Suppr超能文献

奥巴托拉唑和ABT-737在人类黑色素瘤细胞中诱导内质网应激反应,从而限制细胞凋亡的诱导。

OBATOCLAX and ABT-737 induce ER stress responses in human melanoma cells that limit induction of apoptosis.

作者信息

Wroblewski David, Jiang Chen Chen, Croft Amanda, Farrelly Margaret L, Zhang Xu Dong, Hersey Peter

机构信息

School of Medicine and Public Health, University of Newcastle, New South Wales, Australia.

Kolling Institute, Royal North Shore Hospital, University of Sydney, New South Wales, Australia.

出版信息

PLoS One. 2013 Dec 19;8(12):e84073. doi: 10.1371/journal.pone.0084073. eCollection 2013.

Abstract

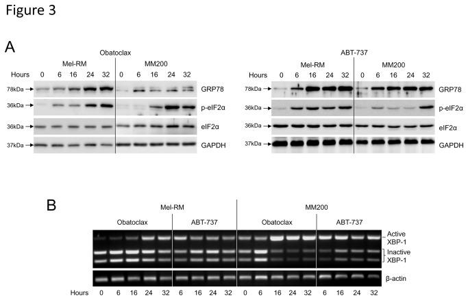
Anti-apoptotic Bcl-2 family proteins, in particular, Mcl-1, are known to play a critical role in resistance of human melanoma cells to induction of apoptosis by endoplasmic reticulum stress and other agents. The present study examined whether the BH3 mimetics, Obatoclax and ABT-737, which inhibit multiple anti-apoptotic Bcl-2 family proteins, would overcome resistance to apoptosis. We report that both agents induced a strong unfolded protein response (UPR) and that RNAi knockdown of UPR signalling proteins ATF6, IRE1α and XBP-1 inhibited Mcl-1 upregulation and increased sensitivity to the agents. These results demonstrate that inhibition of anti-apoptotic Bcl-2 proteins by Obatoclax and ABT-737 appears to elicit a protective feedback response in melanoma cells, by upregulation of Mcl-1 via induction of the UPR. We also report that Obatoclax, but not ABT-737, strongly induces autophagy, which appears to play a role in determining melanoma sensitivity to the agents.

摘要

抗凋亡的Bcl-2家族蛋白,尤其是Mcl-1,已知在人类黑色素瘤细胞对内质网应激及其他因素诱导凋亡的抵抗中起关键作用。本研究检测了抑制多种抗凋亡Bcl-2家族蛋白的BH3模拟物Obatoclax和ABT-737是否能克服对凋亡的抵抗。我们报告称,这两种药物均诱导了强烈的未折叠蛋白反应(UPR),并且UPR信号蛋白ATF6、IRE1α和XBP-1的RNA干扰敲低抑制了Mcl-1的上调并增加了对这些药物的敏感性。这些结果表明,Obatoclax和ABT-737对抗凋亡Bcl-2蛋白的抑制似乎通过UPR诱导Mcl-1上调,在黑色素瘤细胞中引发了一种保护性反馈反应。我们还报告称,Obatoclax而非ABT-737强烈诱导自噬,这似乎在决定黑色素瘤对这些药物的敏感性中起作用。

https://cdn.ncbi.nlm.nih.gov/pmc/blobs/3ce0/3868604/4cf679826c64/pone.0084073.g001.jpg

文献AI研究员

20分钟写一篇综述,助力文献阅读效率提升50倍。

立即体验

用中文搜PubMed

大模型驱动的PubMed中文搜索引擎

马上搜索

文档翻译

学术文献翻译模型,支持多种主流文档格式。

立即体验