Suppr超能文献

评估来自年轻和老年患者来源的 Tie2 再生活体细胞移植,结果表明年龄仍然很重要。

Assessment of Tie2-Rejuvenated Nucleus Pulposus Cell Transplants from Young and Old Patient Sources Demonstrates That Age Still Matters.

机构信息

Department of Orthopedic Surgery, Tokai University School of Medicine, 143 Shimokasuya, Isehara 259-1193, Japan.

Center for Musculoskeletal Innovative Research and Advancement (C-MiRA), Tokai University Graduate School, 143 Shimokasuya, Isehara 259-1193, Japan.

出版信息

Int J Mol Sci. 2024 Jul 30;25(15):8335. doi: 10.3390/ijms25158335.

Abstract

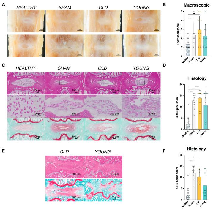
Cell transplantation is being actively explored as a regenerative therapy for discogenic back pain. This study explored the regenerative potential of Tie2 nucleus pulposus progenitor cells (NPPCs) from intervertebral disc (IVD) tissues derived from young (<25 years of age) and old (>60 years of age) patient donors. We employed an optimized culture method to maintain Tie2 expression in NP cells from both donor categories. Our study revealed similar Tie2 positivity rates regardless of donor types following cell culture. Nevertheless, clear differences were also found, such as the emergence of significantly higher (3.6-fold) GD2 positivity and reduced (2.7-fold) proliferation potential for older donors compared to young sources. Our results suggest that, despite obtaining a high fraction of Tie2 NP cells, cells from older donors were already committed to a more mature phenotype. These disparities translated into functional differences, influencing colony formation, extracellular matrix production, and in vivo regenerative potential. This study underscores the importance of considering age-related factors in NPPC-based therapies for disc degeneration. Further investigation into the genetic and epigenetic alterations of Tie2 NP cells from older donors is crucial for refining regenerative strategies. These findings shed light on Tie2 NPPCs as a promising cell source for IVD regeneration while emphasizing the need for comprehensive understanding and scalability considerations in culture methods for broader clinical applicability.

摘要

细胞移植作为一种治疗椎间盘源性腰痛的再生疗法正在被积极探索。本研究探索了来自年轻(<25 岁)和老年(>60 岁)患者供体的椎间盘组织中的 Tie2 核髓核前体细胞(NPPCs)的再生潜力。我们采用了一种优化的培养方法来维持来自两种供体类型的 NP 细胞中的 Tie2 表达。我们的研究表明,无论供体类型如何,细胞培养后 Tie2 阳性率相似。然而,也发现了明显的差异,例如老年供体的 GD2 阳性率显著升高(3.6 倍),增殖潜力降低(2.7 倍),与年轻来源相比。我们的研究结果表明,尽管获得了高比例的 Tie2 NP 细胞,但来自老年供体的细胞已经向更成熟的表型定向。这些差异转化为功能差异,影响集落形成、细胞外基质产生和体内再生潜力。本研究强调了在基于 NPPC 的椎间盘退变治疗中考虑年龄相关因素的重要性。进一步研究老年供体 Tie2 NP 细胞的遗传和表观遗传改变对于完善再生策略至关重要。这些发现表明 Tie2 NPPCs 是一种有前途的椎间盘再生细胞来源,同时强调了在更广泛的临床应用中需要全面理解和考虑培养方法的可扩展性。

https://cdn.ncbi.nlm.nih.gov/pmc/blobs/e473/11312270/d8619993c3de/ijms-25-08335-g001.jpg

文献AI研究员

20分钟写一篇综述,助力文献阅读效率提升50倍。

立即体验

用中文搜PubMed

大模型驱动的PubMed中文搜索引擎

马上搜索

文档翻译

学术文献翻译模型,支持多种主流文档格式。

立即体验