Suppr超能文献

病毒DNA传感器IFI16和环状GMP-AMP合酶在调节疱疹病毒感染期间的病毒基因表达、免疫防御和凋亡反应中具有不同功能。

Viral DNA Sensors IFI16 and Cyclic GMP-AMP Synthase Possess Distinct Functions in Regulating Viral Gene Expression, Immune Defenses, and Apoptotic Responses during Herpesvirus Infection.

作者信息

Diner Benjamin A, Lum Krystal K, Toettcher Jared E, Cristea Ileana M

机构信息

Department of Molecular Biology, Princeton University, Princeton, New Jersey, USA.

Department of Molecular Biology, Princeton University, Princeton, New Jersey, USA

出版信息

mBio. 2016 Nov 15;7(6):e01553-16. doi: 10.1128/mBio.01553-16.

Abstract

UNLABELLED

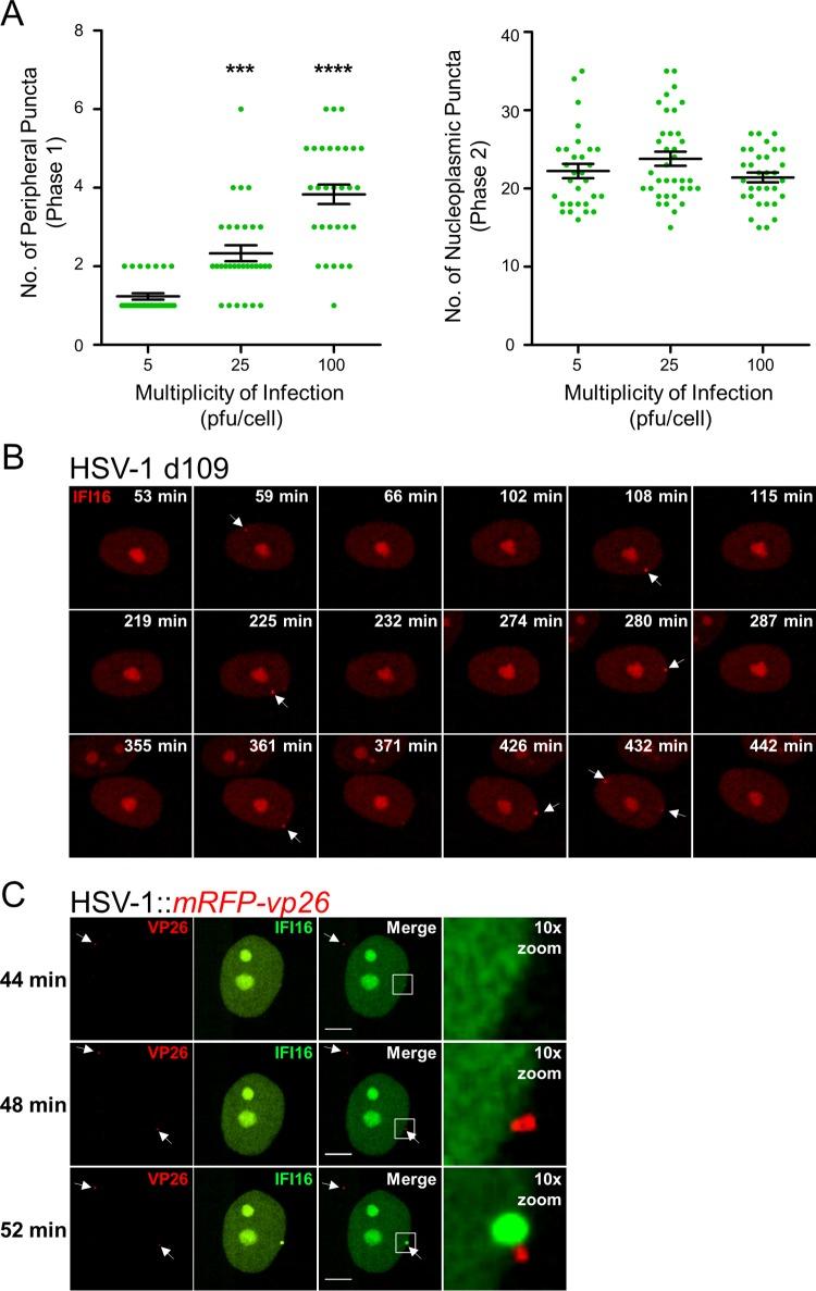
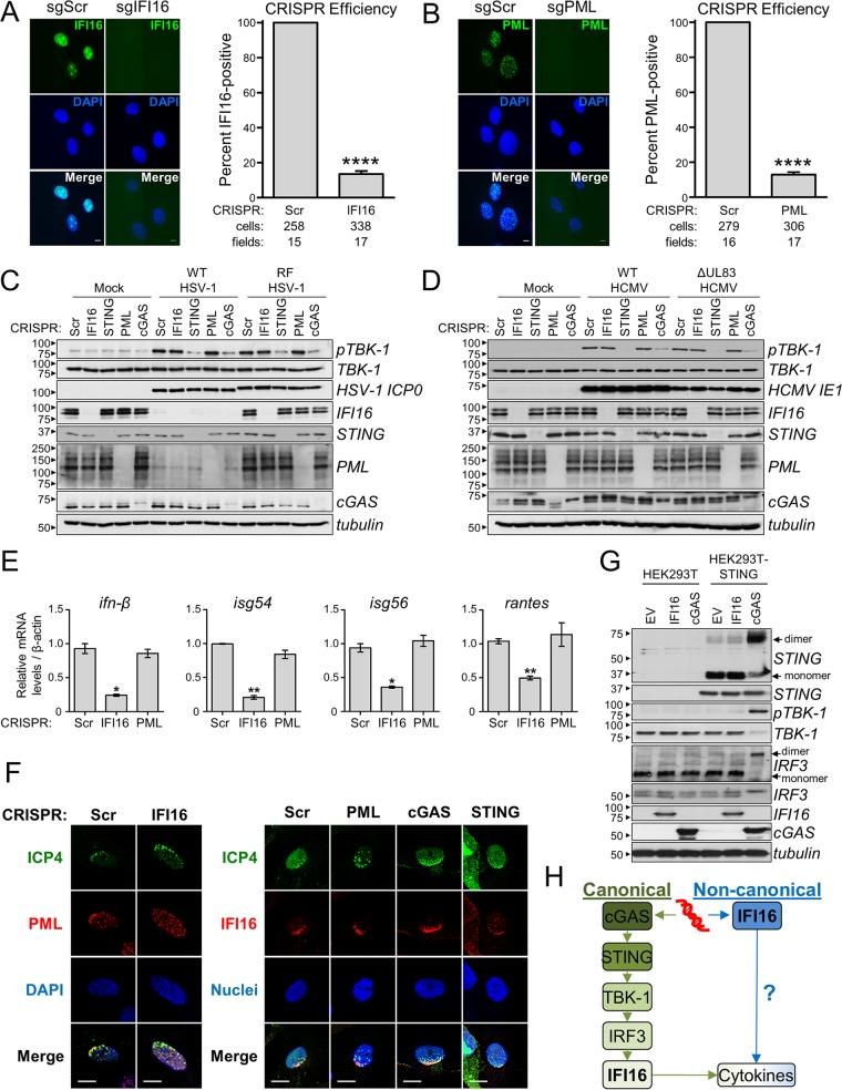
The human interferon-inducible protein IFI16 is an important antiviral factor that binds nuclear viral DNA and promotes antiviral responses. Here, we define IFI16 dynamics in space and time and its distinct functions from the DNA sensor cyclic dinucleotide GMP-AMP synthase (cGAS). Live-cell imaging reveals a multiphasic IFI16 redistribution, first to viral entry sites at the nuclear periphery and then to nucleoplasmic puncta upon herpes simplex virus 1 (HSV-1) and human cytomegalovirus (HCMV) infections. Optogenetics and live-cell microscopy establish the IFI16 pyrin domain as required for nuclear periphery localization and oligomerization. Furthermore, using proteomics, we define the signature protein interactions of the IFI16 pyrin and HIN200 domains and demonstrate the necessity of pyrin for IFI16 interactions with antiviral proteins PML and cGAS. We probe signaling pathways engaged by IFI16, cGAS, and PML using clustered regularly interspaced short palindromic repeat (CRISPR)/Cas9-mediated knockouts in primary fibroblasts. While IFI16 induces cytokines, only cGAS activates STING/TBK-1/IRF3 and apoptotic responses upon HSV-1 and HCMV infections. cGAS-dependent apoptosis upon DNA stimulation requires both the enzymatic production of cyclic dinucleotides and STING. We show that IFI16, not cGAS or PML, represses HSV-1 gene expression, reducing virus titers. This indicates that regulation of viral gene expression may function as a greater barrier to viral replication than the induction of antiviral cytokines. Altogether, our findings establish coordinated and distinct antiviral functions for IFI16 and cGAS against herpesviruses.

IMPORTANCE

How mammalian cells detect and respond to DNA viruses that replicate in the nucleus is poorly understood. Here, we decipher the distinct functions of two viral DNA sensors, IFI16 and cGAS, during active immune signaling upon infection with two herpesviruses, herpes simplex virus 1 (HSV-1) and human cytomegalovirus (HCMV). We show that IFI16 rapidly oligomerizes at incoming herpesvirus genomes at the nuclear periphery to transcriptionally repress viral gene expression and limit viral replicative capacity. We further demonstrate that IFI16 does not initiate upstream activation of the canonical STING/TBK-1/IRF3 signaling pathway but is required for downstream antiviral cytokine expression. In contrast, we find that, upon DNA sensing during herpesvirus infection, cGAS triggers apoptosis in a STING-dependent manner. Our live-cell imaging, mass spectrometry-based proteomics, CRISPR-based cellular assays, and optogenetics underscore the value of integrative approaches to uncover complex cellular responses against pathogens.

摘要

未标记

人类干扰素诱导蛋白IFI16是一种重要的抗病毒因子,它能结合细胞核内的病毒DNA并促进抗病毒反应。在此,我们确定了IFI16在空间和时间上的动态变化及其与DNA传感器环二核苷酸GMP-AMP合酶(cGAS)不同的功能。活细胞成像显示IFI16呈现多阶段重新分布,首先在单纯疱疹病毒1型(HSV-1)和人巨细胞病毒(HCMV)感染时,它会重新分布到核周的病毒进入位点,然后再到核质斑点。光遗传学和活细胞显微镜检查确定IFI16的吡啉结构域是核周定位和寡聚化所必需的。此外,通过蛋白质组学,我们确定了IFI16的吡啉和HIN200结构域的标志性蛋白质相互作用,并证明吡啉对于IFI16与抗病毒蛋白PML和cGAS相互作用的必要性。我们使用成簇规律间隔短回文重复序列(CRISPR)/Cas9介导的原代成纤维细胞敲除技术,探究了IFI16、cGAS和PML所参与的信号通路。虽然IFI16可诱导细胞因子产生,但只有cGAS在HSV-1和HCMV感染时激活STING/TBK-1/IRF3和凋亡反应。DNA刺激后cGAS依赖性凋亡既需要环二核苷酸的酶促产生,也需要STING。我们发现是IFI16而非cGAS或PML抑制HSV-1基因表达,从而降低病毒滴度。这表明与诱导抗病毒细胞因子相比,调节病毒基因表达可能是病毒复制的更大障碍。总之,我们的研究结果确定了IFI16和cGAS针对疱疹病毒具有协调且不同的抗病毒功能。

重要性

哺乳动物细胞如何检测和应对在细胞核中复制的DNA病毒,目前了解甚少。在此,我们解析了两种病毒DNA传感器IFI16和cGAS在感染两种疱疹病毒,即单纯疱疹病毒1型(HSV-1)和人巨细胞病毒(HCMV)时,在活跃免疫信号传导过程中的不同功能。我们表明,IFI16在核周的传入疱疹病毒基因组处迅速寡聚化,以转录抑制病毒基因表达并限制病毒复制能力。我们进一步证明,IFI16不会启动经典的STING/TBK-1/IRF3信号通路的上游激活,但它是下游抗病毒细胞因子表达所必需的。相比之下,我们发现,在疱疹病毒感染期间进行DNA感知时,cGAS以STING依赖性方式触发凋亡。我们的活细胞成像、基于质谱的蛋白质组学、基于CRISPR的细胞分析以及光遗传学强调了综合方法在揭示针对病原体的复杂细胞反应方面的价值。

https://cdn.ncbi.nlm.nih.gov/pmc/blobs/2d25/5111403/2aaef2d69f0d/mbo0061630720001.jpg

文献AI研究员

20分钟写一篇综述,助力文献阅读效率提升50倍。

立即体验

用中文搜PubMed

大模型驱动的PubMed中文搜索引擎

马上搜索

文档翻译

学术文献翻译模型,支持多种主流文档格式。

立即体验