Suppr超能文献

严重钝性创伤后创伤性双侧颈动脉夹层:一例关于一种常被忽视的危及生命损伤的诊断和治疗困难的病例报告

Traumatic bilateral carotid artery dissection following severe blunt trauma: a case report on the difficulties in diagnosis and therapy of an often overlooked life-threatening injury.

作者信息

Crönlein Moritz, Sandmann Gunther H, Beirer Marc, Wunderlich Silke, Biberthaler Peter, Huber-Wagner Stefan

机构信息

Department of Trauma Surgery, Klinikum rechts der Isar, Technical University Munich, Ismaninger Strasse 22, 81675, Munich, Germany.

Department of Neurology, Klinikum rechts der Isar, Technical University Munich, Ismaninger Strasse 22, 81675, Munich, Germany.

出版信息

Eur J Med Res. 2015 Jul 22;20(1):62. doi: 10.1186/s40001-015-0153-1.

Abstract

BACKGROUND

Traumatic carotid artery dissections are very rare, often overlooked and life-threatening injuries. Diagnosis and treatment are difficult especially in multiple injured patients.

CASE PRESENTATION

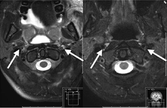
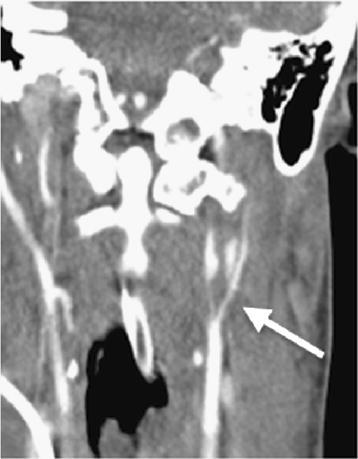
We report on a 28-year-old female major trauma patient (injury severity score, ISS 50) who was involved in a motor vehicle accident. She was primarily transferred to a level II trauma center. After initial assessment and operative management, an anisocoria was diagnosed on the intensive care unit. Subsequent CT angiography and extracranial duplex sonography revealed a bilateral internal carotid artery dissection. The patient was transferred to our level I trauma center where conservative treatment with high-dose heparin therapy was started at day two after trauma. Outcome after 6 months was very good.

CONCLUSION

Besides presenting the case and outcome of this patient, the article discusses the diagnostic and therapeutic management of this extremely rare and often overlooked dangerous injury. To avoid overlooking carotid artery dissections, CT angiography of the neck region should be generously included into the initial multislice CT whole-body scan, when the injury results from an according trauma. For the best outcome, sites of hemorrhage should be abolished quickly and the anticoagulative therapy should be initiated as soon as possible. Interdisciplinary treatment of trauma surgeons and neurologists is crucial.

摘要

背景

创伤性颈动脉夹层非常罕见,常被忽视且危及生命。诊断和治疗困难,尤其是在多发伤患者中。

病例报告

我们报告一名28岁女性严重创伤患者(损伤严重度评分,ISS 50),她遭遇了机动车事故。她最初被转至二级创伤中心。经过初步评估和手术处理后,在重症监护病房诊断出瞳孔不等大。随后的CT血管造影和颅外双功超声检查显示双侧颈内动脉夹层。患者被转至我们的一级创伤中心,于创伤后第二天开始采用大剂量肝素治疗进行保守治疗。6个月后的结果非常好。

结论

除了介绍该患者的病例和结果外,本文还讨论了这种极其罕见且常被忽视的危险损伤的诊断和治疗管理。为避免漏诊颈动脉夹层,当损伤由相应创伤导致时,颈部区域的CT血管造影应广泛纳入初始多层CT全身扫描中。为获得最佳结果,应尽快消除出血部位并尽早开始抗凝治疗。创伤外科医生和神经科医生的多学科治疗至关重要。

https://cdn.ncbi.nlm.nih.gov/pmc/blobs/08f1/4511249/29d5dd7195e9/40001_2015_153_Fig1_HTML.jpg

文献AI研究员

20分钟写一篇综述,助力文献阅读效率提升50倍。

立即体验

用中文搜PubMed

大模型驱动的PubMed中文搜索引擎

马上搜索

文档翻译

学术文献翻译模型,支持多种主流文档格式。

立即体验