Suppr超能文献

骨髓间充质干细胞系统递送用于原位椎间盘再生。

Systemic Delivery of Bone Marrow Mesenchymal Stem Cells for In Situ Intervertebral Disc Regeneration.

机构信息

i3S-Instituto de Investigação e Inovação em Saúde, Universidade do Porto, Porto, Portugal.

INEB-Instituto de Engenharia Biomédica, Universidade do Porto, Porto, Portugal.

出版信息

Stem Cells Transl Med. 2017 Mar;6(3):1029-1039. doi: 10.5966/sctm.2016-0033. Epub 2016 Oct 11.

Abstract

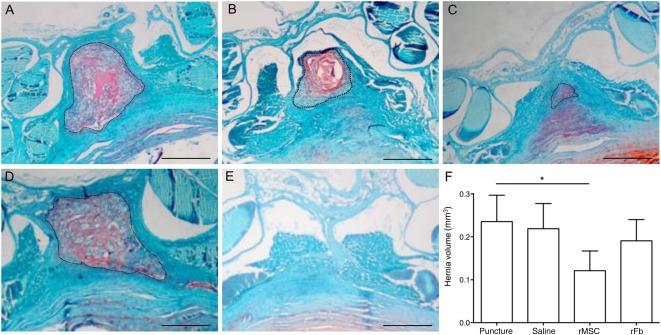
Cell therapies for intervertebral disc (IVD) regeneration presently rely on transplantation of IVD cells or stem cells directly to the lesion site. Still, the harsh IVD environment, with low irrigation and high mechanical stress, challenges cell administration and survival. In this study, we addressed systemic transplantation of allogeneic bone marrow mesenchymal stem cells (MSCs) intravenously into a rat IVD lesion model, exploring tissue regeneration via cell signaling to the lesion site. MSC transplantation was performed 24 hours after injury, in parallel with dermal fibroblasts as a control; 2 weeks after transplantation, animals were killed. Disc height index and histological grading score indicated less degeneration for the MSC-transplanted group, with no significant changes in extracellular matrix composition. Remarkably, MSC transplantation resulted in local downregulation of the hypoxia responsive GLUT-1 and in significantly less herniation, with higher amounts of Pax5+ B lymphocytes and no alterations in CD68+ macrophages within the hernia. The systemic immune response was analyzed in the blood, draining lymph nodes, and spleen by flow cytometry and in the plasma by cytokine array. Results suggest an immunoregulatory effect in the MSC-transplanted animals compared with control groups, with an increase in MHC class II+ and CD4+ cells, and also upregulation of the cytokines IL-2, IL-4, IL-6, and IL-10, and downregulation of the cytokines IL-13 and TNF-α. Overall, our results indicate a beneficial effect of systemically transplanted MSCs on in situ IVD regeneration and highlight the complex interplay between stromal cells and cells of the immune system in achieving successful tissue regeneration. Stem Cells Translational Medicine 2017;6:1029-1039.

摘要

目前,用于椎间盘(IVD)再生的细胞疗法依赖于将 IVD 细胞或干细胞直接移植到病变部位。然而,IVD 环境恶劣,灌流低,机械应力高,这对细胞的给药和存活构成了挑战。在这项研究中,我们通过细胞信号转导到病变部位,研究了静脉内全身移植同种异体骨髓间充质干细胞(MSCs)到大鼠 IVD 病变模型中,以实现组织再生。MSC 移植在损伤后 24 小时进行,同时移植真皮成纤维细胞作为对照;移植后 2 周,处死动物。椎间盘高度指数和组织学分级评分表明 MSC 移植组退变程度较低,细胞外基质组成无明显变化。值得注意的是,MSC 移植导致局部缺氧反应性 GLUT-1 下调,并且疝出明显减少,疝内 Pax5+B 淋巴细胞数量增加,CD68+巨噬细胞无变化。通过流式细胞术和细胞因子阵列在血液、引流淋巴结和脾脏中分析全身免疫反应,并在血浆中分析细胞因子阵列。结果表明,与对照组相比,MSC 移植动物具有免疫调节作用,MHC Ⅱ类+和 CD4+细胞增加,同时上调细胞因子 IL-2、IL-4、IL-6 和 IL-10,并下调细胞因子 IL-13 和 TNF-α。总的来说,我们的结果表明,全身移植的 MSC 对原位 IVD 再生具有有益的作用,并强调了基质细胞和免疫系统细胞之间的复杂相互作用在实现成功的组织再生中的作用。《干细胞转化医学》2017 年;6:1029-1039。

https://cdn.ncbi.nlm.nih.gov/pmc/blobs/f6cb/5442789/beb072023c3b/SCT3-6-1029-g001.jpg

文献AI研究员

20分钟写一篇综述,助力文献阅读效率提升50倍。

立即体验

用中文搜PubMed

大模型驱动的PubMed中文搜索引擎

马上搜索

文档翻译

学术文献翻译模型,支持多种主流文档格式。

立即体验