Suppr超能文献

脂多糖(LPS)突变体能增强大肠杆菌生物膜的形成,这些突变体在 Hep 生物合成上存在缺陷。

Enhanced biofilm formation by Escherichia coli LPS mutants defective in Hep biosynthesis.

机构信息

Department of Molecular Biology and Laboratory for Molecular Infection Medicine Sweden, Umeå Centre for Microbial Research, Umeå University, Umeå, Sweden.

出版信息

PLoS One. 2012;7(12):e51241. doi: 10.1371/journal.pone.0051241. Epub 2012 Dec 28.

Abstract

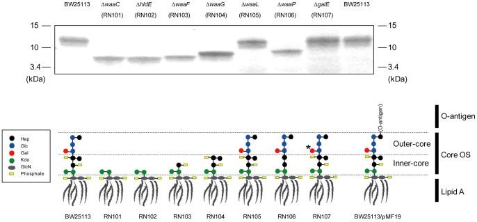
Lipopolysaccharide (LPS) is the major component of the surface of Gram-negative bacteria and its polysaccharide portion is situated at the outermost region. We investigated the relationship between the polysaccharide portion of LPS and biofilm formation using a series of Escherichia coli mutants defective in genes earlier shown to affect the LPS sugar compositions. Biofilm formation by a deep rough LPS mutant, the hldE strain, was strongly enhanced in comparison with the parental strain and other LPS mutants. The hldE strain also showed a phenotype of increased auto-aggregation and stronger cell surface hydrophobicity compared to the wild-type. Similar results were obtained with another deep rough LPS mutant, the waaC strain whose LPS showed same molecular mass as that of the hldE strain. Confocal laser scanning microscopy (CLSM) analysis and biofilm formation assay using DNase I revealed that biofilm formation by the hldE strain was dependent on extracellular DNA. Furthermore, a loss of flagella and an increase in amount of outer membrane vesicles in case of the hldE strain were also observed by transmission electron microscopy and atomic force microscopy, respectively. In addition, we demonstrated that a mutation in the hldE locus, which alters the LPS structure, caused changes in both expression and properties of several surface bacterial factors involved in biofilm formation and virulence. We suggest that the implication of these results should be considered in the context of biofilm formation on abiotic surfaces, which is frequently associated with nosocominal infections such as the catheter-associated infections.

摘要

脂多糖 (LPS) 是革兰氏阴性菌表面的主要成分,其多糖部分位于最外层。我们使用一系列先前显示影响 LPS 糖组成的基因缺陷型大肠杆菌突变体,研究了 LPS 多糖部分与生物膜形成之间的关系。与亲本菌株和其他 LPS 突变体相比,深粗糙 LPS 突变体 hldE 菌株的生物膜形成能力得到了显著增强。与野生型相比,hldE 菌株还表现出自动聚集增强和细胞表面疏水性增强的表型。另一个深粗糙 LPS 突变体 waaC 菌株也得到了类似的结果,其 LPS 的分子量与 hldE 菌株相同。共聚焦激光扫描显微镜 (CLSM) 分析和使用 DNase I 的生物膜形成测定表明,hldE 菌株的生物膜形成依赖于细胞外 DNA。此外,透射电子显微镜和原子力显微镜分别观察到 hldE 菌株的鞭毛缺失和外膜囊泡数量增加。此外,我们证明了 hldE 基因座的突变改变了 LPS 结构,导致与生物膜形成和毒力相关的几种表面细菌因子的表达和特性发生变化。我们认为,这些结果的意义应该在生物膜在非生物表面形成的背景下加以考虑,因为生物膜的形成常常与医院感染相关,如导管相关感染。

https://cdn.ncbi.nlm.nih.gov/pmc/blobs/efcf/3532297/4fc5b64be1a5/pone.0051241.g001.jpg

文献AI研究员

20分钟写一篇综述,助力文献阅读效率提升50倍。

立即体验

用中文搜PubMed

大模型驱动的PubMed中文搜索引擎

马上搜索

文档翻译

学术文献翻译模型,支持多种主流文档格式。

立即体验