Suppr超能文献

马来西亚 I 型和 II 型猫冠状病毒的分离与分子特征。

Isolation and molecular characterization of type I and type II feline coronavirus in Malaysia.

机构信息

Department of Veterinary Pathology and Microbiology, Universiti Putra Malaysia, UPM Serdang, Selangor, Malaysia.

出版信息

Virol J. 2012 Nov 21;9:278. doi: 10.1186/1743-422X-9-278.

Abstract

BACKGROUND

Feline infectious peritonitis virus (FIPV) and feline enteric coronavirus (FECV) are two important coronaviruses of domestic cat worldwide. Although FCoV is prevalent among cats; the fastidious nature of type I FCoV to grow on cell culture has limited further studies on tissue tropism and pathogenesis of FCoV. While several studies reported serological evidence for FCoV in Malaysia, neither the circulating FCoV isolated nor its biotypes determined. This study for the first time, describes the isolation and biotypes determination of type I and type II FCoV from naturally infected cats in Malaysia.

FINDINGS

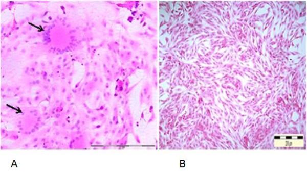
Of the total number of cats sampled, 95% (40/42) were RT-PCR positive for FCoV. Inoculation of clinical samples into Crandell feline kidney cells (CrFK), and Feline catus whole fetus-4 cells (Fcwf-4), show cytopathic effect (CPE) characterized by syncytial cells formation and later cell detachment. Differentiation of FCoV biotypes using RT-PCR assay revealed that, 97.5% and 2.5% of local isolates were type I and type II FCoV, respectively. These isolates had high sequence homology and phylogenetic similarity with several FCoV isolates from Europe, South East Asia and USA.

CONCLUSIONS

This study reported the successful isolation of local type I and type II FCoV evident with formation of cytopathic effects in two types of cell cultures namely the CrFK and Fcwf-4 , where the later cells being more permissive. However, the RT-PCR assay is more sensitive in detecting the antigen in suspected samples as compared to virus isolation in cell culture. The present study indicated that type I FCoV is more prevalent among cats in Malaysia.

摘要

背景

猫传染性腹膜炎病毒(FIPV)和猫肠冠状病毒(FECV)是世界范围内两种重要的猫冠状病毒。尽管 FCoV 在猫中普遍存在;但 I 型 FCoV 在细胞培养物上生长的苛刻性质限制了对 FCoV 的组织嗜性和发病机制的进一步研究。尽管有几项研究报告了马来西亚 FCoV 的血清学证据,但尚未确定循环 FCoV 的分离株及其生物型。本研究首次描述了从马来西亚自然感染猫中分离和鉴定 I 型和 II 型 FCoV。

结果

在采样的猫总数中,95%(40/42)对 FCoV 的 RT-PCR 呈阳性。将临床样本接种到猫肾细胞(CrFK)和猫全胎-4 细胞(Fcwf-4)中,显示出具有合胞体形成特征的细胞病变效应(CPE),随后是细胞脱落。使用 RT-PCR 检测鉴定 FCoV 生物型,结果表明,当地分离株中 97.5%和 2.5%分别为 I 型和 II 型 FCoV。这些分离株与来自欧洲、东南亚和美国的几种 FCoV 分离株具有高度的序列同源性和系统发育相似性。

结论

本研究报告了成功分离到当地的 I 型和 II 型 FCoV,在两种细胞培养物即 CrFK 和 Fcwf-4 中观察到细胞病变效应,其中后者细胞更允许病毒生长。然而,与细胞培养中的病毒分离相比,RT-PCR 检测更敏感地检测到可疑样本中的抗原。本研究表明,I 型 FCoV 在马来西亚的猫中更为普遍。

https://cdn.ncbi.nlm.nih.gov/pmc/blobs/4728/3568730/c039d1e9344c/1743-422X-9-278-1.jpg

文献AI研究员

20分钟写一篇综述,助力文献阅读效率提升50倍。

立即体验

用中文搜PubMed

大模型驱动的PubMed中文搜索引擎

马上搜索

文档翻译

学术文献翻译模型,支持多种主流文档格式。

立即体验