Suppr超能文献

hPMSCs 对颗粒细胞凋亡和 AMH 表达的影响及其在卵巢早衰小鼠卵巢功能恢复中的作用。

Effects of hPMSCs on granulosa cell apoptosis and AMH expression and their role in the restoration of ovary function in premature ovarian failure mice.

机构信息

School of Basic Medical Sciences & Institute of Reproductive Diseases, Binzhou Medical University, Yantai, Shandong, 264003, China.

School of Basic Medical Sciences, Binzhou Medical University, Yantai, 264003, China.

出版信息

Stem Cell Res Ther. 2018 Jan 31;9(1):20. doi: 10.1186/s13287-017-0745-5.

Abstract

BACKGROUND

This study was performed to determine the effects of human placenta mesenchymal stem cell (hPMSC) transplantation on granulosa cell apoptosis and anti-Müllerian hormone (AMH) and follicle-stimulating hormone receptor (FSHR) expression in autoimmune drug-induced premature ovarian failure (POF) mice. The aim of this research is to investigate the mechanisms of hPMSCs on ovarian reserve capacity.

METHODS

The POF mice model was established by injection of zona pellucida 3 peptide (pZP3). hPMSC transplantation was conducted by intravenous injection into mice following pZP3 treatment. The follicle number was examined by histopathology. The serum levels of FSH, LH, E, AMH and anti-zona pellucida antibody (AzpAb) were measured by enzyme-linked immunosorbent assay. AMH and FSHR expression in the ovary was analyzed by immunohistochemistry and western blot analysis. Granulosa cell apoptosis of the ovaries was examined by In Situ Cell Death Detection Kit. Granulosa cells were isolated and treated with SiAmh interference and hPMSC supernatant to observe the effects of AMH expression on granulosa cell apoptosis in vitro.

RESULTS

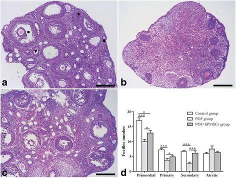
The results showed that hPMSC transplantation can significantly recover the estrus cycle in the POF group. Morphological staining showed that the basal follicles and sinus follicles after hPMSC transplantation were higher in POF mice than in those without treatment, and the follicle number was significantly decreased with atresia. The serum levels of FSH, LH and AzpAb in the hPMSC transplantation group were reduced considerably, but the E and AMH levels were significantly increased. After hPMSC transplantation, the AMH and FSHR expression in ovarian tissue was significantly higher than in the POF group as determined by immunochemistry and western blot analysis. The FSHR expression was shown in granulosa cells only, and FSHR expression increases with AMH expressed in the ovary; granulosa cell apoptosis was decreased following hPMSC transplantation. The same results were observed from the in-vitro study.

CONCLUSIONS

hPMSC transplantation can significantly improve the serum levels of high gonadotropin and low estrogen of POF mice, promote follicular development, inhibit excessive follicular atresia and granulosa cell apoptosis, and improve the ovarian reserve capacity. The mechanism may be achieved by increasing the expression of AMH and FSHR in ovaries.

摘要

背景

本研究旨在探讨人胎盘间充质干细胞(hPMSC)移植对自身免疫性药物诱导的早发性卵巢功能衰竭(POF)小鼠颗粒细胞凋亡及抗苗勒管激素(AMH)和卵泡刺激素受体(FSHR)表达的影响,以探讨 hPMSC 对卵巢储备功能的作用机制。

方法

采用透明带 3 肽(pZP3)注射建立 POF 小鼠模型,pZP3 处理后经静脉注射 hPMSC 进行移植。通过组织病理学检查观察卵泡数,采用酶联免疫吸附试验检测血清卵泡刺激素(FSH)、黄体生成素(LH)、雌二醇(E)、AMH 和抗透明带抗体(AzpAb)水平,采用免疫组化和 Western blot 分析检测卵巢中 AMH 和 FSHR 的表达,采用原位细胞死亡检测试剂盒检测卵巢颗粒细胞凋亡。分离卵巢颗粒细胞并分别用 SiAmh 干扰和 hPMSC 上清液处理,观察 AMH 表达对体外颗粒细胞凋亡的影响。

结果

结果显示,hPMSC 移植可显著恢复 POF 组动情周期。形态学染色显示,hPMSC 移植后 POF 小鼠的基础卵泡和窦卵泡较高,无治疗组的卵泡数明显减少且伴有闭锁。hPMSC 移植组血清 FSH、LH 和 AzpAb 水平明显降低,而 E 和 AMH 水平明显升高。免疫组化和 Western blot 分析显示,hPMSC 移植后卵巢组织中 AMH 和 FSHR 的表达明显高于 POF 组。FSHR 仅在颗粒细胞中表达,且随卵巢中 AMH 的表达而增加;hPMSC 移植后颗粒细胞凋亡减少。体外研究也得到了相同的结果。

结论

hPMSC 移植可显著改善 POF 小鼠高促性腺激素和低雌激素血症,促进卵泡发育,抑制过度卵泡闭锁和颗粒细胞凋亡,提高卵巢储备能力。其机制可能是通过增加卵巢中 AMH 和 FSHR 的表达来实现的。

https://cdn.ncbi.nlm.nih.gov/pmc/blobs/e660/5793353/9df15ed2a223/13287_2017_745_Fig1_HTML.jpg

文献AI研究员

20分钟写一篇综述,助力文献阅读效率提升50倍。

立即体验

用中文搜PubMed

大模型驱动的PubMed中文搜索引擎

马上搜索

文档翻译

学术文献翻译模型,支持多种主流文档格式。

立即体验