Suppr超能文献

STK17B 通过 AKT/GSK-3β/Snail 信号通路促进肝癌的发生发展和转移。

STK17B promotes carcinogenesis and metastasis via AKT/GSK-3β/Snail signaling in hepatocellular carcinoma.

机构信息

Department of Hepatic Surgery, The First Affiliated Hospital of Harbin Medical University, Key Laboratory of Hepatosplenic Surgery, Ministry of Education, Harbin, China.

Department of Gastrointestinal Medical Oncology, The Affiliated Tumor Hospital of Harbin Medical University, Harbin, China.

出版信息

Cell Death Dis. 2018 Feb 14;9(2):236. doi: 10.1038/s41419-018-0262-1.

Abstract

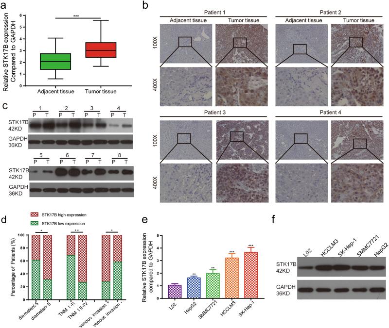
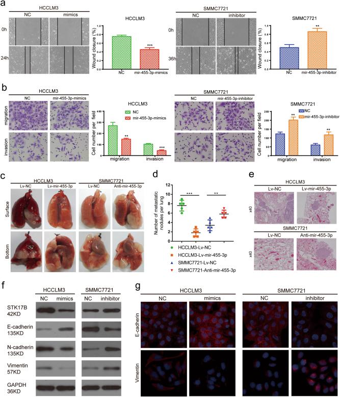
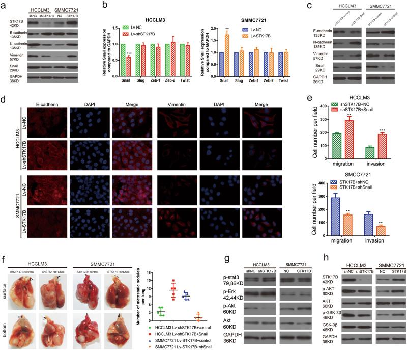
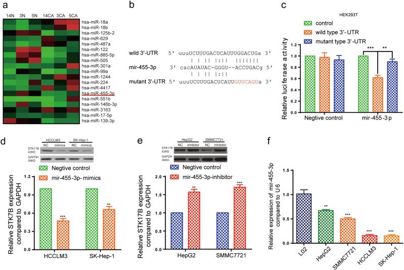
Hepatocellular carcinoma (HCC) is a lethal malignancy worldwide with frequent intrahepatic and distant metastasis. Elucidating the underlying molecular mechanism that modulates HCC progression is critical for exploring novel therapeutic strategies. Serine/Threonine Kinase 17B (STK17B) is upregulated in HCC tissues, but its role in HCC progression remains elusive. In the present studies, we reported that STK17B had a critical role in HCC progression. STK17B was significantly upregulated in HCC cell lines and specimens, and patients with ectopic STK17B expression characterized with poor clinicopathological features. In vitro and in vivo assay demonstrated that inhibition of STK17B markedly inhibits HCC tumorigenesis and metastasis, while STK17B overexpression promoted these processes. Furthermore, we found that STK17B promoted EMT process via activating AKT/GSK-3β/Snail signal pathway, and miR-455-3p was identified as the upstream regulator of STK17B. Combination of high level of STK17B and low level of miR-455-3p predicted poor prognosis with higher accuracy for HCC patients. In conclusion, our research demonstrated that STK17B promotes HCC progression, induces EMT process via activating AKT/GSK-3β/Snail signal and predicts poor prognosis in HCC.

摘要

肝细胞癌 (HCC) 是一种具有频繁肝内和远处转移特征的致命恶性肿瘤。阐明调控 HCC 进展的潜在分子机制对于探索新的治疗策略至关重要。丝氨酸/苏氨酸激酶 17B (STK17B) 在 HCC 组织中上调,但其在 HCC 进展中的作用仍不清楚。在本研究中,我们报道 STK17B 在 HCC 进展中具有关键作用。STK17B 在 HCC 细胞系和标本中显著上调,具有异位 STK17B 表达的患者具有较差的临床病理特征。体外和体内实验表明,抑制 STK17B 可显著抑制 HCC 的肿瘤发生和转移,而 STK17B 过表达则促进了这些过程。此外,我们发现 STK17B 通过激活 AKT/GSK-3β/Snail 信号通路促进 EMT 过程,并且 miR-455-3p 被鉴定为 STK17B 的上游调节物。高水平的 STK17B 和低水平的 miR-455-3p 的组合预测 HCC 患者的预后不良,具有更高的准确性。总之,我们的研究表明,STK17B 通过激活 AKT/GSK-3β/Snail 信号促进 HCC 进展,诱导 EMT 过程,并预测 HCC 的预后不良。

https://cdn.ncbi.nlm.nih.gov/pmc/blobs/1dcd/5833726/0bbb8ce75c95/41419_2018_262_Fig1_HTML.jpg

文献AI研究员

20分钟写一篇综述,助力文献阅读效率提升50倍。

立即体验

用中文搜PubMed

大模型驱动的PubMed中文搜索引擎

马上搜索

文档翻译

学术文献翻译模型,支持多种主流文档格式。

立即体验