Suppr超能文献

H3K27me3去甲基化酶调节骨关节炎中的体外软骨形成和软骨细胞活性。

H3K27me3 demethylases regulate in vitro chondrogenesis and chondrocyte activity in osteoarthritis.

作者信息

Yapp Clarence, Carr Andrew J, Price Andrew, Oppermann Udo, Snelling Sarah J B

机构信息

Nuffield Department of Orthopaedics, Rheumatology and Musculoskeletal Sciences, Botnar Research Centre, University of Oxford, Nuffield Orthopaedic Centre, Windmill Road, Headington, OX3 7LD, Oxford, UK.

Structural Genomics Consortium, University of Oxford, Oxford, UK.

出版信息

Arthritis Res Ther. 2016 Jul 7;18(1):158. doi: 10.1186/s13075-016-1053-7.

Abstract

BACKGROUND

Epigenetic changes (i.e., chromatin modifications) occur during chondrogenesis and in osteoarthritis (OA). We investigated the effect of H3K27me3 demethylase inhibition on chondrogenesis and assessed its utility in cartilage tissue engineering and in understanding cartilage destruction in OA.

METHODS

We used a high-content screen to assess the effect of epigenetic modifying compounds on collagen output during chondrogenesis of monolayer human mesenchymal stem cells (MSCs). The impact of GSK-J4 on gene expression, glycosaminoglycan output and collagen formation during differentiation of MSCs into cartilage discs was investigated. Expression of lysine (K)-specific demethylase 6A (UTX) and Jumonji domain-containing 3 (JMJD3), the HEK27Me3 demethylases targeted by GSK-J4, was measured in damaged and undamaged cartilage from patients with OA. The impact of GSK-J4 on ex vivo cartilage destruction and expression of OA-related genes in human articular chondrocytes (HACs) was assessed. H3K27Me3 demethylase regulation of transforming growth factor (TGF)-β-induced gene expression was measured in MSCs and HACs.

RESULTS

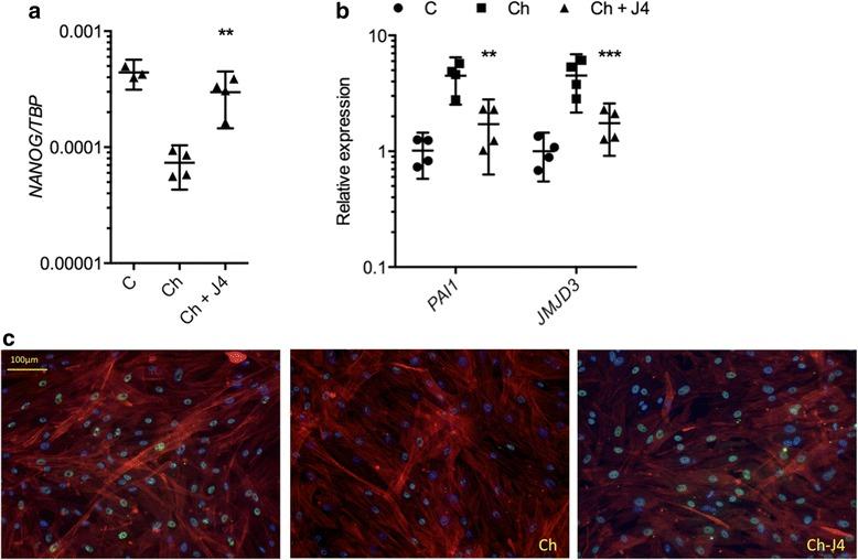
Treatment of chondrogenic MSCs with the H3K27me3 demethylase inhibitor GSK-J4, which targets JMJD3 and UTX, inhibited collagen output; expression of chondrogenic genes, including SOX9 and COL2A1; and disrupted glycosaminoglycan and collagen synthesis. JMJD3 but not UTX expression was increased during chondrogenesis and in damaged OA cartilage, suggesting a predominant role of JMJD3 in chondrogenesis and OA. GSK-J4 prevented ex vivo cartilage destruction and expression of the OA-related genes MMP13 and PTGS2. TGF-β is a key regulator of chondrogenesis and articular cartilage homeostasis, and TGF-β-induced gene expression was inhibited by GSK-J4 treatment of both chondrogenic MSCs and HACs.

CONCLUSIONS

Overall, we show that H3K27me3 demethylases modulate chondrogenesis and that enhancing this activity may improve production of tissue-engineered cartilage. In contrast, targeted inhibition of H3K27me3 demethylases could provide a novel approach in OA therapeutics.

摘要

背景

表观遗传变化(即染色质修饰)发生于软骨形成过程及骨关节炎(OA)中。我们研究了H3K27me3去甲基化酶抑制对软骨形成的影响,并评估其在软骨组织工程及理解OA中软骨破坏方面的效用。

方法

我们使用高内涵筛选来评估表观遗传修饰化合物对单层人间充质干细胞(MSC)软骨形成过程中胶原蛋白分泌的影响。研究了GSK-J4对MSC分化为软骨盘过程中基因表达、糖胺聚糖分泌及胶原蛋白形成的影响。在OA患者受损和未受损的软骨中检测了赖氨酸(K)特异性去甲基化酶6A(UTX)和含Jumonji结构域3(JMJD3)的表达,这两种是GSK-J4靶向的H3K27Me3去甲基化酶。评估了GSK-J4对体外软骨破坏及人关节软骨细胞(HAC)中OA相关基因表达的影响。在MSC和HAC中检测了H3K27Me3去甲基化酶对转化生长因子(TGF)-β诱导的基因表达的调控。

结果

用靶向JMJD3和UTX的H3K27me3去甲基化酶抑制剂GSK-J4处理软骨形成的MSC,可抑制胶原蛋白分泌;抑制包括SOX9和COL2A1在内的软骨形成基因的表达;并破坏糖胺聚糖和胶原蛋白的合成。在软骨形成过程及受损的OA软骨中,JMJD3的表达增加,而UTX表达未增加,提示JMJD3在软骨形成和OA中起主要作用。GSK-J4可防止体外软骨破坏及OA相关基因MMP13和PTGS2的表达。TGF-β是软骨形成和关节软骨稳态的关键调节因子,用GSK-J4处理软骨形成的MSC和HAC均会抑制TGF-β诱导的基因表达。

结论

总体而言,我们表明H3K27me3去甲基化酶调节软骨形成,增强这种活性可能会改善组织工程软骨的生成。相反,靶向抑制H3K27me3去甲基化酶可为OA治疗提供一种新方法。

https://cdn.ncbi.nlm.nih.gov/pmc/blobs/df6b/4936015/e284d77cd883/13075_2016_1053_Fig1_HTML.jpg

文献AI研究员

20分钟写一篇综述,助力文献阅读效率提升50倍。

立即体验

用中文搜PubMed

大模型驱动的PubMed中文搜索引擎

马上搜索

文档翻译

学术文献翻译模型,支持多种主流文档格式。

立即体验