Suppr超能文献

脐带间充质干细胞移植通过 NGF/TrkA 通路预防大鼠化疗诱导的卵巢衰竭。

Umbilical Cord Mesenchymal Stem Cell Transplantation Prevents Chemotherapy-Induced Ovarian Failure via the NGF/TrkA Pathway in Rats.

机构信息

Center of Clinical Reproductive Medicine, Jinhua People's Hospital, Jinhua, Zhejiang Province, China.

Medical Molecular Biology Laboratory, Medical College, Jinhua Polytechnic, Jinhua, Zhejiang Province, China.

出版信息

Biomed Res Int. 2019 May 23;2019:6539294. doi: 10.1155/2019/6539294. eCollection 2019.

Abstract

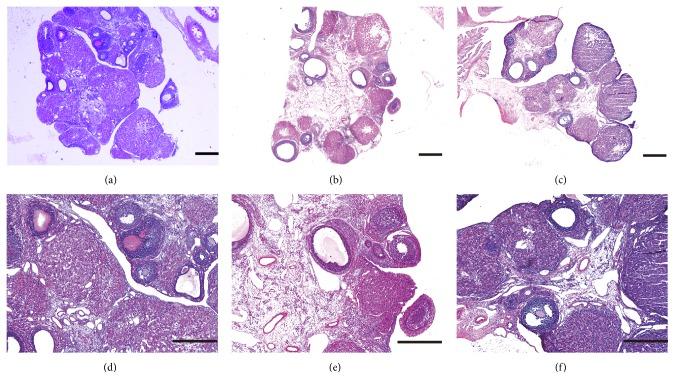
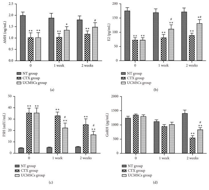
Chemotherapy leads to a loss of fertility and reproductive endocrine function, thereby increasing the risk of premature ovarian failure (POF). Studies have suggested that the transplantation of mesenchymal stem cells could inhibit apoptosis in ovarian granulosa cells and improve follicular development. In the present study, the effects of human umbilical cord mesenchymal stem cell (UCMSC) transplantation on ovarian function after ovarian damage caused by chemotherapy and the mechanism underlying these effects were investigated. POF model rats were obtained by the intraperitoneal injection of cyclophosphamide, and cultured UCMSCs were transplanted by tail vein injection. Serum estrogen, follicle-stimulating hormone, gonadotropin releasing hormone, and anti-Mullerian hormone levels were detected by ELISA. Folliculogenesis was evaluated by histopathological examination. The expression levels of nerve growth factor (NGF), high affinity nerve growth factor receptor (TrkA), follicle-stimulating hormone receptor (FSHR), and caspase-3 were evaluated by western blotting and RT-qPCR. The natural reproductive capacity was assessed by pregnant rate and numbers of embryos. The results indicated that UCMSC transplantation recovered disturbed hormone secretion and folliculogenesis in POF rats. NGF and TrkA levels increased, while FSHR and caspase-3 decreased. The pregnancy rate of POF rats was improved. Therefore, UCMSCs could reduce ovarian failure due to premature senescence caused by chemotherapy, and the NGF/TrkA signaling pathway was involved in the amelioration of POF.

摘要

化疗会导致生育能力和生殖内分泌功能丧失,从而增加卵巢早衰 (POF) 的风险。研究表明,间充质干细胞移植可以抑制卵巢颗粒细胞凋亡,改善卵泡发育。本研究探讨了人脐带间充质干细胞 (UCMSC) 移植对化疗引起的卵巢损伤后卵巢功能的影响及其作用机制。通过腹腔注射环磷酰胺建立 POF 模型大鼠,通过尾静脉注射培养的 UCMSCs 进行移植。采用 ELISA 法检测血清雌激素、卵泡刺激素、促性腺激素释放激素和抗苗勒管激素水平。通过组织病理学检查评估卵泡发生情况。采用 Western blot 和 RT-qPCR 检测神经生长因子 (NGF)、高亲和力神经生长因子受体 (TrkA)、卵泡刺激素受体 (FSHR) 和半胱天冬酶-3 的表达水平。通过妊娠率和胚胎数评估自然生殖能力。结果表明,UCMSC 移植可恢复 POF 大鼠紊乱的激素分泌和卵泡发生。NGF 和 TrkA 水平升高,而 FSHR 和 caspase-3 水平降低。POF 大鼠的妊娠率得到改善。因此,UCMSCs 可减少化疗引起的卵巢过早衰老导致的卵巢衰竭,NGF/TrkA 信号通路参与了 POF 的改善。

https://cdn.ncbi.nlm.nih.gov/pmc/blobs/38e2/6556346/3673882c0382/BMRI2019-6539294.001.jpg

文献AI研究员

20分钟写一篇综述,助力文献阅读效率提升50倍。

立即体验

用中文搜PubMed

大模型驱动的PubMed中文搜索引擎

马上搜索

文档翻译

学术文献翻译模型,支持多种主流文档格式。

立即体验