Suppr超能文献

杀细胞毒素 AIP56 由杀鱼巴斯德氏菌亚种经 II 型分泌系统分泌。

The Apoptogenic Toxin AIP56 Is Secreted by the Type II Secretion System of Photobacterium damselae subsp. piscicida.

机构信息

Fish Immunology and Vaccinology Group, IBMC-Instituto de Biologia Molecular e Celular, Universidade do Porto, 4200-135 Porto, Portugal.

i3S-Instituto de Investigação e Inovação em Saúde, Universidade do Porto, 4200-235 Porto, Portugal.

出版信息

Toxins (Basel). 2017 Nov 14;9(11):368. doi: 10.3390/toxins9110368.

Abstract

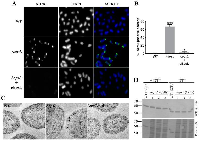
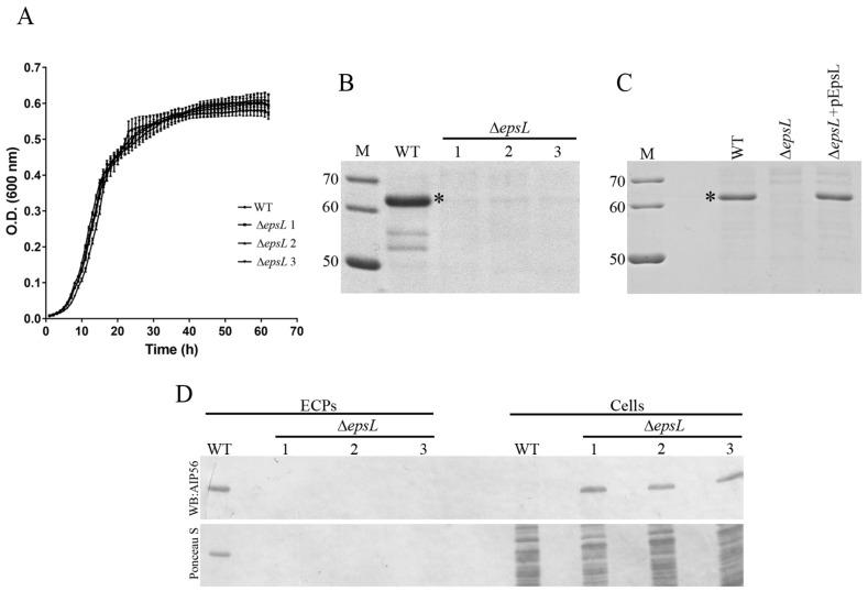
AIP56 (apoptosis-inducing protein of 56 kDa) is a key virulence factor of subsp. the causative agent of a septicaemia affecting warm water marine fish species. -associated pathology is triggered by AIP56, a short trip AB toxin with a metalloprotease A domain that cleaves the p65 subunit of NF-κB, an evolutionarily conserved transcription factor that regulates the expression of inflammatory and anti-apoptotic genes and plays a central role in host responses to infection. During infection by , AIP56 is systemically disseminated and induces apoptosis of macrophages and neutrophils, compromising the host phagocytic defence and contributing to the genesis of pathology. Although it is well established that the secretion of AIP56 is crucial for pathogenicity, the protein secretion systems operating in and the mechanism responsible for the extracellular release of the toxin remain unknown. Here, we report that encodes a type II secretion system (T2SS) and show that mutation of the EpsL component of this system impairs AIP56 secretion. This work demonstrates that has a functional T2SS that mediates secretion of its key virulence factor AIP56.

摘要

AIP56(凋亡诱导蛋白 56kDa)是 亚种的一个关键毒力因子,是引起影响温水海洋鱼类败血症的病原体。与相关的病理学是由 AIP56 触发的,AIP56 是一种短的 AB 毒素,具有金属蛋白酶 A 结构域,可切割 NF-κB 的 p65 亚基,NF-κB 是一种进化上保守的转录因子,可调节炎症和抗凋亡基因的表达,并在宿主对感染的反应中发挥核心作用。在感染 时,AIP56 会在全身扩散,并诱导巨噬细胞和中性粒细胞凋亡,损害宿主的吞噬防御能力,并导致病理学的发生。尽管已经证实 AIP56 的分泌对于 的致病性至关重要,但 中起作用的蛋白分泌系统以及毒素的细胞外释放机制仍不清楚。在这里,我们报告 编码一种 II 型分泌系统(T2SS),并表明该系统的 EpsL 成分的突变会损害 AIP56 的分泌。这项工作表明 具有功能性的 T2SS,可介导其关键毒力因子 AIP56 的分泌。

https://cdn.ncbi.nlm.nih.gov/pmc/blobs/aa3e/5705983/dc76d017a11d/toxins-09-00368-g001.jpg

文献AI研究员

20分钟写一篇综述,助力文献阅读效率提升50倍。

立即体验

用中文搜PubMed

大模型驱动的PubMed中文搜索引擎

马上搜索

文档翻译

学术文献翻译模型,支持多种主流文档格式。

立即体验