Suppr超能文献

BMP7 仅在亚体温中性条件下激活棕色脂肪组织并减少饮食诱导的肥胖。

BMP7 activates brown adipose tissue and reduces diet-induced obesity only at subthermoneutrality.

机构信息

Department of Endocrinology and Metabolic Diseases, Leiden University Medical Center, Leiden, The Netherlands ; Einthoven Laboratory for Experimental Vascular Medicine, Leiden University Medical Center, Leiden, The Netherlands.

出版信息

PLoS One. 2013 Sep 16;8(9):e74083. doi: 10.1371/journal.pone.0074083. eCollection 2013.

Abstract

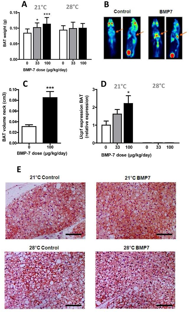
BACKGROUND/AIMS: Brown adipose tissue (BAT) dissipates energy stored in triglycerides as heat via the uncoupling protein UCP-1 and is a promising target to combat hyperlipidemia and obesity. BAT is densely innervated by the sympathetic nervous system, which increases BAT differentiation and activity upon cold exposure. Recently, Bone Morphogenetic Protein 7 (BMP7) was identified as an inducer of BAT differentiation. We aimed to elucidate the role of sympathetic activation in the effect of BMP7 on BAT by treating mice with BMP7 at varying ambient temperature, and assessed the therapeutic potential of BMP7 in combating obesity.

METHODS AND RESULTS

High-fat diet fed lean C57Bl6/J mice were treated with BMP7 via subcutaneous osmotic minipumps for 4 weeks at 21 °C or 28 °C, the latter being a thermoneutral temperature in which sympathetic activation of BAT is largely diminished. At 21 °C, BMP7 increased BAT weight, increased the expression of Ucp1, Cd36 and hormone-sensitive lipase in BAT, and increased total energy expenditure. BMP7 treatment markedly increased food intake without affecting physical activity. Despite that, BMP7 diminished white adipose tissue (WAT) mass, accompanied by increased expression of genes related to intracellular lipolysis in WAT. All these effects were blunted at 28 °C. Additionally, BMP7 resulted in extensive 'browning' of WAT, as evidenced by increased expression of BAT markers and the appearance of whole clusters of brown adipocytes via immunohistochemistry, independent of environmental temperature. Treatment of diet-induced obese C57Bl6/J mice with BMP7 led to an improved metabolic phenotype, consisting of a decreased fat mass and liver lipids as well as attenuated dyslipidemia and hyperglycemia.

CONCLUSION

Together, these data show that BMP7-mediated recruitment and activation of BAT only occurs at subthermoneutral temperature, and is thus likely dependent on sympathetic activation of BAT, and that BMP7 may be a promising tool to combat obesity and associated disorders.

摘要

背景/目的:棕色脂肪组织(BAT)通过解偶联蛋白 UCP-1 将甘油三酯储存的能量消耗为热量,是对抗高血脂和肥胖的有前途的靶点。BAT 被交感神经系统密集支配,在暴露于寒冷时会增加 BAT 的分化和活性。最近,骨形态发生蛋白 7(BMP7)被鉴定为 BAT 分化的诱导剂。我们旨在通过在不同环境温度下用 BMP7 处理小鼠来阐明交感神经激活在 BMP7 对 BAT 作用中的作用,并评估 BMP7 在对抗肥胖方面的治疗潜力。

方法和结果

高脂肪饮食喂养的瘦 C57Bl6/J 小鼠通过皮下渗透微泵在 21°C 或 28°C 下用 BMP7 治疗 4 周,后者是 BAT 交感神经激活基本减少的热中性温度。在 21°C 时,BMP7 增加 BAT 重量,增加 BAT 中 Ucp1、Cd36 和激素敏感脂肪酶的表达,并增加总能量消耗。BMP7 处理显著增加了食物摄入量,而不影响体力活动。尽管如此,BMP7 还是减少了白色脂肪组织(WAT)的质量,同时增加了 WAT 中与细胞内脂肪分解有关的基因的表达。所有这些影响在 28°C 时都减弱了。此外,BMP7 导致 WAT 广泛“褐变”,通过免疫组织化学证实在环境温度独立的情况下,BAT 标志物的表达增加以及整个棕色脂肪细胞簇的出现。用 BMP7 治疗饮食诱导的肥胖 C57Bl6/J 小鼠导致代谢表型改善,包括脂肪质量和肝脏脂质减少以及脂血症和高血糖减轻。

结论

总之,这些数据表明,BMP7 介导的 BAT 募集和激活仅在亚热中性温度下发生,因此可能依赖于 BAT 的交感神经激活,并且 BMP7 可能是对抗肥胖和相关疾病的有前途的工具。

https://cdn.ncbi.nlm.nih.gov/pmc/blobs/84d8/3774620/8e4b5d79b508/pone.0074083.g001.jpg

文献AI研究员

20分钟写一篇综述,助力文献阅读效率提升50倍。

立即体验

用中文搜PubMed

大模型驱动的PubMed中文搜索引擎

马上搜索

文档翻译

学术文献翻译模型,支持多种主流文档格式。

立即体验