Suppr超能文献

组蛋白去乙酰化酶 I 抑制剂地西他滨通过靶向 FOXM1 调节肿瘤干细胞亚群增强胰腺癌对化疗的敏感性。

HDAC class I inhibitor domatinostat sensitizes pancreatic cancer to chemotherapy by targeting cancer stem cell compartment via FOXM1 modulation.

机构信息

Experimental Pharmacology Unit-Laboratory of Naples and Mercogliano (AV), Istituto Nazionale per lo Studio e la Cura dei Tumori "Fondazione G. Pascale" - IRCCS, Naples, Italy.

Neoplastic Progression Unit, Istituto Nazionale per lo Studio e la Cura dei Tumori "Fondazione G. Pascale" - IRCCS, Naples, Italy.

出版信息

J Exp Clin Cancer Res. 2022 Mar 3;41(1):83. doi: 10.1186/s13046-022-02295-4.

Abstract

BACKGROUND

Pancreatic ductal adenocarcinoma (PDAC) represents an unmet clinical need due to the very poor prognosis and the lack of effective therapy. Here we investigated the potential of domatinostat (4SC-202), a new class I histone deacetylase (HDAC) inhibitor, currently in clinical development, to sensitize PDAC to first line standard gemcitabine (G)/taxol (T) doublet chemotherapy treatment.

METHODS

Synergistic anti-tumor effect of the combined treatment was assessed in PANC1, ASPC1 and PANC28 PDAC cell lines in vitro as well as on tumor spheroids and microtissues, by evaluating combination index (CI), apoptosis, clonogenic capability. The data were confirmed in vivo xenograft models of PANC28 and PANC1 cells in athymic mice. Cancer stem cells (CSC) targeting was studied by mRNA and protein expression of CSC markers, by limiting dilution assay, and by flow cytometric and immunofluorescent evaluation of CSC mitochondrial and cellular oxidative stress. Mechanistic role of forkhead box M1 (FOXM1) and downstream targets was evaluated in FOXM1-overexpressing PDAC cells.

RESULTS

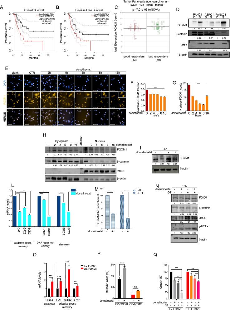
We showed that domatinostat sensitized in vitro and in vivo models of PDAC to chemotherapeutics commonly used in PDAC patients management and particularly to GT doublet, by targeting CSC compartment through the induction of mitochondrial and cellular oxidative stress. Mechanistically, we showed that domatinostat hampers the expression and function of FOXM1, a transcription factor playing a crucial role in stemness, oxidative stress modulation and DNA repair. Domatinostat reduced FOXM1 protein levels by downregulating mRNA expression and inducing proteasome-mediated protein degradation thus preventing nuclear translocation correlated with a reduction of FOXM1 target genes. Furthermore, by overexpressing FOXM1 in PDAC cells we significantly reduced domatinostat-inducing oxidative mitochondrial and cellular stress and abolished GT sensitization, both in adherent and spheroid cells, confirming FOXM1 crucial role in the mechanisms described. Finally, we found a correlation of FOXM1 expression with poor progression free survival in PDAC chemotherapy-treated patients.

CONCLUSIONS

Overall, we suggest a novel therapeutic strategy based on domatinostat to improve efficacy and to overcome resistance of commonly used chemotherapeutics in PDAC that warrant further clinical evaluation.

摘要

背景

胰腺导管腺癌(PDAC)由于预后极差和缺乏有效治疗方法,因此存在未满足的临床需求。在这里,我们研究了新型 I 类组蛋白去乙酰化酶(HDAC)抑制剂domatinostat(4SC-202)的潜力,该抑制剂目前处于临床开发阶段,可使 PDAC 对一线标准吉西他滨(G)/紫杉醇(T)联合化疗治疗敏感。

方法

在体外通过评估组合指数(CI)、细胞凋亡、集落形成能力,在 PANC1、ASPC1 和 PANC28 PDAC 细胞系以及肿瘤球体和微组织中评估联合治疗的协同抗肿瘤作用。在无胸腺小鼠的 PANC28 和 PANC1 细胞异种移植模型中证实了这些数据。通过 CSC 标志物的 mRNA 和蛋白质表达、有限稀释测定、CSC 线粒体和细胞氧化应激的流式细胞术和免疫荧光评估,研究了癌症干细胞(CSC)靶向。在过表达 FOXM1 的 PDAC 细胞中评估了叉头框 M1(FOXM1)和下游靶标的机制作用。

结果

我们表明,domatinostat 通过诱导线粒体和细胞氧化应激,使 PDAC 的体外和体内模型对 PDAC 患者管理中常用的化疗药物(特别是 GT 联合)敏感,靶向 CSC 区室。在机制上,我们表明 domatinostat 通过下调 mRNA 表达和诱导蛋白酶体介导的蛋白质降解来阻碍 FOXM1 的表达和功能,FOXM1 是一种在干性、氧化应激调节和 DNA 修复中起关键作用的转录因子。domatinostat 通过下调 mRNA 表达和诱导蛋白酶体介导的蛋白质降解来降低 FOXM1 蛋白水平,从而阻止与 FOXM1 靶基因减少相关的核易位。此外,通过在 PDAC 细胞中转染 FOXM1,我们显著降低了 domatinostat 诱导的氧化线粒体和细胞应激,并在贴壁细胞和球体细胞中消除了 GT 的敏感性,证实了 FOXM1 在所述机制中起关键作用。最后,我们发现 FOXM1 表达与 PDAC 化疗治疗患者的无进展生存期不良相关。

结论

总体而言,我们提出了一种基于 domatinostat 的新的治疗策略,以提高疗效并克服 PDAC 中常用化疗药物的耐药性,这需要进一步的临床评估。

https://cdn.ncbi.nlm.nih.gov/pmc/blobs/b5fb/8892808/e92aae9a5dd0/13046_2022_2295_Fig1_HTML.jpg

文献AI研究员

20分钟写一篇综述,助力文献阅读效率提升50倍。

立即体验

用中文搜PubMed

大模型驱动的PubMed中文搜索引擎

马上搜索

文档翻译

学术文献翻译模型,支持多种主流文档格式。

立即体验