Suppr超能文献

细胞程序性坏死促进促炎细胞因子基因表达的自主激活。

Necroptosis promotes cell-autonomous activation of proinflammatory cytokine gene expression.

机构信息

Interdisciplinary Research Center on Biology and Chemistry, Shanghai Institute of Organic Chemistry, Chinese Academy of Sciences, 26 Qiuyue Rd, PuDong District, 201203, Shanghai, China.

University of Chinese Academy of Sciences, 100049, Beijing, China.

出版信息

Cell Death Dis. 2018 May 1;9(5):500. doi: 10.1038/s41419-018-0524-y.

Abstract

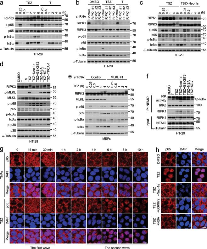
Necroptosis, a form of regulated necrotic cell death, is mediated by receptor interacting protein 1 (RIPK1), RIPK3, and mixed lineage kinase domain-like protein (MLKL). However, the mechanism by which necroptosis promotes inflammation is still unclear. Here we report that the expression of cytokines is robustly upregulated in a cell-autonomous manner during necroptosis induced by tumor necrosis factor alpha (TNFα). We demonstrate that TNFα-induced necroptosis leads to two waves of cytokine production. The first wave, more transient and weaker than the second, is in response to TNFα alone; whereas the second wave depends upon the necroptotic signaling. We show that necroptosis promotes the transcription of TNFα-target genes in a cell-intrinsic manner. The activation of both NF-κB and p38 by the necroptotic machinery, RIPK1, RIPK3, and MLKL, is involved in mediating the robust induction of cytokine expression in the second wave. In contrast, necroptosis induced by direct oligomerization of MLKL promotes cytokine production at much lower levels than that of necroptosis induced with TNFα. Thus, we conclude that TNFα-induced necroptosis signaling events mediated by RIPK1 and RIPK3 activation, in addition to the MLKL oligomerization, promotes the expression of cytokines involving multiple intracellular signaling mechanisms including NF-κB pathway and p38. These findings reveal that the necroptotic cell death machinery mounts an immune response by promoting cell-autonomous production of cytokines. Our study provides insights into the mechanism by which necroptosis promotes inflammation in human diseases.

摘要

细胞程序性坏死(Necroptosis)是一种受受体相互作用蛋白 1(RIPK1)、RIPK3 和混合谱系激酶结构域样蛋白(MLKL)调控的细胞坏死形式。然而,细胞程序性坏死促进炎症的机制尚不清楚。在这里,我们报告在肿瘤坏死因子-α(TNFα)诱导的细胞程序性坏死过程中,细胞自主方式强烈地上调细胞因子的表达。我们证明 TNFα 诱导的细胞程序性坏死导致细胞因子产生的两波。第一波比第二波更短暂且较弱,仅对 TNFα 有反应;而第二波则取决于细胞程序性坏死信号。我们表明细胞程序性坏死以细胞内在的方式促进 TNFα 靶基因的转录。坏死信号通路中的 RIPK1、RIPK3 和 MLKL 激活 both NF-κB 和 p38,参与介导第二波中细胞因子表达的强烈诱导。相比之下,通过 MLKL 的直接寡聚化诱导的细胞程序性坏死以比 TNFα 诱导的细胞程序性坏死低得多的水平促进细胞因子的产生。因此,我们得出结论,除了 MLKL 寡聚化外,RIPK1 和 RIPK3 激活介导的 TNFα 诱导的细胞程序性坏死信号事件,以及包括 NF-κB 途径和 p38 在内的多种细胞内信号机制,促进细胞因子的表达。这些发现表明细胞程序性坏死死亡机制通过促进细胞自主产生细胞因子来引发免疫反应。我们的研究为细胞程序性坏死促进人类疾病中炎症的机制提供了新的见解。

https://cdn.ncbi.nlm.nih.gov/pmc/blobs/8586/5923285/7fbe0a8552d2/41419_2018_524_Fig1_HTML.jpg

文献AI研究员

20分钟写一篇综述,助力文献阅读效率提升50倍。

立即体验

用中文搜PubMed

大模型驱动的PubMed中文搜索引擎

马上搜索

文档翻译

学术文献翻译模型,支持多种主流文档格式。

立即体验