Suppr超能文献

类卵泡抑素蛋白1通过与丝裂原活化蛋白激酶(MAPK)和核因子κB(NFκB)信号通路相互作用,促进髓核细胞中的炎症反应。

Follistatin-like protein 1 promotes inflammatory reactions in nucleus pulposus cells by interacting with the MAPK and NFκB signaling pathways.

作者信息

Liu Yi, Wei Jianlu, Zhao Yunpeng, Zhang Yuanqiang, Han Yingguang, Chen Bin, Cheng Kaiyuan, Jia Jialin, Nie Lin, Cheng Lei

机构信息

Department of Orthopedics, Qilu Hospital of Shandong University, Jinan, China.

Department of Orthopedics, Affiliated Hospital of Shandong Academy of Medical Sciences, Jinan, China.

出版信息

Oncotarget. 2017 Jun 27;8(26):43023-43034. doi: 10.18632/oncotarget.17400.

Abstract

OBJECTIVE

Follistatin-like protein 1 (FSTL1) is a well-known mediator of inflammation. Intervertebral disc disease is an inflammatory disorder. Here, we investigated the role of FSTL1 in the intervertebral discs inflammation.

METHODS

Expression of FSTL1 in nucleus pulposus tissues from rats and human was determined by immunohistochemistry staining and western blot analysis. The expression levels of tumor necrosis factor-α (TNF-α), interleukin1-β (IL-1β) and matrix metalloproteinase 13 (MMP-13) in human and rat nucleus pulposus tissues were measured by immunohistochemistry staining. The mitogen-activated protein kinase (MAPK) and nuclear factor-kappa B (NFκB) signaling pathways were detected by western blotting.

RESULTS

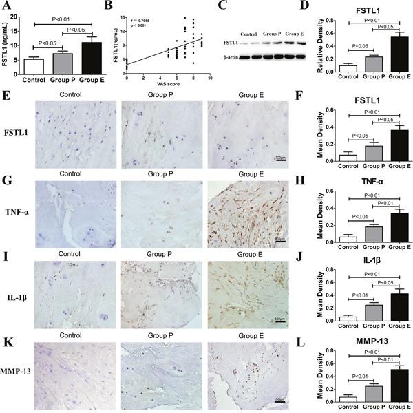
FSTL1 serum levels were significantly increased in lumbar disc herniation patients and had a positive correlation with Visual Analogue Scores. Additionally, FSTL1 expression was significantly increased in extrusion group compared with protrusion and control groups. Furthermore, FSTL1 expression was significantly increased in intervertebral disc degeneration models of rats. Immunohistochemistry staining demonstrated that the levels of TNF-α, IL-1β and MMP-13 were increased in the pathogenesis of intervertebral disc disease. Recombinant human FSTL1 significantly increased the production of proinflammatory cytokines in vitro. In addition, FSTL1 promoted inflammation by activating c-Jun N-terminal kinase (JNK), extracellular regulated protein kinases 1/2(ERK1/2) and NFκB signaling.

CONCLUSIONS

These data imply that FSTL1 expression was increased in the pathogenesis of intervertebral disc disease. Importantly, FSTL1 promoted inflammatory catabolism in the nucleus pulposus by activating JNK, ERK 1/2/MAPK and NFκB signaling.

摘要

目的

卵泡抑素样蛋白1(FSTL1)是一种著名的炎症介质。椎间盘疾病是一种炎症性疾病。在此,我们研究了FSTL1在椎间盘炎症中的作用。

方法

通过免疫组织化学染色和蛋白质印迹分析确定FSTL1在大鼠和人类髓核组织中的表达。通过免疫组织化学染色测量人类和大鼠髓核组织中肿瘤坏死因子-α(TNF-α)、白细胞介素1-β(IL-1β)和基质金属蛋白酶13(MMP-13)的表达水平。通过蛋白质印迹检测丝裂原活化蛋白激酶(MAPK)和核因子-κB(NFκB)信号通路。

结果

腰椎间盘突出症患者的FSTL1血清水平显著升高,且与视觉模拟评分呈正相关。此外,与突出组和对照组相比,脱出组的FSTL1表达显著增加。此外,FSTL1在大鼠椎间盘退变模型中的表达也显著增加。免疫组织化学染色表明,在椎间盘疾病的发病过程中,TNF-α、IL-1β和MMP-13的水平升高。重组人FSTL1在体外显著增加促炎细胞因子的产生。此外,FSTL1通过激活c-Jun氨基末端激酶(JNK)、细胞外调节蛋白激酶1/2(ERK1/2)和NFκB信号促进炎症。

结论

这些数据表明FSTL1在椎间盘疾病的发病过程中表达增加。重要的是,FSTL1通过激活JNK、ERK 1/2/MAPK和NFκB信号促进髓核中的炎症分解代谢。

https://cdn.ncbi.nlm.nih.gov/pmc/blobs/8155/5522124/915e9fb3137c/oncotarget-08-43023-g001.jpg

文献AI研究员

20分钟写一篇综述,助力文献阅读效率提升50倍。

立即体验

用中文搜PubMed

大模型驱动的PubMed中文搜索引擎

马上搜索

文档翻译

学术文献翻译模型,支持多种主流文档格式。

立即体验