Suppr超能文献

卵形鲳鲹()对 AB 型毒素 AIP56 的易感性,该毒素由 亚种分泌。

Susceptibility of Sea Bream () to AIP56, an AB-Type Toxin Secreted by subsp. .

机构信息

Fish Immunology and Vaccinology Group, IBMC-Instituto de Biologia Molecular e Celular, Universidade do Porto, 4200-135 Porto, Portugal.

Fish Immunology and Vaccinology Group, i3S-Instituto de Investigação e Inovação em Saúde, Universidade do Porto, 4200-135 Porto, Portugal.

出版信息

Toxins (Basel). 2022 Feb 5;14(2):119. doi: 10.3390/toxins14020119.

Abstract

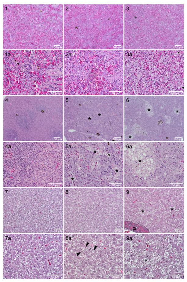
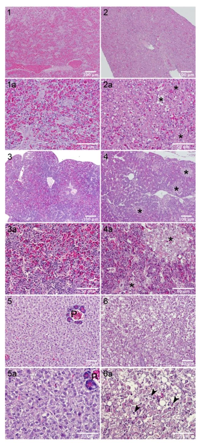
subsp. () is a Gram-negative bacterium that infects a large number of marine fish species in Europe, Asia, and America, both in aquacultures and in the natural environment. Among the affected hosts are economically important cultured fish, such as sea bream (), sea bass (), yellowtail (), and cobia (). The best characterized virulence factor of is the Apoptosis-Inducing Protein of 56 kDa (AIP56), a secreted AB-type toxin that has been shown to induce apoptosis of sea bass phagocytes during infection. AIP56 has an A subunit that displays metalloprotease activity against NF-kB p65 and a B subunit that mediates binding and internalization of the A subunit in susceptible cells. Despite the fact that the gene is highly prevalent in isolates from different fish species, the toxicity of AIP56 has only been studied in sea bass. In the present study, the toxicity of AIP56 for sea bream was evaluated. Ex vivo assays showed that sea bream phagocytes are resistant to AIP56 cytotoxicity and that resistance was associated with an inefficient internalization of the toxin by those cells. Accordingly, in vivo intoxication assays revealed that sea bream is much more resistant to AIP56-induced lethality than sea bass. These findings, showing that the effect of AIP56 is different in sea bass and sea bream, set the basis for future studies to characterize the effects of AIP56 and to fully elucidate its virulence role in different susceptible hosts.

摘要

()亚种是一种革兰氏阴性细菌,可感染欧洲、亚洲和美洲的大量海水鱼品种,无论是在水产养殖环境中还是在自然环境中。受感染的宿主包括经济上重要的养殖鱼类,如真鲷()、鲈鱼()、黄尾()和军曹鱼()。 特征最明显的毒力因子是 56 kDa 凋亡诱导蛋白(AIP56),这是一种分泌的 AB 型毒素,已被证明可在感染期间诱导鲈鱼吞噬细胞凋亡。AIP56 的 A 亚基具有针对 NF-kB p65 的金属蛋白酶活性,B 亚基介导 A 亚基在易感细胞中的结合和内化。尽管 基因在来自不同鱼类物种的 分离株中高度普遍存在,但 AIP56 的毒性仅在鲈鱼中进行了研究。在本研究中,评估了 AIP56 对真鲷的毒性。离体试验表明,真鲷吞噬细胞对 AIP56 的细胞毒性具有抗性,并且这种抗性与细胞对毒素的内化效率低下有关。因此,体内中毒试验表明,真鲷对 AIP56 诱导的致死性比鲈鱼更具抗性。这些发现表明,AIP56 在鲈鱼和真鲷中的作用不同,为进一步研究 AIP56 的作用以及充分阐明其在不同 易感宿主中的毒力作用奠定了基础。

https://cdn.ncbi.nlm.nih.gov/pmc/blobs/7ebc/8875918/c80291743816/toxins-14-00119-g001.jpg

文献AI研究员

20分钟写一篇综述,助力文献阅读效率提升50倍。

立即体验

用中文搜PubMed

大模型驱动的PubMed中文搜索引擎

马上搜索

文档翻译

学术文献翻译模型,支持多种主流文档格式。

立即体验