Suppr超能文献

AKT 过度激活可通过 p70S6 激酶依赖性下调 MRE11 来抑制 DNA 修复。

AKT overactivation can suppress DNA repair via p70S6 kinase-dependent downregulation of MRE11.

机构信息

Beatson Institute for Cancer Research, Garscube Estate, Glasgow, UK.

Centre for Gene Regulation and Expression, School of Life Sciences, University of Dundee, Dundee, UK.

出版信息

Oncogene. 2018 Jan 25;37(4):427-438. doi: 10.1038/onc.2017.340. Epub 2017 Oct 2.

Abstract

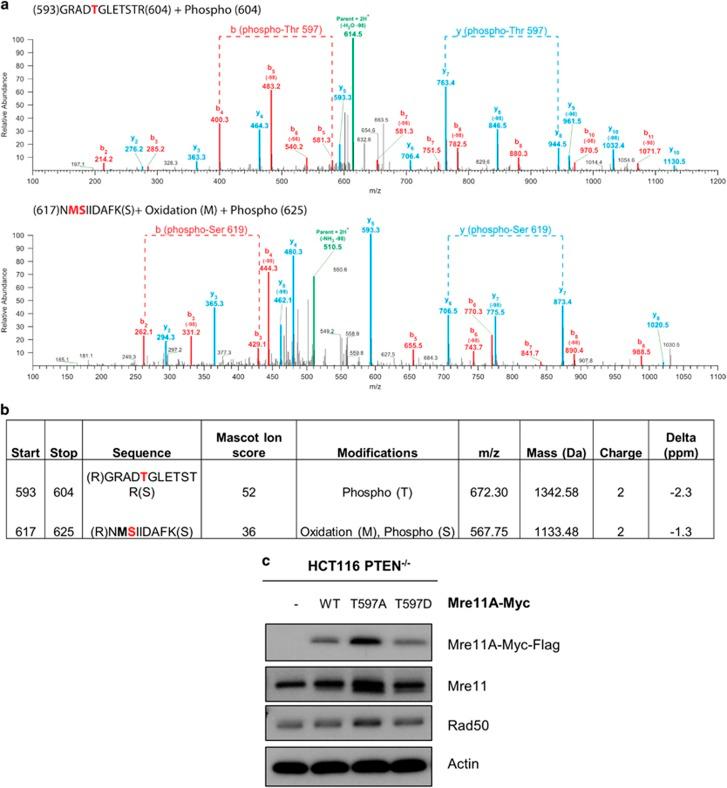
Deregulated AKT kinase activity due to PTEN deficiency in cancer cells contributes to oncogenesis by incompletely understood mechanisms. Here, we show that PTEN deletion in HCT116 and DLD1 colon carcinoma cells leads to suppression of CHK1 and CHK2 activation in response to irradiation, impaired G2 checkpoint proficiency and radiosensitization. These defects are associated with reduced expression of MRE11, RAD50 and NBS1, components of the apical MRE11/RAD50/NBS1 (MRN) DNA damage response complex. Consistent with reduced MRN complex function, PTEN-deficient cells fail to resect DNA double-strand breaks efficiently after irradiation and show greatly diminished proficiency for DNA repair via the error-free homologous recombination (HR) repair pathway. MRE11 is highly unstable in PTEN-deficient cells but stability can be significantly restored by inhibiting mTORC1 or p70S6 kinase (p70S6K), downstream kinases whose activities are stimulated by AKT, or by mutating a residue in MRE11 that we show is phosphorylated by p70S6K in vitro. In primary human fibroblasts, activated AKT suppresses MRN complex expression to escalate RAS-induced DNA damage and thereby reinforce oncogene-induced senescence. Taken together, our data demonstrate that deregulation of the PI3K-AKT/ mTORC1/ p70S6K pathways, an event frequently observed in cancer, exert profound effects on genome stability via MRE11 with potential implications for tumour initiation and therapy.

摘要

由于癌细胞中 PTEN 的缺失导致 AKT 激酶活性失调,通过尚未完全了解的机制促进肿瘤发生。在这里,我们表明,HCT116 和 DLD1 结肠癌细胞中 PTEN 的缺失导致照射后 CHK1 和 CHK2 激活受到抑制、G2 检查点功能受损和放射增敏。这些缺陷与 MRE11、RAD50 和 NBS1 的表达减少有关,MRE11、RAD50 和 NBS1(MRN)是顶端 DNA 损伤反应复合物的组成部分。与 MRN 复合物功能降低一致,PTEN 缺失细胞在照射后不能有效地切除 DNA 双链断裂,并且通过无错误同源重组 (HR) 修复途径进行 DNA 修复的效率大大降低。MRE11 在 PTEN 缺失细胞中高度不稳定,但通过抑制 mTORC1 或 p70S6 激酶 (p70S6K)、AKT 刺激的下游激酶,或通过突变我们体外显示由 p70S6K 磷酸化的 MRE11 中的一个残基,可以显著恢复其稳定性。在原代人成纤维细胞中,激活的 AKT 抑制 MRN 复合物的表达,以加剧 RAS 诱导的 DNA 损伤,从而加强癌基因诱导的衰老。总之,我们的数据表明,PI3K-AKT/mTORC1/p70S6K 通路的失调,在癌症中经常观察到的事件,通过 MRE11 对基因组稳定性产生深远影响,这可能对肿瘤起始和治疗具有重要意义。

https://cdn.ncbi.nlm.nih.gov/pmc/blobs/c7ff/5799716/4f5385d22f02/onc2017340f1.jpg

文献AI研究员

20分钟写一篇综述,助力文献阅读效率提升50倍。

立即体验

用中文搜PubMed

大模型驱动的PubMed中文搜索引擎

马上搜索

文档翻译

学术文献翻译模型,支持多种主流文档格式。

立即体验