Suppr超能文献

寄生虫衍生的 68 肽可改善 1 型糖尿病和多发性硬化症的小鼠模型中的自身免疫性疾病。

A parasite-derived 68-mer peptide ameliorates autoimmune disease in murine models of Type 1 diabetes and multiple sclerosis.

机构信息

The School of Life Sciences, University of Technology Sydney, New South Wales, Australia.

The University of Queensland, UQ Centre for Clinical Research, Brisbane, Queensland, Australia.

出版信息

Sci Rep. 2016 Nov 24;6:37789. doi: 10.1038/srep37789.

Abstract

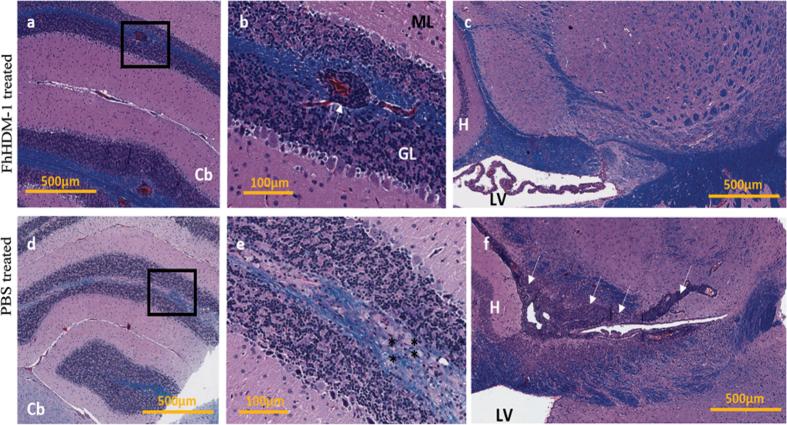
Helminth parasites secrete molecules that potently modulate the immune responses of their hosts and, therefore, have potential for the treatment of immune-mediated human diseases. FhHDM-1, a 68-mer peptide secreted by the helminth parasite Fasciola hepatica, ameliorated disease in two different murine models of autoimmunity, type 1 diabetes and relapsing-remitting immune-mediated demyelination. Unexpectedly, FhHDM-1 treatment did not affect the proliferation of auto-antigen specific T cells or their production of cytokines. However, in both conditions, the reduction in clinical symptoms was associated with the absence of immune cell infiltrates in the target organ (islets and the brain tissue). Furthermore, after parenteral administration, the FhHDM-1 peptide interacted with macrophages and reduced their capacity to secrete pro-inflammatory cytokines, such as TNF and IL-6. We propose this inhibition of innate pro-inflammatory immune responses, which are central to the initiation of autoimmunity in both diseases, prevented the trafficking of autoreactive lymphocytes from the periphery to the site of autoimmunity (as opposed to directly modulating their function per se), and thus prevented tissue destruction. The ability of FhHDM-1 to modulate macrophage function, combined with its efficacy in disease prevention in multiple models, suggests that FhHDM-1 has considerable potential as a treatment for autoimmune diseases.

摘要

寄生虫分泌的分子能够强烈调节宿主的免疫反应,因此具有治疗人类免疫介导性疾病的潜力。肝片形吸虫(Fasciola hepatica)分泌的 68 肽 FhHDM-1 可改善两种不同的自身免疫性疾病(1 型糖尿病和复发缓解性免疫介导性脱髓鞘)的疾病。出乎意料的是,FhHDM-1 治疗并不影响自身抗原特异性 T 细胞的增殖或细胞因子的产生。然而,在这两种情况下,临床症状的减轻与靶器官(胰岛和脑组织)中免疫细胞浸润的缺失有关。此外,在给予 FhHDM-1 肽后,该肽与巨噬细胞相互作用,降低了其分泌促炎细胞因子(如 TNF 和 IL-6)的能力。我们提出,这种对先天促炎免疫反应的抑制作用是两种疾病自身免疫起始的核心,阻止了自身反应性淋巴细胞从外周向自身免疫部位的迁移(而不是直接调节其功能本身),从而防止了组织破坏。FhHDM-1 调节巨噬细胞功能的能力,加上其在多种模型中预防疾病的功效,表明 FhHDM-1 具有作为自身免疫性疾病治疗药物的巨大潜力。

https://cdn.ncbi.nlm.nih.gov/pmc/blobs/9b73/5121616/e7b7f6b33416/srep37789-f1.jpg

文献AI研究员

20分钟写一篇综述,助力文献阅读效率提升50倍。

立即体验

用中文搜PubMed

大模型驱动的PubMed中文搜索引擎

马上搜索

文档翻译

学术文献翻译模型,支持多种主流文档格式。

立即体验