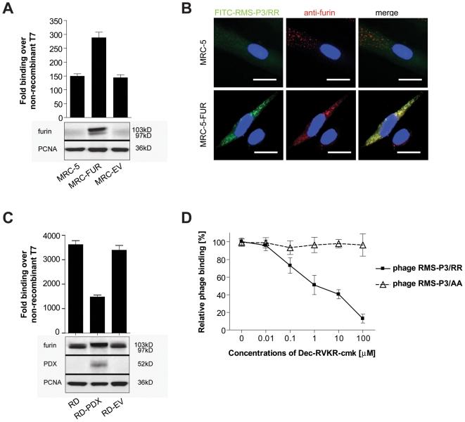
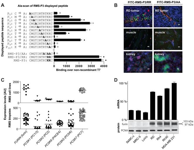
Rhabdomyosarcoma (RMS) is the most common soft tissue sarcoma in children. Improvement of treatment efficacy and decreased side effects through tumor-targeted drug delivery would be desirable. By panning with a phage-displayed cyclic random peptide library we selected a peptide with strong affinity for RMS in vitro and in vivo. The peptide minimal binding motif Arg-X-(Arg/Lys)(Arg/Lys) identified by alanine-scan, suggested the target receptor to be a proprotein convertase (PC). Expression profiling of all PCs in RMS biopsies and cell lines revealed consistent high expression levels for the membrane-bound furin and PC7. Direct binding of RMS-P3 peptide to furin was demonstrated by affinity chromatography and supported by activity and colocalization studies. Treatment of RMS in mice with doxorubicin coupled to the targeting peptide resulted in a two-fold increase in therapeutic efficacy compared to doxorubicin treatment alone. Our findings indicate surface-furin binding as novel mechanism for therapeutic cell penetration which needs to be further investigated. Furthermore, this work demonstrates that specific targeting of membrane-bound furin in tumors is possible for and suggests that RMS and other tumors might benefit from proprotein convertases targeted drug delivery.

摘要

横纹肌肉瘤 (RMS) 是儿童中最常见的软组织肉瘤。通过肿瘤靶向药物传递来提高治疗效果并降低副作用是理想的。通过用噬菌体展示的环随机肽文库进行淘选,我们在体外和体内选择了一种对 RMS 具有强亲和力的肽。通过丙氨酸扫描确定的肽最小结合基序 Arg-X-(Arg/Lys)(Arg/Lys) 表明靶受体为脯氨酸转化酶 (PC)。对 RMS 活检和细胞系中所有 PCs 的表达谱分析显示,膜结合的弗林蛋白酶和 PC7 的表达水平一致较高。通过亲和层析证实了 RMS-P3 肽与弗林蛋白酶的直接结合,并通过活性和共定位研究得到支持。与单独使用多柔比星相比,用与靶向肽偶联的多柔比星治疗小鼠 RMS 导致治疗效果增加了两倍。我们的研究结果表明,表面弗林蛋白酶结合是治疗细胞穿透的新机制,需要进一步研究。此外,这项工作表明,肿瘤中膜结合弗林蛋白酶的特异性靶向是可能的,并表明 RMS 和其他肿瘤可能受益于靶向蛋白转化酶的药物传递。

https://cdn.ncbi.nlm.nih.gov/pmc/blobs/dba4/2862740/1cfb19f07b0e/pone.0010445.g001.jpg

文献AI研究员

20分钟写一篇综述,助力文献阅读效率提升50倍。

立即体验

用中文搜PubMed

大模型驱动的PubMed中文搜索引擎

马上搜索

文档翻译

学术文献翻译模型,支持多种主流文档格式。

立即体验