Suppr超能文献

用于癌症治疗的新型抗EPHA2抗体DS-8895a。

Novel anti-EPHA2 antibody, DS-8895a for cancer treatment.

作者信息

Hasegawa Jun, Sue Mayumi, Yamato Michiko, Ichikawa Junya, Ishida Saori, Shibutani Tomoko, Kitamura Michiko, Wada Teiji, Agatsuma Toshinori

机构信息

a Biologics & Immuno-Oncology Laboratories , Daiichi Sankyo Co., Ltd., Shinagawa-ku, Tokyo , Japan.

b Translational Medicine & Clinical Pharmacology Department , Daiichi Sankyo Co., Ltd., Shinagawa-ku , Tokyo , Japan.

出版信息

Cancer Biol Ther. 2016 Nov;17(11):1158-1167. doi: 10.1080/15384047.2016.1235663. Epub 2016 Sep 21.

Abstract

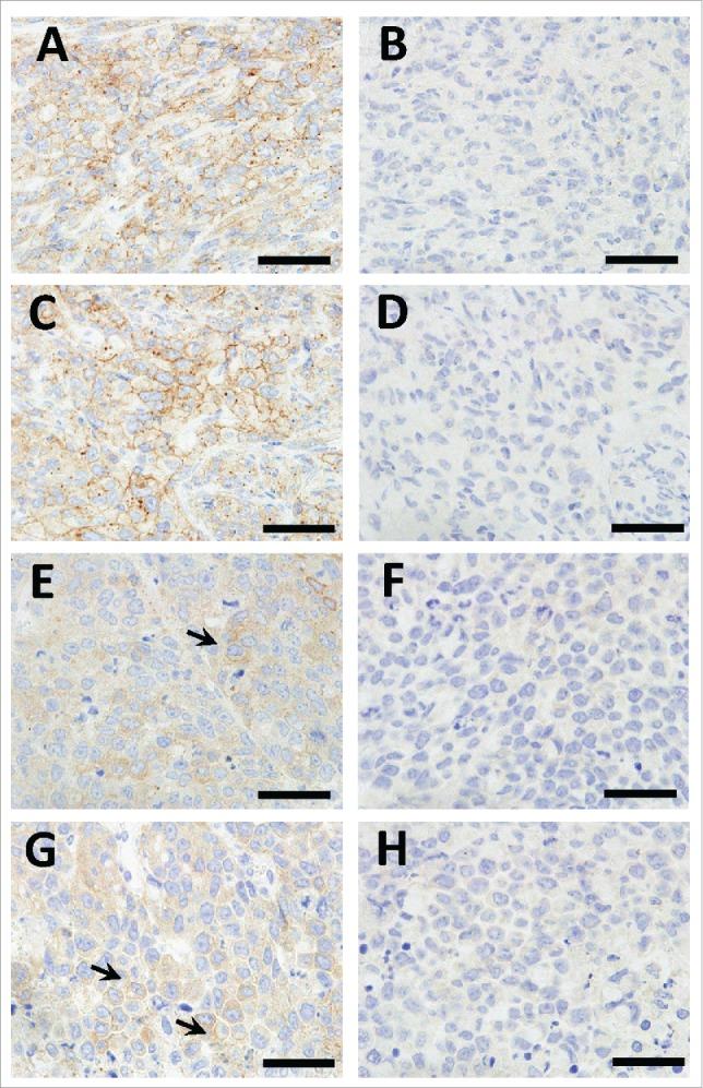
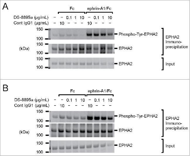
Overexpression of EPHA2 has been observed in multiple cancers and reported to be associated with poor prognosis. Here, we produced an afucosylated humanized anti-EPHA2 monoclonal antibody (mAb), DS-8895a for cancer treatment. The antibody recognizes the extracellular juxtamembrane region of EPHA2 and therefore can bind to both full-length and truncated forms of EPHA2, which are anchored to cell membranes and recently reported to be produced by post-translational cleavage in tumors. DS-8895a exhibited markedly increased antibody dependent cellular cytotoxicity (ADCC) in vitro and also inhibited tumor growth in EPHA2-positive human breast cancer MDA-MB-231 and human gastric cancer SNU-16 xenograft mouse models. Moreover, DS-8895a in combination with cisplatin (CDDP) showed better efficacy than each of the monotherapies did in the human gastric cancer model. These results suggest that a novel antibody, DS-8895a has therapeutic potential against EPHA2-expressing tumors.

摘要

在多种癌症中均观察到EPHA2的过表达,并且据报道其与预后不良相关。在此,我们制备了一种去岩藻糖基化的人源化抗EPHA2单克隆抗体(mAb)DS-8895a用于癌症治疗。该抗体识别EPHA2的细胞外近膜区域,因此能够结合全长和截短形式的EPHA2,这两种形式均锚定在细胞膜上,且最近有报道称它们是由肿瘤中的翻译后切割产生的。DS-8895a在体外表现出显著增强的抗体依赖性细胞毒性(ADCC),并且在EPHA2阳性的人乳腺癌MDA-MB-231和人胃癌SNU-16异种移植小鼠模型中也抑制了肿瘤生长。此外,在人胃癌模型中,DS-8895a与顺铂(CDDP)联合使用显示出比单一疗法更好的疗效。这些结果表明,新型抗体DS-8895a对表达EPHA2的肿瘤具有治疗潜力。

https://cdn.ncbi.nlm.nih.gov/pmc/blobs/9e5f/5137487/0b8b0cf5e032/kcbt-17-11-1235663-g001.jpg

文献AI研究员

20分钟写一篇综述,助力文献阅读效率提升50倍。

立即体验

用中文搜PubMed

大模型驱动的PubMed中文搜索引擎

马上搜索

文档翻译

学术文献翻译模型,支持多种主流文档格式。

立即体验