Suppr超能文献

ANKRD16 可防止由编辑缺陷的 tRNA 合成酶引起的神经元丢失。

ANKRD16 prevents neuron loss caused by an editing-defective tRNA synthetase.

机构信息

The Skaggs Institute for Chemical Biology, Department of Molecular Medicine, Scripps Research Institute, La Jolla, CA, USA.

Howard Hughes Medical Institute, Department of Cellular and Molecular Medicine, School of Medicine, University of California San Diego, La Jolla, CA, USA.

出版信息

Nature. 2018 May;557(7706):510-515. doi: 10.1038/s41586-018-0137-8. Epub 2018 May 16.

Abstract

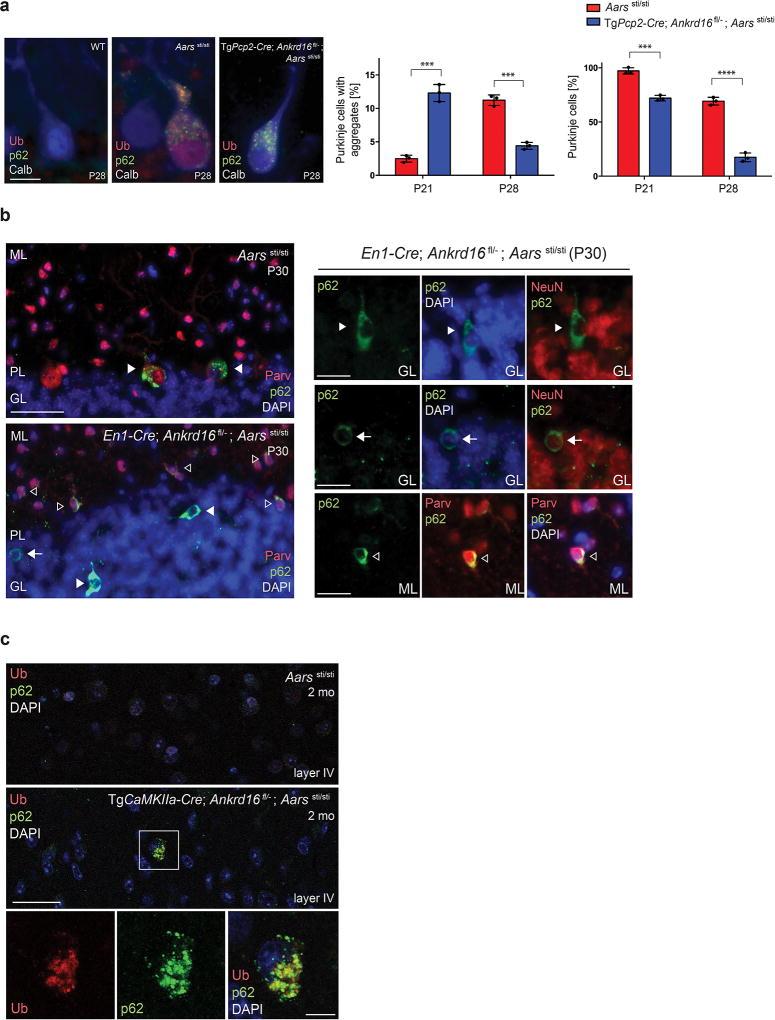
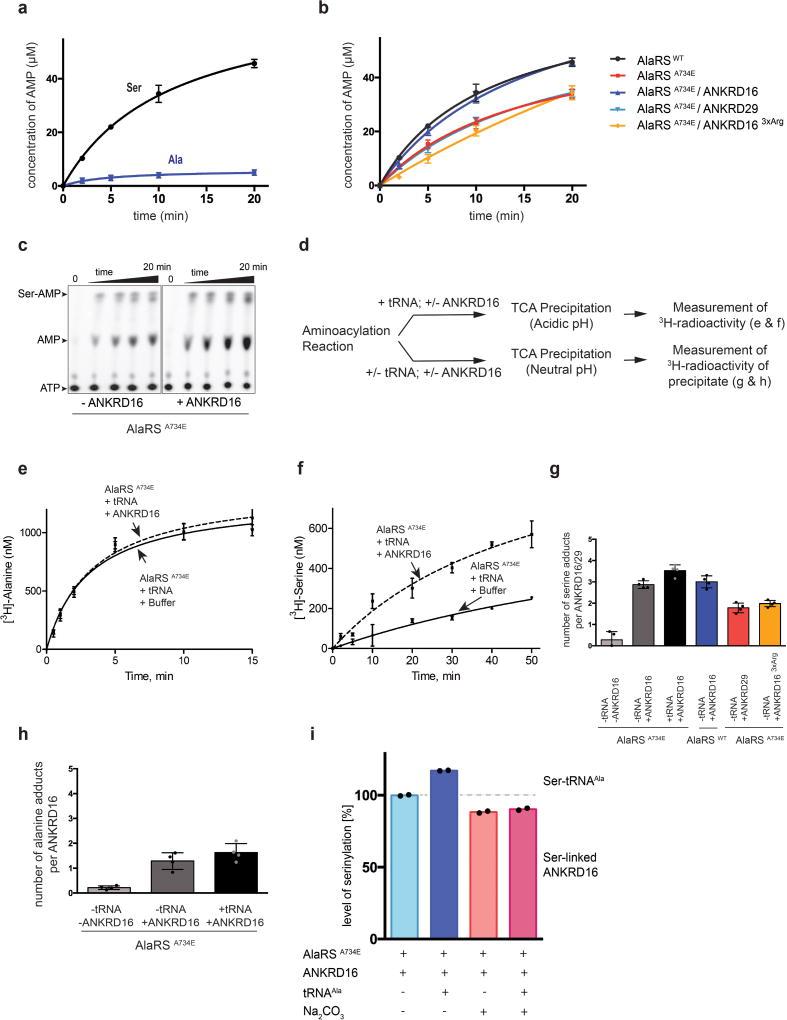
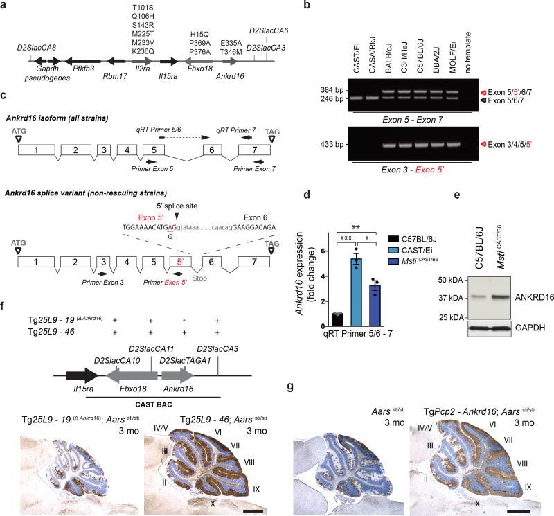
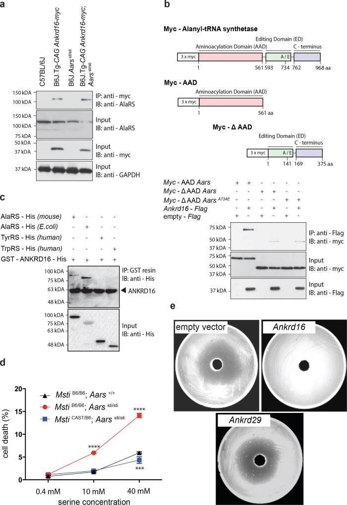
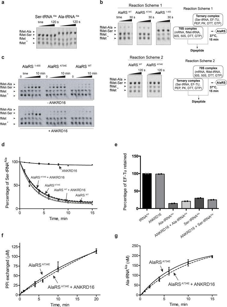
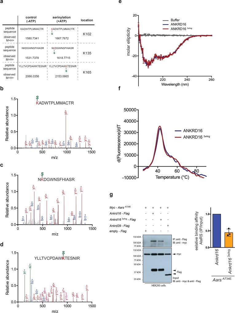
Editing domains of aminoacyl tRNA synthetases correct tRNA charging errors to maintain translational fidelity. A mutation in the editing domain of alanyl tRNA synthetase (AlaRS) in Aars mutant mice results in an increase in the production of serine-mischarged tRNA and the degeneration of cerebellar Purkinje cells. Here, using positional cloning, we identified Ankrd16, a gene that acts epistatically with the Aars mutation to attenuate neurodegeneration. ANKRD16, a vertebrate-specific protein that contains ankyrin repeats, binds directly to the catalytic domain of AlaRS. Serine that is misactivated by AlaRS is captured by the lysine side chains of ANKRD16, which prevents the charging of serine adenylates to tRNA and precludes serine misincorporation in nascent peptides. The deletion of Ankrd16 in the brains of Aars mice causes widespread protein aggregation and neuron loss. These results identify an amino-acid-accepting co-regulator of tRNA synthetase editing as a new layer of the machinery that is essential to the prevention of severe pathologies that arise from defects in editing.

摘要

氨酰-tRNA 合成酶的编辑结构域纠正 tRNA 的氨酰化错误,以维持翻译忠实性。Aars 突变小鼠的丙氨酰-tRNA 合成酶(AlaRS)编辑结构域的突变导致丝氨酸错氨酰化 tRNA 的产生增加和小脑浦肯野细胞的退化。在这里,我们通过定位克隆鉴定了 Ankrd16,该基因与 Aars 突变体呈上位性作用,可减轻神经退行性变。ANKRD16 是一种脊椎动物特异性蛋白,含有锚蛋白重复序列,可直接与 AlaRS 的催化结构域结合。AlaRS 激活的丝氨酸被ANKRD16 的赖氨酸侧链捕获,这阻止了丝氨酸腺苷酸与 tRNA 的结合,并防止丝氨酸在新生肽中的错误掺入。Aars 突变小鼠大脑中 Ankrd16 的缺失导致广泛的蛋白聚集和神经元丢失。这些结果表明,tRNA 合成酶编辑的氨酰基接受共调节剂是防止因编辑缺陷引起的严重病理的机制的新层次。

https://cdn.ncbi.nlm.nih.gov/pmc/blobs/2ba2/5973781/70d237b0eeb2/nihms958868f6.jpg

文献AI研究员

20分钟写一篇综述,助力文献阅读效率提升50倍。

立即体验

用中文搜PubMed

大模型驱动的PubMed中文搜索引擎

马上搜索

文档翻译

学术文献翻译模型,支持多种主流文档格式。

立即体验