Suppr超能文献

微小RNA-214通过靶向融合抑制蛋白(Sufu)促进肺腺癌上皮-间质转化和转移。

microRNA-214 promotes epithelial-mesenchymal transition and metastasis in lung adenocarcinoma by targeting the suppressor-of-fused protein (Sufu).

作者信息

Long Haixia, Wang Zhongyu, Chen Junying, Xiang Tong, Li Qijing, Diao Xinwei, Zhu Bo

机构信息

Institute of Cancer, Xinqiao Hospital, Third Military Medical University, Chongqing, China.

Department of Immunology, Duke University Medical Center, Durham, North Carolina, USA.

出版信息

Oncotarget. 2015 Nov 17;6(36):38705-18. doi: 10.18632/oncotarget.5478.

Abstract

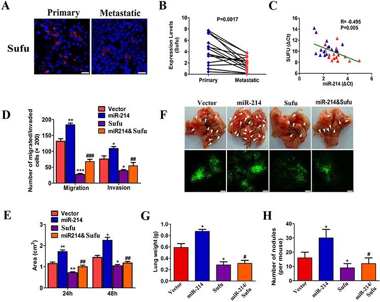
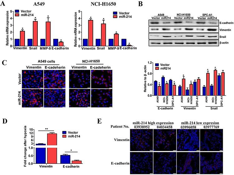
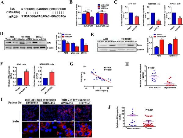
Distant metastasis is the major cause of cancer-related deaths in patients with lung adenocarcinoma (LAD). Emerging evidence reveals that miRNA is critical for tumor metastasis. miR-214 expression has been associated with LAD progression. However, whether and how miR-214 is involved in the development and metastasis of LAD remain unaddressed. Here, we found that the expression of miR-214 was elevated in LAD and correlated positively with LAD metastasis and epithelial-mesenchymal transition (EMT). In addition, we found that miR-214 enhanced the molecular program controlling the EMT of LAD cells and promoted LAD cell metastasis both in vitro and in vivo. This study thus provides the first evidence to show that the miR-214 expression by LAD cells contributes to the EMT and metastasis of LAD. Mechanistically, Sufu was identified as an important miR-214 functional target for the EMT and metastasis of LAD, ectopic expression of Sufu alleviated miR-214 promoted EMT and metastasis. Importantly, the expression of Sufu inversely correlated with the expression of miR-214 and vimentin and positively associated with the expression of E-cadherin in the tumor cells from human LAD patients. Collectively, this study uncovers a previously unappreciated miR-214-Sufu pathway in controlling EMT and metastasis of LAD and suggests that interfering with miR-214 and Sufu could be a viable approach to treat late stage metastatic LAD patients.

摘要

远处转移是肺腺癌(LAD)患者癌症相关死亡的主要原因。新出现的证据表明,miRNA对肿瘤转移至关重要。miR-214的表达与LAD进展相关。然而,miR-214是否以及如何参与LAD的发生和转移仍未得到解答。在此,我们发现miR-214在LAD中表达升高,且与LAD转移和上皮-间质转化(EMT)呈正相关。此外,我们发现miR-214增强了控制LAD细胞EMT的分子程序,并在体外和体内促进了LAD细胞转移。因此,本研究首次证明LAD细胞中miR-214的表达有助于LAD的EMT和转移。机制上,Sufu被确定为LAD的EMT和转移的重要miR-214功能靶点,Sufu的异位表达减轻了miR-214促进的EMT和转移。重要的是,在人类LAD患者的肿瘤细胞中,Sufu的表达与miR-214和波形蛋白的表达呈负相关,与E-钙黏蛋白的表达呈正相关。总的来说,本研究揭示了一条以前未被认识的miR-214-Sufu通路在控制LAD的EMT和转移中的作用,并表明干扰miR-214和Sufu可能是治疗晚期转移性LAD患者的一种可行方法。

https://cdn.ncbi.nlm.nih.gov/pmc/blobs/3001/4770731/e02e9613acfc/oncotarget-06-38705-g001.jpg

文献AI研究员

20分钟写一篇综述,助力文献阅读效率提升50倍。

立即体验

用中文搜PubMed

大模型驱动的PubMed中文搜索引擎

马上搜索

文档翻译

学术文献翻译模型,支持多种主流文档格式。

立即体验