Suppr超能文献

肿瘤内 PD-1 阳性淋巴细胞数量高可预测细胞因子诱导的杀伤细胞治疗肝癌患者的生存获益。

High number of PD-1 positive intratumoural lymphocytes predicts survival benefit of cytokine-induced killer cells for hepatocellular carcinoma patients.

机构信息

State Key Laboratory of Oncology in South China, Collaborative Innovation Center for Cancer Medicine, Sun Yat-sen University Cancer Center, Guangzhou, China.

Department of Medical Imaging and Interventional Radiology, Sun Yat-sen University Cancer Center, Guangzhou, China.

出版信息

Liver Int. 2018 Aug;38(8):1449-1458. doi: 10.1111/liv.13697. Epub 2018 Feb 13.

Abstract

BACKGROUND & AIMS: Adjuvant cytokine-induced killer (CIK) cells treatment has shown potential in reducing the recurrence rate and prolonging the survival of patients with hepatocellular carcinoma (HCC). We aimed to identify the best predictive biomarker for adjuvant CIK cells treatment in patients with HCC after curative resection.

METHODS

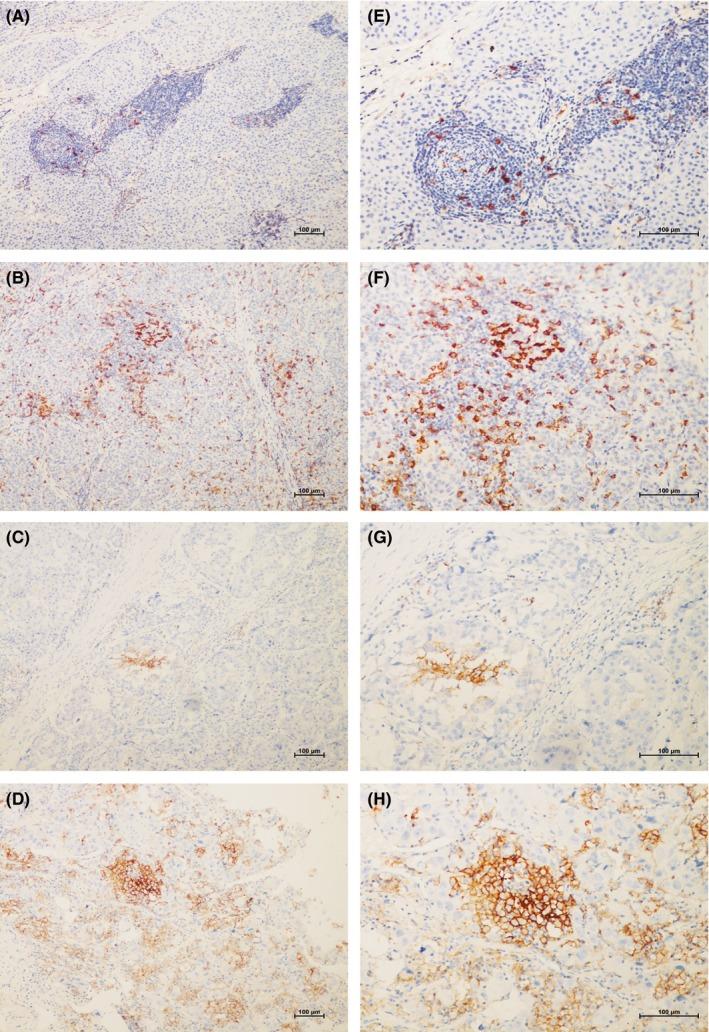
This study retrospectively included 145 pairs of HCC patients by one-to-one propensity score matching. One group received CIK cells transfusion after surgery (surgery-CIK group); the other one group underwent surgery only (surgery-only group). Immunohistochemistry (IHC) was used to measure PD-1, PD-L1, CD4, CD8 and Foxp3 expression in tumour tissues of surgery-CIK group; IHC of PD-1 and PD-L1 was conducted in the surgery-only group.

RESULTS

The surgery-CIK group had a significantly higher disease-free survival (DFS) and overall survival (OS) rates compared to the surgery-only group. Of all the intratumoural biomarkers, in the surgery-CIK group, multivariate analysis showed that a high number of PD-1 tumour infiltrative lymphocytes (TILs) was the only factor that independently predicted favourable OS and DFS. By contrast, in the surgery-only group, no significant correlations between PD-1/PD-L1 expression and survival of patients were identified. Further correlation analysis showed a high number of PD-1 TILs associated with a high number of both CD4 and CD8 TILs in surgery-CIK group.

CONCLUSIONS

A high number of PD-1 TILs can serve as a potent biomarker for adopting CIK cells therapy in HCC patients after curative resection.

摘要

背景与目的

细胞因子诱导的杀伤(CIK)细胞辅助治疗已显示出降低肝细胞癌(HCC)患者复发率和延长生存期的潜力。本研究旨在确定辅助 CIK 细胞治疗根治性切除术后 HCC 患者的最佳预测生物标志物。

方法

本研究通过 1:1 倾向评分匹配回顾性纳入了 145 对 HCC 患者。一组患者在手术后接受 CIK 细胞输注(手术-CIK 组);另一组仅接受手术(手术仅组)。免疫组织化学(IHC)用于测量手术-CIK 组肿瘤组织中 PD-1、PD-L1、CD4、CD8 和 Foxp3 的表达;手术仅组进行 PD-1 和 PD-L1 的 IHC。

结果

与手术仅组相比,手术-CIK 组的无病生存率(DFS)和总生存率(OS)明显更高。在所有肿瘤内生物标志物中,在手术-CIK 组中,多变量分析表明,高数量的 PD-1 肿瘤浸润淋巴细胞(TILs)是唯一独立预测有利 OS 和 DFS 的因素。相比之下,在手术仅组中,PD-1/PD-L1 表达与患者生存之间没有显著相关性。进一步的相关性分析表明,在手术-CIK 组中,高数量的 PD-1 TILs与高数量的 CD4 和 CD8 TILs相关。

结论

高数量的 PD-1 TILs 可以作为 HCC 患者根治性切除术后采用 CIK 细胞治疗的有效生物标志物。

https://cdn.ncbi.nlm.nih.gov/pmc/blobs/7b5a/6099434/d9a43c37b7a0/LIV-38-1449-g001.jpg

文献AI研究员

20分钟写一篇综述,助力文献阅读效率提升50倍。

立即体验

用中文搜PubMed

大模型驱动的PubMed中文搜索引擎

马上搜索

文档翻译

学术文献翻译模型,支持多种主流文档格式。

立即体验