Suppr超能文献

细胞分裂周期蛋白20维持肿瘤起始细胞。

CDC20 maintains tumor initiating cells.

作者信息

Xie Qi, Wu Qiulian, Mack Stephen C, Yang Kailin, Kim Leo, Hubert Christopher G, Flavahan William A, Chu Chengwei, Bao Shideng, Rich Jeremy N

机构信息

Department of Stem Cell Biology and Regenerative Medicine, Lerner Research Institute, Cleveland Clinic, Cleveland, OH 44195, USA.

Department of Molecular Medicine, Cleveland Clinic Lerner College of Medicine of Case Western Reserve University, Cleveland, OH 44195, USA.

出版信息

Oncotarget. 2015 May 30;6(15):13241-54. doi: 10.18632/oncotarget.3676.

Abstract

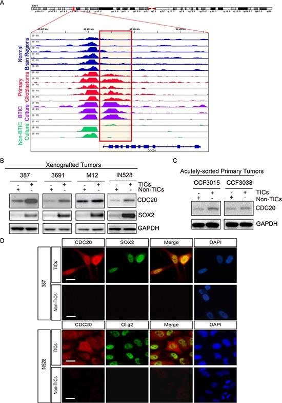
Glioblastoma is the most prevalent and lethal primary intrinsic brain tumor. Glioblastoma displays hierarchical arrangement with a population of self-renewing and tumorigenic glioma tumor initiating cells (TICs), or cancer stem cells. While non-neoplastic neural stem cells are generally quiescent, glioblastoma TICs are often proliferative with mitotic control offering a potential point of fragility. Here, we interrogate the role of cell-division cycle protein 20 (CDC20), an essential activator of anaphase-promoting complex (APC) E3 ubiquitination ligase, in the maintenance of TICs. By chromatin analysis and immunoblotting, CDC20 was preferentially expressed in TICs relative to matched non-TICs. Targeting CDC20 expression by RNA interference attenuated TIC proliferation, self-renewal and in vivo tumor growth. CDC20 disruption mediated its effects through induction of apoptosis and inhibition of cell cycle progression. CDC20 maintains TICs through degradation of p21CIP1/WAF1, a critical negative regulator of TICs. Inhibiting CDC20 stabilized p21CIP1/WAF1, resulting in repression of several genes critical to tumor growth and survival, including CDC25C, c-Myc and Survivin. Transcriptional control of CDC20 is mediated by FOXM1, a central transcription factor in TICs. These results suggest CDC20 is a critical regulator of TIC proliferation and survival, linking two key TIC nodes-FOXM1 and p21CIP1/WAF1-elucidating a potential point for therapeutic intervention.

摘要

胶质母细胞瘤是最常见且致命的原发性脑内肿瘤。胶质母细胞瘤呈现出分层结构,其中存在一群自我更新且具有致瘤性的胶质瘤肿瘤起始细胞(TICs),即癌症干细胞。虽然非肿瘤性神经干细胞通常处于静止状态,但胶质母细胞瘤TICs往往具有增殖性,其有丝分裂控制提供了一个潜在的脆弱点。在此,我们探究细胞分裂周期蛋白20(CDC20),后期促进复合物(APC)E3泛素连接酶的一种必需激活剂,在TICs维持中的作用。通过染色质分析和免疫印迹,相对于匹配的非TICs,CDC20在TICs中优先表达。通过RNA干扰靶向CDC20表达可减弱TICs的增殖、自我更新及体内肿瘤生长。CDC20的破坏通过诱导凋亡和抑制细胞周期进程介导其效应。CDC20通过降解p21CIP1/WAF1来维持TICs,p21CIP1/WAF1是TICs的关键负调控因子。抑制CDC20可稳定p21CIP1/WAF1,导致对包括CDC25C、c-Myc和Survivin在内的几个对肿瘤生长和存活至关重要的基因的抑制。CDC20的转录控制由FOXM1介导,FOXM1是TICs中的一个核心转录因子。这些结果表明CDC20是TICs增殖和存活的关键调节因子,连接了两个关键的TIC节点——FOXM1和p21CIP1/WAF1,阐明了一个潜在的治疗干预点。

https://cdn.ncbi.nlm.nih.gov/pmc/blobs/0ef2/4537011/a5020d65e6dc/oncotarget-06-13241-g001.jpg

文献AI研究员

20分钟写一篇综述,助力文献阅读效率提升50倍。

立即体验

用中文搜PubMed

大模型驱动的PubMed中文搜索引擎

马上搜索

文档翻译

学术文献翻译模型,支持多种主流文档格式。

立即体验