Suppr超能文献

I类组蛋白去乙酰化酶抑制以BRD4和MYC依赖的方式促进胰腺癌细胞中的上皮基因表达。

Histone deacetylase class-I inhibition promotes epithelial gene expression in pancreatic cancer cells in a BRD4- and MYC-dependent manner.

作者信息

Mishra Vivek Kumar, Wegwitz Florian, Kosinsky Robyn Laura, Sen Madhobi, Baumgartner Roland, Wulff Tanja, Siveke Jens T, Schildhaus Hans-Ulrich, Najafova Zeynab, Kari Vijayalakshmi, Kohlhof Hella, Hessmann Elisabeth, Johnsen Steven A

机构信息

Department of General, Visceral and Pediatric Surgery, Göttingen Center for Molecular Biosciences, University Medical Center Göttingen, Justus-von-Liebig-Weg 11, 37077 Göttingen, Germany.

4SC AG, Am Klopferspitz 19a, 82152 Planegg-Martinsried, Germany.

出版信息

Nucleic Acids Res. 2017 Jun 20;45(11):6334-6349. doi: 10.1093/nar/gkx212.

Abstract

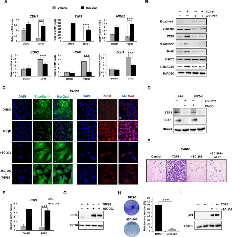
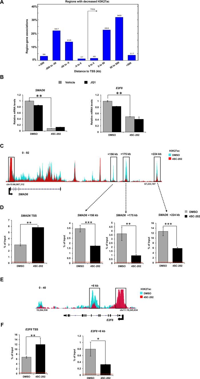
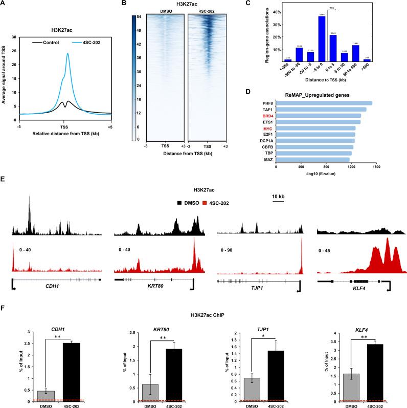
Pancreatic ductal adenocarcinoma (PDAC) is a highly aggressive cancer with a particularly dismal prognosis. Histone deacetylases (HDAC) are epigenetic modulators whose activity is frequently deregulated in various cancers including PDAC. In particular, class-I HDACs (HDAC 1, 2, 3 and 8) have been shown to play an important role in PDAC. In this study, we investigated the effects of the class I-specific HDAC inhibitor (HDACi) 4SC-202 in multiple PDAC cell lines in promoting tumor cell differentiation. We show that 4SC-202 negatively affects TGFβ signaling and inhibits TGFβ-induced epithelial-to-mesenchymal transition (EMT). Moreover, 4SC-202 markedly induced p21 (CDKN1A) expression and significantly attenuated cell proliferation. Mechanistically, genome-wide studies revealed that 4SC-202-induced genes were enriched for Bromodomain-containing Protein-4 (BRD4) and MYC occupancy. BRD4, a well-characterized acetyllysine reader, has been shown to play a major role in regulating transcription of selected subsets of genes. Importantly, BRD4 and MYC are essential for the expression of a subgroup of genes induced by class-I HDACi. Taken together, our study uncovers a previously unknown role of BRD4 and MYC in eliciting the HDACi-mediated induction of a subset of genes and provides molecular insight into the mechanisms of HDACi action in PDAC.

摘要

胰腺导管腺癌(PDAC)是一种侵袭性很强的癌症,预后特别差。组蛋白去乙酰化酶(HDAC)是表观遗传调节剂,其活性在包括PDAC在内的各种癌症中经常失调。特别是,I类HDAC(HDAC 1、2、3和8)已被证明在PDAC中起重要作用。在本研究中,我们研究了I类特异性HDAC抑制剂(HDACi)4SC-202在多种PDAC细胞系中对促进肿瘤细胞分化的影响。我们发现4SC-202对TGFβ信号传导产生负面影响,并抑制TGFβ诱导的上皮-间质转化(EMT)。此外,4SC-202显著诱导p21(CDKN1A)表达,并显著减弱细胞增殖。从机制上讲,全基因组研究表明,4SC-202诱导的基因富含含溴结构域蛋白-4(BRD4)和MYC占据。BRD4是一种特征明确的乙酰赖氨酸阅读器已被证明在调节特定基因子集的转录中起主要作用。重要的是,BRD4和MYC对于I类HDACi诱导的一组基因的表达至关重要。综上所述,我们的研究揭示了BRD4和MYC在引发HDACi介导的一组基因诱导中的先前未知作用,并为HDACi在PDAC中的作用机制提供了分子见解。

https://cdn.ncbi.nlm.nih.gov/pmc/blobs/37aa/5499659/aa41cd190a12/gkx212fig1.jpg

文献AI研究员

20分钟写一篇综述,助力文献阅读效率提升50倍。

立即体验

用中文搜PubMed

大模型驱动的PubMed中文搜索引擎

马上搜索

文档翻译

学术文献翻译模型,支持多种主流文档格式。

立即体验