Suppr超能文献

λ-spanin蛋白Rz和Rz1的遗传分析:功能结构域的鉴定

Genetic Analysis of the Lambda Spanins Rz and Rz1: Identification of Functional Domains.

作者信息

Cahill Jesse, Rajaure Manoj, O'Leary Chandler, Sloan Jordan, Marrufo Armando, Holt Ashley, Kulkarni Aneesha, Hernandez Oscar, Young Ry

机构信息

Center for Phage Technology and Department of Biochemistry and Biophysics, Texas A&M University, College Station, Texas 77843.

Center for Phage Technology and Department of Biochemistry and Biophysics, Texas A&M University, College Station, Texas 77843

出版信息

G3 (Bethesda). 2017 Feb 9;7(2):741-753. doi: 10.1534/g3.116.037192.

Abstract

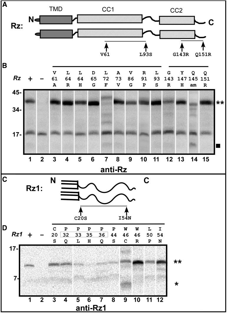
Coliphage lambda proteins Rz and Rz1 are the inner membrane and outer membrane subunits of the spanin complex-a heterotetramer that bridges the periplasm and is essential for the disruption of the outer membrane during phage lysis. Recent evidence suggests the spanin complex functions by fusing the inner and outer membrane. Here, we use a genetics approach to investigate and characterize determinants of spanin function. Because is entirely embedded in the +1 reading frame of , the genes were disembedded before using random mutagenesis to construct a library of lysis-defective alleles for both genes. Surprisingly, most of the lysis-defective missense mutants exhibited normal accumulation or localization , and also were found to be normal for complex formation Analysis of the distribution and nature of single missense mutations revealed subdomains that resemble key motifs in established membrane-fusion systems, , two coiled-coil domains in Rz, a proline-rich region of Rz1, and flexible linkers in both proteins. When coding sequences are aligned respective to the embedded genetic architecture of within , genetically silent domains of correspond to mutationally sensitive domains in , and vice versa, suggesting that the modular structure of the two subunits facilitated the evolutionary compression that resulted in the unique embedded gene architecture.

摘要

噬菌体λ蛋白Rz和Rz1是跨膜蛋白复合物的内膜和外膜亚基,该复合物是一种异源四聚体,横跨周质,对于噬菌体裂解期间外膜的破坏至关重要。最近的证据表明,跨膜蛋白复合物通过融合内膜和外膜发挥作用。在这里,我们使用遗传学方法来研究和表征跨膜蛋白功能的决定因素。由于Rz完全嵌入Rz1的+1阅读框中,因此在使用随机诱变构建两个基因的裂解缺陷等位基因文库之前,先将这两个基因分离。令人惊讶的是,大多数裂解缺陷型错义突变体表现出正常的积累或定位,并且还发现它们在复合物形成方面是正常的。对单个错义突变的分布和性质进行分析后,发现了一些类似于已建立的膜融合系统中的关键基序的亚结构域,例如,Rz中的两个卷曲螺旋结构域、Rz1的富含脯氨酸区域以及两种蛋白质中的柔性接头。当根据Rz1内Rz的嵌入遗传结构比对编码序列时,Rz的基因沉默结构域对应于Rz1中的突变敏感结构域,反之亦然,这表明两个亚基的模块化结构促进了进化压缩,从而产生了独特的嵌入基因结构。

https://cdn.ncbi.nlm.nih.gov/pmc/blobs/ac15/5295617/e06215af6b2e/741f1.jpg

文献AI研究员

20分钟写一篇综述,助力文献阅读效率提升50倍。

立即体验

用中文搜PubMed

大模型驱动的PubMed中文搜索引擎

马上搜索

文档翻译

学术文献翻译模型,支持多种主流文档格式。

立即体验