Suppr超能文献

使用SMO(GDC-0449)或GLI(GANT-61)抑制剂靶向刺猬信号通路/GLI途径对乳腺癌细胞生长的体外和体内抑制作用。

In vitro and in vivo inhibition of breast cancer cell growth by targeting the Hedgehog/GLI pathway with SMO (GDC-0449) or GLI (GANT-61) inhibitors.

作者信息

Benvenuto Monica, Masuelli Laura, De Smaele Enrico, Fantini Massimo, Mattera Rosanna, Cucchi Danilo, Bonanno Elena, Di Stefano Enrica, Frajese Giovanni Vanni, Orlandi Augusto, Screpanti Isabella, Gulino Alberto, Modesti Andrea, Bei Roberto

机构信息

Department of Clinical Sciences and Translational Medicine, University of Rome "Tor Vergata", Rome, Italy.

Department of Experimental Medicine, University of Rome "Sapienza", Rome, Italy.

出版信息

Oncotarget. 2016 Feb 23;7(8):9250-70. doi: 10.18632/oncotarget.7062.

Abstract

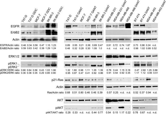
Aberrant Hedgehog (Hh)/glioma-associated oncogene (GLI) signaling has been implicated in cancer progression. Here, we analyzed GLI1, Sonic Hedgehog (Shh) and NF-κB expression in 51 breast cancer (ductal carcinoma) tissues using immunohistochemistry. We found a positive correlation between nuclear GLI1 expression and tumor grade in ductal carcinoma cases. Cytoplasmic Shh staining significantly correlated with a lower tumor grade. Next, the in vitro effects of two Hh signaling pathway inhibitors on breast cancer cell lines were evaluated using the Smoothened (SMO) antagonist GDC-0449 and the direct GLI1 inhibitor GANT-61. GDC-0449 and GANT-61 exhibited the following effects: a) inhibited breast cancer cell survival; b) induced apoptosis; c) inhibited Hh pathway activity by decreasing the mRNA expression levels of GLI1 and Ptch and inhibiting the nuclear translocation of GLI1; d) increased/decreased EGFR and ErbB2 protein expression, reduced p21-Ras and ERK1/ERK2 MAPK activities and inhibited AKT activation; and e) decreased the nuclear translocation of NF-κB. However, GANT-61 exerted these effects more effectively than GDC-0449. The in vivo antitumor activities of GDC-0449 and GANT-61 were analyzed in BALB/c mice that were subcutaneously inoculated with mouse breast cancer (TUBO) cells. GDC-0449 and GANT-61 suppressed tumor growth of TUBO cells in BALB/c mice to different extents. These findings suggest that targeting the Hh pathway using antagonists that act downstream of SMO is a more efficient strategy than using antagonists that act upstream of SMO for interrupting Hh signaling in breast cancer.

摘要

异常的刺猬信号通路(Hh)/胶质瘤相关癌基因(GLI)信号传导与癌症进展有关。在此,我们采用免疫组织化学方法分析了51例乳腺癌(导管癌)组织中GLI1、音猬因子(Shh)和核因子κB(NF-κB)的表达情况。我们发现,在导管癌病例中,核GLI1表达与肿瘤分级呈正相关。细胞质Shh染色与较低的肿瘤分级显著相关。接下来,我们使用平滑受体(SMO)拮抗剂GDC-0449和直接GLI1抑制剂GANT-61评估了两种Hh信号通路抑制剂对乳腺癌细胞系的体外作用。GDC-0449和GANT-61表现出以下作用:a)抑制乳腺癌细胞存活;b)诱导细胞凋亡;c)通过降低GLI1和Patched(Ptch)的mRNA表达水平并抑制GLI1的核转位来抑制Hh通路活性;d)增加/降低表皮生长因子受体(EGFR)和表皮生长因子受体2(ErbB2)蛋白表达,降低p21-鼠肉瘤病毒癌基因(Ras)和细胞外信号调节激酶1/细胞外信号调节激酶2(ERK1/ERK2)丝裂原活化蛋白激酶(MAPK)活性并抑制蛋白激酶B(AKT)激活;以及e)降低NF-κB的核转位。然而,GANT-61比GDC-0449更有效地发挥了这些作用。我们在皮下接种小鼠乳腺癌(TUBO)细胞的BALB/c小鼠中分析了GDC-0449和GANT-61的体内抗肿瘤活性。GDC-0449和GANT-61在不同程度上抑制了BALB/c小鼠中TUBO细胞的肿瘤生长。这些发现表明,对于中断乳腺癌中的Hh信号传导,使用作用于SMO下游的拮抗剂靶向Hh通路比使用作用于SMO上游的拮抗剂是一种更有效的策略。

https://cdn.ncbi.nlm.nih.gov/pmc/blobs/fbf4/4891038/519415b959cb/oncotarget-07-9250-g001.jpg

文献AI研究员

20分钟写一篇综述,助力文献阅读效率提升50倍。

立即体验

用中文搜PubMed

大模型驱动的PubMed中文搜索引擎

马上搜索

文档翻译

学术文献翻译模型,支持多种主流文档格式。

立即体验