Suppr超能文献

利用F-FDG-PET评估APP/PS1转基因小鼠早期阿尔茨海默病中葡萄糖代谢紊乱、学习和记忆功能障碍的年龄及脑区特异性变化。

Age- and Brain Region-Specific Changes of Glucose Metabolic Disorder, Learning, and Memory Dysfunction in Early Alzheimer's Disease Assessed in APP/PS1 Transgenic Mice Using F-FDG-PET.

作者信息

Li Xue-Yuan, Men Wei-Wei, Zhu Hua, Lei Jian-Feng, Zuo Fu-Xing, Wang Zhan-Jing, Zhu Zhao-Hui, Bao Xin-Jie, Wang Ren-Zhi

机构信息

Department of Neurosurgery, Peking Union Medical College Hospital, Chinese Academy of Medical Sciences and Peking Union Medical College, Beijing 100730, China.

Center for Magnetic Resonance Imaging, Peking University, Beijing 100871, China.

出版信息

Int J Mol Sci. 2016 Oct 18;17(10):1707. doi: 10.3390/ijms17101707.

Abstract

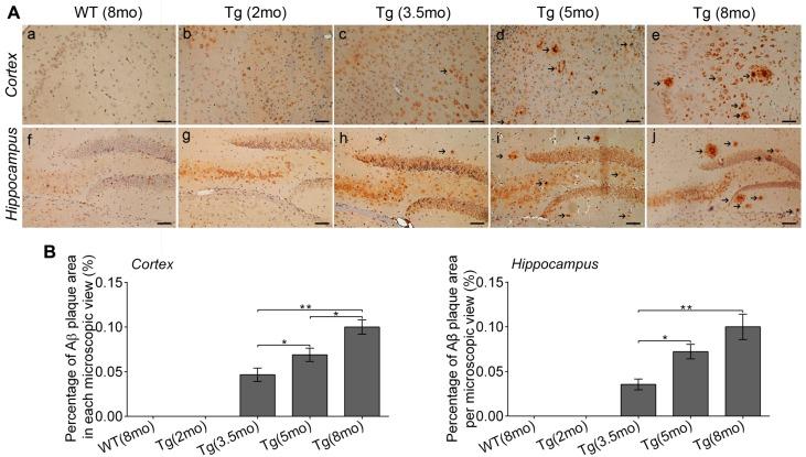
Alzheimer's disease (AD) is a leading cause of dementia worldwide, associated with cognitive deficits and brain glucose metabolic alteration. However, the associations of glucose metabolic changes with cognitive dysfunction are less detailed. Here, we examined the brains of APP/presenilin 1 (PS1) transgenic (Tg) mice aged 2, 3.5, 5 and 8 months using F-labed fluorodeoxyglucose (F-FDG) microPET to assess age- and brain region-specific changes of glucose metabolism. FDG uptake was calculated as a relative standardized uptake value (SUVr). Morris water maze (MWM) was used to evaluate learning and memory dysfunction. We showed a glucose utilization increase in multiple brain regions of Tg mice at 2 and 3.5 months but not at 5 and 8 months. Comparisons of SUVrs within brains showed higher glucose utilization than controls in the entorhinal cortex, hippocampus, and frontal cortex of Tg mice at 2 and 3.5 months but in the thalamus and striatum at 3.5, 5 and 8 months. By comparing SUVrs in the entorhinal cortex and hippocampus, Tg mice were distinguished from controls at 2 and 3.5 months. In MWM, Tg mice aged 2 months shared a similar performance to the controls (prodromal-AD). By contrast, Tg mice failed training tests at 3.5 months but failed all MWM tests at 5 and 8 months, suggestive of partial or complete cognitive deficits (symptomatic-AD). Correlation analyses showed that hippocampal SUVrs were significantly correlated with MWM parameters in the symptomatic-AD stage. These data suggest that glucose metabolic disorder occurs before onset of AD signs in APP/PS1 mice with the entorhinal cortex and hippocampus affected first, and that regional FDG uptake increase can be an early biomarker for AD. Furthermore, hippocampal FDG uptake is a possible indicator for progression of Alzheimer's cognition after cognitive decline, at least in animals.

摘要

阿尔茨海默病(AD)是全球痴呆的主要病因,与认知缺陷和脑葡萄糖代谢改变有关。然而,葡萄糖代谢变化与认知功能障碍之间的关联尚缺乏详细研究。在此,我们使用F标记的氟代脱氧葡萄糖(F-FDG)微型正电子发射断层显像(microPET)对2、3.5、5和8月龄的APP/早老素1(PS1)转基因(Tg)小鼠的大脑进行检查,以评估葡萄糖代谢的年龄和脑区特异性变化。FDG摄取以相对标准化摄取值(SUVr)计算。采用莫里斯水迷宫(MWM)评估学习和记忆功能障碍。我们发现,2和3.5月龄的Tg小鼠多个脑区的葡萄糖利用率增加,但5和8月龄时未增加。脑内SUVr的比较显示,2和3.5月龄时,Tg小鼠内嗅皮质、海马和额叶皮质的葡萄糖利用率高于对照组,但3.5、5和8月龄时丘脑和纹状体的葡萄糖利用率高于对照组。通过比较内嗅皮质和海马的SUVr,2和3.5月龄时Tg小鼠与对照组有差异。在MWM中,2月龄的Tg小鼠表现与对照组相似(前驱性AD)。相比之下,3.5月龄的Tg小鼠训练测试失败,但5和8月龄时所有MWM测试均失败,提示部分或完全认知缺陷(症状性AD)。相关性分析显示,症状性AD阶段海马SUVr与MWM参数显著相关。这些数据表明,APP/PS1小鼠在AD体征出现之前就发生了葡萄糖代谢紊乱,首先受影响的是内嗅皮质和海马,区域FDG摄取增加可能是AD的早期生物标志物。此外,海马FDG摄取至少在动物中可能是认知下降后阿尔茨海默病认知进展的一个指标。

https://cdn.ncbi.nlm.nih.gov/pmc/blobs/3471/5085739/44c87b82bdaa/ijms-17-01707-g001.jpg

文献AI研究员

20分钟写一篇综述,助力文献阅读效率提升50倍。

立即体验

用中文搜PubMed

大模型驱动的PubMed中文搜索引擎

马上搜索

文档翻译

学术文献翻译模型,支持多种主流文档格式。

立即体验