Suppr超能文献

Pin1在细胞周期调控和S期DNA损伤中抑制PP2A介导的Rb去磷酸化。

Pin1 inhibits PP2A-mediated Rb dephosphorylation in regulation of cell cycle and S-phase DNA damage.

作者信息

Tong Y, Ying H, Liu R, Li L, Bergholz J, Xiao Z-X

机构信息

Center of Growth, Metabolism and Aging, Key Laboratory of Biological Resources and Ecological Environment of Ministry of Education, College of Life Sciences and State Key Laboratory of Biotherapy, Sichuan University, Chengdu 610064, China.

The University of Texas MD Anderson Cancer Center, Houston, TX 77030, USA.

出版信息

Cell Death Dis. 2015 Feb 12;6(2):e1640. doi: 10.1038/cddis.2015.3.

Abstract

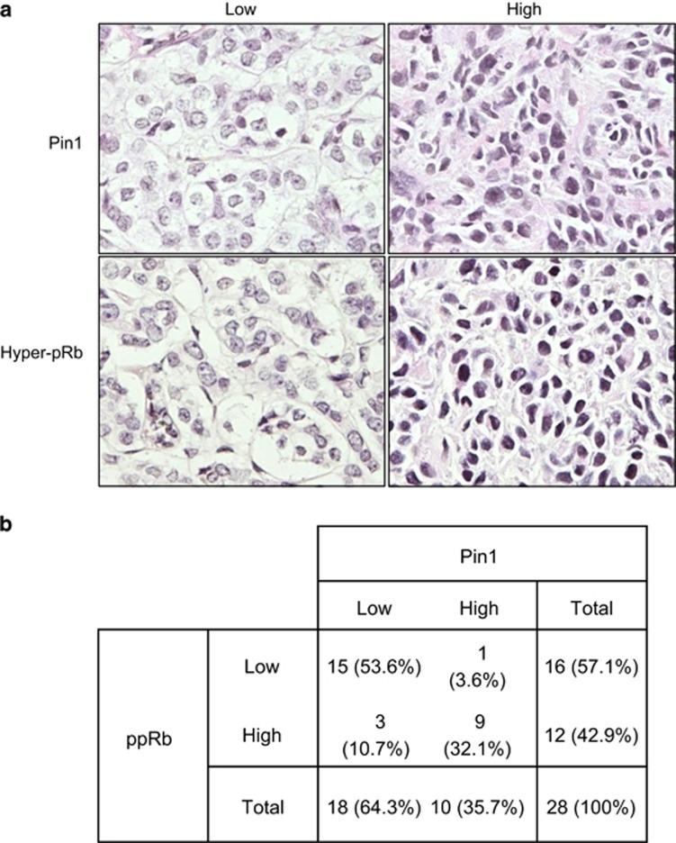
Inactivation of the retinoblastoma protein (Rb) has a key role in tumorigenesis. It is well established that Rb function is largely regulated by a dynamic balance of phosphorylation and dephosphorylation. Although much research has been done to understand the mechanisms and function of RB phosphorylation, the regulation of Rb dephosphorylation is still not well understood. In this study, we demonstrate that Pin1 has an important role in the regulation of Rb function in cell cycle progression and S-phase checkpoint upon DNA damage. We show that the Rb C-pocket directly binds to the Pin1 WW domain in vitro and in vivo, and that the phosphorylation of Rb C-pocket by G1/S Cyclin/Cyclin-dependent kinase complexes is critical for mediating this interaction. We further show that Rb-mediated cell cycle arrest and Rb-induced premature cellular senescence are effectively inhibited by Pin1 expression. In addition, DNA damage induces Rb dephosphorylation in a PP2A-dependent manner, and this process is inhibited by Pin1. Furthermore, the overexpression of Pin1 promotes Rb hyperphosphorylation upon S-phase DNA damage. Importantly, both the Pin1 WW domain and isomerase activity are required for its effect on S-phase checkpoint. Moreover, the overexpression of Pin1 is correlated with Rb hyperphosphorylation in breast cancer biopsies. These results indicate that Pin1 has a critical role in the modulation of Rb function by the regulation of Rb dephosphorylation, which may have an important pathological role in cancer development.

摘要

视网膜母细胞瘤蛋白(Rb)的失活在肿瘤发生中起关键作用。Rb功能很大程度上由磷酸化和去磷酸化的动态平衡调节,这一点已得到充分证实。尽管已经开展了大量研究来了解Rb磷酸化的机制和功能,但Rb去磷酸化的调节仍未得到很好的理解。在本研究中,我们证明Pin1在细胞周期进程和DNA损伤后的S期检查点中对Rb功能的调节起重要作用。我们发现,在体外和体内,Rb的C口袋直接与Pin1的WW结构域结合,并且G1/S细胞周期蛋白/细胞周期蛋白依赖性激酶复合物对Rb C口袋的磷酸化对于介导这种相互作用至关重要。我们进一步表明,Pin1的表达有效抑制了Rb介导的细胞周期停滞和Rb诱导的细胞早衰。此外,DNA损伤以PP2A依赖的方式诱导Rb去磷酸化,而这一过程受到Pin1的抑制。此外,Pin1的过表达促进了S期DNA损伤时Rb的过度磷酸化。重要的是,Pin1的WW结构域和异构酶活性对其在S期检查点的作用均是必需的。而且,在乳腺癌活检中,Pin1的过表达与Rb的过度磷酸化相关。这些结果表明,Pin1通过调节Rb去磷酸化在Rb功能的调节中起关键作用,这可能在癌症发展中具有重要的病理作用。

https://cdn.ncbi.nlm.nih.gov/pmc/blobs/8c8b/4669794/4f9625717fdf/cddis20153f1.jpg

文献AI研究员

20分钟写一篇综述,助力文献阅读效率提升50倍。

立即体验

用中文搜PubMed

大模型驱动的PubMed中文搜索引擎

马上搜索

文档翻译

学术文献翻译模型,支持多种主流文档格式。

立即体验