Suppr超能文献

原发性结直肠肿瘤的亚型与结直肠细胞系中靶向治疗的反应相关。

Subtypes of primary colorectal tumors correlate with response to targeted treatment in colorectal cell lines.

机构信息

Division of Molecular Carcinogenesis, The Netherlands Cancer Institute, Amsterdam, The Netherlands.

出版信息

BMC Med Genomics. 2012 Dec 31;5:66. doi: 10.1186/1755-8794-5-66.

Abstract

BACKGROUND

Colorectal cancer (CRC) is a heterogeneous and biologically poorly understood disease. To tailor CRC treatment, it is essential to first model this heterogeneity by defining subtypes of patients with homogeneous biological and clinical characteristics and second match these subtypes to cell lines for which extensive pharmacological data is available, thus linking targeted therapies to patients most likely to respond to treatment.

METHODS

We applied a new unsupervised, iterative approach to stratify CRC tumor samples into subtypes based on genome-wide mRNA expression data. By applying this stratification to several CRC cell line panels and integrating pharmacological response data, we generated hypotheses regarding the targeted treatment of different subtypes.

RESULTS

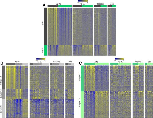
In agreement with earlier studies, the two dominant CRC subtypes are highly correlated with a gene expression signature of epithelial-mesenchymal-transition (EMT). Notably, further dividing these two subtypes using iNMF (iterative Non-negative Matrix Factorization) revealed five subtypes that exhibit activation of specific signaling pathways, and show significant differences in clinical and molecular characteristics. Importantly, we were able to validate the stratification on independent, published datasets comprising over 1600 samples. Application of this stratification to four CRC cell line panels comprising 74 different cell lines, showed that the tumor subtypes are well represented in available CRC cell line panels. Pharmacological response data for targeted inhibitors of SRC, WNT, GSK3b, aurora kinase, PI3 kinase, and mTOR, showed significant differences in sensitivity across cell lines assigned to different subtypes. Importantly, some of these differences in sensitivity were in concordance with high expression of the targets or activation of the corresponding pathways in primary tumor samples of the same subtype.

CONCLUSIONS

The stratification presented here is robust, captures important features of CRC, and offers valuable insight into functional differences between CRC subtypes. By matching the identified subtypes to cell line panels that have been pharmacologically characterized, it opens up new possibilities for the development and application of targeted therapies for defined CRC patient sub-populations.

摘要

背景

结直肠癌(CRC)是一种异质性和生物学上理解不足的疾病。为了定制 CRC 的治疗方法,首先通过定义具有同质生物学和临床特征的患者亚类来模拟这种异质性,其次将这些亚类与具有广泛药理学数据的细胞系相匹配,从而将靶向治疗与最有可能对治疗有反应的患者联系起来,这一点至关重要。

方法

我们应用了一种新的无监督、迭代方法,根据全基因组 mRNA 表达数据将 CRC 肿瘤样本分层为亚类。通过将这种分层应用于几个 CRC 细胞系面板并整合药理学反应数据,我们生成了关于不同亚类靶向治疗的假设。

结果

与早期研究一致,两种主要的 CRC 亚型与上皮-间充质转化(EMT)的基因表达特征高度相关。值得注意的是,使用 iNMF(迭代非负矩阵分解)进一步划分这两种亚型,揭示了五个表现出特定信号通路激活的亚型,并且在临床和分子特征上存在显著差异。重要的是,我们能够在包含超过 1600 个样本的独立、已发表的数据集上验证这种分层。将这种分层应用于包含 74 种不同细胞系的四个 CRC 细胞系面板,表明肿瘤亚型在可用的 CRC 细胞系面板中得到了很好的代表。针对 SRC、WNT、GSK3b、极光激酶、PI3 激酶和 mTOR 的靶向抑制剂的药理学反应数据显示,不同亚类分配的细胞系之间存在显著的敏感性差异。重要的是,这些敏感性差异中的一些与同一亚类的原发性肿瘤样本中靶标的高表达或相应通路的激活一致。

结论

这里提出的分层是稳健的,捕获了 CRC 的重要特征,并为 CRC 亚型之间的功能差异提供了有价值的见解。通过将鉴定的亚型与已经进行了药理学表征的细胞系面板相匹配,为针对特定 CRC 患者亚群的靶向治疗的开发和应用开辟了新的可能性。

https://cdn.ncbi.nlm.nih.gov/pmc/blobs/61d0/3543849/95f79277c6fe/1755-8794-5-66-1.jpg

文献AI研究员

20分钟写一篇综述,助力文献阅读效率提升50倍。

立即体验

用中文搜PubMed

大模型驱动的PubMed中文搜索引擎

马上搜索

文档翻译

学术文献翻译模型,支持多种主流文档格式。

立即体验