Suppr超能文献

MIC-1 在 PSA 时代作为基于血清的前列腺癌预测因子的相关性:批判性评价。

Relevance of MIC-1 in the Era of PSA as a Serum Based Predictor of Prostate Cancer: A Critical Evaluation.

机构信息

Department of Urology, King George's Medical University, Lucknow, India.

Department of Biochemistry, Lucknow University, Lucknow, India.

出版信息

Sci Rep. 2017 Dec 4;7(1):16824. doi: 10.1038/s41598-017-17207-2.

Abstract

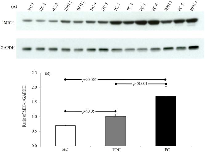
To reduce the ambiguity of contradictory observations in different studies regarding the expression level of Macrophage Inhibitory Cytokine-1 (MIC-1) in serum in prostate cancer (PC), benign prostatic hyperplasia (BPH) and healthy controls (HC), we designed this double-blind study. The study comprises 240 sera from PC, BPH and HC subjects. The expression level of MIC-1 in PC, BPH and HC were appraised using Western blot (WB) and ELISA based approach. WB and ELISA appraisal reveals that the expression level of MIC-1 is significantly higher in PC than in HC or BPH subjects. Regression analysis revealed a significant correlation between MIC-1 vs. PSA (r = 0.09; p < 0.001) and MIC-1 vs. GS (r = 0.7; p < 0.001). ROC analysis using discriminant predicted probability revealed that the MIC-1 was better than PSA. Moreover, the combination of MIC-1 and PSA was allowing 99.1% AUC for the differentiation of BPH + PC from HC, 97.9% AUC for differentiation of BPH from HC, 98.6% AUC for differentiation of PC from HC, and 96.7% AUC for the differentiation of PC from BPH. The augmented expression of MIC-1 in PC compared to BPH and HC subjects is in concurrent of the over-expression of MIC-1 in PC reports and confiscates the contradictory findings of other studies.

摘要

为了减少不同研究中关于前列腺癌 (PC)、良性前列腺增生 (BPH) 和健康对照组 (HC) 患者血清中巨噬细胞抑制因子-1 (MIC-1) 表达水平的矛盾观察结果的歧义,我们设计了这项双盲研究。该研究包含了 240 例来自 PC、BPH 和 HC 受试者的血清。采用 Western blot (WB) 和 ELISA 方法评估 MIC-1 在 PC、BPH 和 HC 中的表达水平。WB 和 ELISA 评估表明,MIC-1 在 PC 中的表达水平明显高于 HC 或 BPH 受试者。回归分析显示 MIC-1 与 PSA 之间存在显著相关性 (r = 0.09; p < 0.001),MIC-1 与 GS 之间存在显著相关性 (r = 0.7; p < 0.001)。使用判别预测概率的 ROC 分析表明,MIC-1 优于 PSA。此外,MIC-1 和 PSA 的组合可以使 BPH+PC 与 HC 之间的区分具有 99.1%的 AUC,BPH 与 HC 之间的区分具有 97.9%的 AUC,PC 与 HC 之间的区分具有 98.6%的 AUC,PC 与 BPH 之间的区分具有 96.7%的 AUC。与 BPH 和 HC 受试者相比,PC 中 MIC-1 的表达增加与 MIC-1 在 PC 中的过表达一致,并驳斥了其他研究的矛盾结果。

https://cdn.ncbi.nlm.nih.gov/pmc/blobs/295e/5715056/6c8ef7704e70/41598_2017_17207_Fig1_HTML.jpg

文献AI研究员

20分钟写一篇综述,助力文献阅读效率提升50倍。

立即体验

用中文搜PubMed

大模型驱动的PubMed中文搜索引擎

马上搜索

文档翻译

学术文献翻译模型,支持多种主流文档格式。

立即体验