Suppr超能文献

与α-突触核蛋白(SNCA)重复及H50Q突变相比,G51D SNCA突变病例的独特临床和神经病理学特征。

Distinct clinical and neuropathological features of G51D SNCA mutation cases compared with SNCA duplication and H50Q mutation.

作者信息

Kiely Aoife P, Ling Helen, Asi Yasmine T, Kara Eleanna, Proukakis Christos, Schapira Anthony H, Morris Huw R, Roberts Helen C, Lubbe Steven, Limousin Patricia, Lewis Patrick A, Lees Andrew J, Quinn Niall, Hardy John, Love Seth, Revesz Tamas, Houlden Henry, Holton Janice L

机构信息

Department of Molecular Neuroscience, Queen Square Brain Bank, UCL Institute of Neurology, Queen Square, WC1N 3BG, London, UK.

Alzheimer's Disease Research Centre, Harvard medical school & Massachusetts General Hospital, 114 16th Street, Charlestown, MA, 02129, USA.

出版信息

Mol Neurodegener. 2015 Aug 27;10:41. doi: 10.1186/s13024-015-0038-3.

Abstract

BACKGROUND

We and others have described the neurodegenerative disorder caused by G51D SNCA mutation which shares characteristics of Parkinson's disease (PD) and multiple system atrophy (MSA). The objective of this investigation was to extend the description of the clinical and neuropathological hallmarks of G51D mutant SNCA-associated disease by the study of two additional cases from a further G51D SNCA kindred and to compare the features of this group with a SNCA duplication case and a H50Q SNCA mutation case.

RESULTS

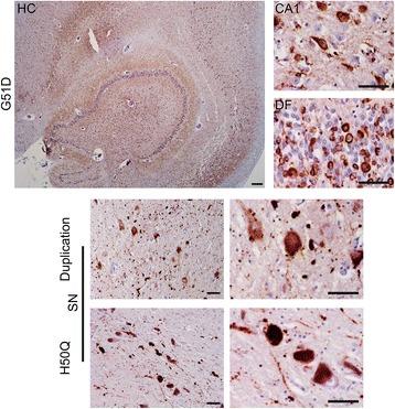
All three G51D patients were clinically characterised by parkinsonism, dementia, visual hallucinations, autonomic dysfunction and pyramidal signs with variable age at disease onset and levodopa response. The H50Q SNCA mutation case had a clinical picture that mimicked late-onset idiopathic PD with a good and sustained levodopa response. The SNCA duplication case presented with a clinical phenotype of frontotemporal dementia with marked behavioural changes, pyramidal signs, postural hypotension and transiently levodopa responsive parkinsonism. Detailed post-mortem neuropathological analysis was performed in all cases. All three G51D cases had abundant α-synuclein pathology with characteristics of both PD and MSA. These included widespread cortical and subcortical neuronal α-synuclein inclusions together with small numbers of inclusions resembling glial cytoplasmic inclusions (GCIs) in oligodendrocytes. In contrast the H50Q and SNCA duplication cases, had α-synuclein pathology resembling idiopathic PD without GCIs. Phosphorylated α-synuclein was present in all inclusions types in G51D cases but was more restricted in SNCA duplication and H50Q mutation. Inclusions were also immunoreactive for the 5G4 antibody indicating their highly aggregated and likely fibrillar state.

CONCLUSIONS

Our characterisation of the clinical and neuropathological features of the present small series of G51D SNCA mutation cases should aid the recognition of this clinico-pathological entity. The neuropathological features of these cases consistently share characteristics of PD and MSA and are distinct from PD patients carrying the H50Q or SNCA duplication.

摘要

背景

我们和其他研究人员已经描述了由G51D型α-突触核蛋白(SNCA)突变引起的神经退行性疾病,该疾病具有帕金森病(PD)和多系统萎缩(MSA)的特征。本研究的目的是通过对另一个G51D型SNCA家系中的另外两例病例进行研究,扩展对G51D突变型SNCA相关疾病的临床和神经病理学特征的描述,并将该组病例的特征与一例SNCA重复病例和一例H50Q型SNCA突变病例进行比较。

结果

所有三例G51D患者的临床特征均为帕金森综合征、痴呆、视幻觉、自主神经功能障碍和锥体束征,发病年龄和左旋多巴反应各不相同。H50Q型SNCA突变病例的临床表现类似于晚发型特发性帕金森病,对左旋多巴反应良好且持续。SNCA重复病例表现为额颞叶痴呆的临床表型,伴有明显的行为改变、锥体束征、体位性低血压和对左旋多巴有短暂反应的帕金森综合征。对所有病例均进行了详细的尸检神经病理学分析。所有三例G51D病例均有丰富的α-突触核蛋白病理改变,具有帕金森病和多系统萎缩的特征。这些改变包括广泛的皮质和皮质下神经元α-突触核蛋白包涵体,以及少数类似于少突胶质细胞中胶质细胞胞质包涵体(GCI)的包涵体。相比之下,H50Q和SNCA重复病例的α-突触核蛋白病理改变类似于特发性帕金森病,无GCI。磷酸化α-突触核蛋白存在于G51D病例的所有包涵体类型中,但在SNCA重复和H50Q突变病例中分布更局限。包涵体对5G4抗体也有免疫反应,表明其高度聚集且可能处于纤维状状态。

结论

我们对本小系列G51D型SNCA突变病例的临床和神经病理学特征的描述,应有助于识别这一临床病理实体。这些病例的神经病理学特征始终具有帕金森病和多系统萎缩的特征,且与携带H50Q或SNCA重复的帕金森病患者不同。

https://cdn.ncbi.nlm.nih.gov/pmc/blobs/f9d6/4549856/2aca3d9b2671/13024_2015_38_Fig1_HTML.jpg

文献AI研究员

20分钟写一篇综述,助力文献阅读效率提升50倍。

立即体验

用中文搜PubMed

大模型驱动的PubMed中文搜索引擎

马上搜索

文档翻译

学术文献翻译模型,支持多种主流文档格式。

立即体验