Suppr超能文献

缺氧诱导线粒体蛋白乳酰化以限制氧化磷酸化。

Hypoxia induces mitochondrial protein lactylation to limit oxidative phosphorylation.

机构信息

The Obstetrics & Gynecology Hospital of Fudan University, Shanghai Key Laboratory of Metabolic Remodeling and Health, State Key Laboratory of Genetic Engineering, School of Life Sciences, Children's Hospital of Fudan University, and Institutes of Biomedical Sciences, Fudan University, Shanghai, China.

Department of Cancer Biology, Dana-Farber Cancer Institute, Boston, MA, USA.

出版信息

Cell Res. 2024 Jan;34(1):13-30. doi: 10.1038/s41422-023-00864-6. Epub 2024 Jan 2.

Abstract

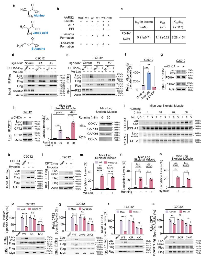
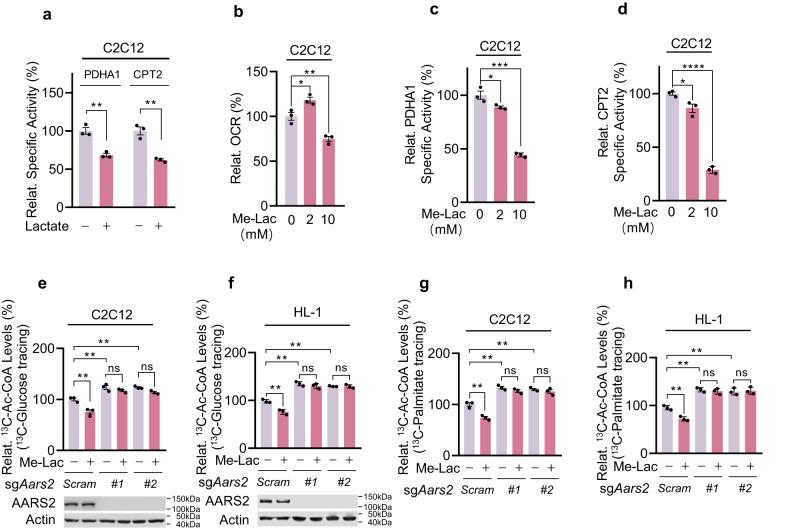
Oxidative phosphorylation (OXPHOS) consumes oxygen to produce ATP. However, the mechanism that balances OXPHOS activity and intracellular oxygen availability remains elusive. Here, we report that mitochondrial protein lactylation is induced by intracellular hypoxia to constrain OXPHOS. We show that mitochondrial alanyl-tRNA synthetase (AARS2) is a protein lysine lactyltransferase, whose proteasomal degradation is enhanced by proline 377 hydroxylation catalyzed by the oxygen-sensing hydroxylase PHD2. Hypoxia induces AARS2 accumulation to lactylate PDHA1 lysine 336 in the pyruvate dehydrogenase complex and carnitine palmitoyltransferase 2 (CPT2) lysine 457/8, inactivating both enzymes and inhibiting OXPHOS by limiting acetyl-CoA influx from pyruvate and fatty acid oxidation, respectively. PDHA1 and CPT2 lactylation can be reversed by SIRT3 to activate OXPHOS. In mouse muscle cells, lactylation is induced by lactate oxidation-induced intracellular hypoxia during exercise to constrain high-intensity endurance running exhaustion time, which can be increased or decreased by decreasing or increasing lactylation levels, respectively. Our results reveal that mitochondrial protein lactylation integrates intracellular hypoxia and lactate signals to regulate OXPHOS.

摘要

氧化磷酸化 (OXPHOS) 消耗氧气来产生 ATP。然而,平衡 OXPHOS 活性和细胞内氧气供应的机制仍然难以捉摸。在这里,我们报告细胞内缺氧会诱导线粒体蛋白乳酰化来限制 OXPHOS。我们表明,线粒体丙氨酰-tRNA 合成酶 (AARS2) 是一种蛋白质赖氨酸乳酰转移酶,其蛋白酶体降解由氧感应羟化酶 PHD2 催化的脯氨酸 377 羟化增强。缺氧诱导 AARS2 积累,使丙酮酸脱氢酶复合物中的 PDHA1 赖氨酸 336 和肉碱棕榈酰基转移酶 2 (CPT2) 赖氨酸 457/8 发生乳酰化,分别抑制这两种酶的活性,并通过限制来自丙酮酸和脂肪酸氧化的乙酰辅酶 A 流入来抑制 OXPHOS。PDHA1 和 CPT2 的乳酰化可以被 SIRT3 逆转,从而激活 OXPHOS。在小鼠肌肉细胞中,运动过程中由于乳酸氧化引起的细胞内缺氧诱导乳酰化,从而限制高强度耐力跑的疲劳时间,通过降低或增加乳酰化水平分别可以增加或减少疲劳时间。我们的研究结果表明,线粒体蛋白乳酰化整合了细胞内缺氧和乳酸信号来调节 OXPHOS。

https://cdn.ncbi.nlm.nih.gov/pmc/blobs/e777/10770133/ad489099d508/41422_2023_864_Fig1_HTML.jpg

文献AI研究员

20分钟写一篇综述,助力文献阅读效率提升50倍。

立即体验

用中文搜PubMed

大模型驱动的PubMed中文搜索引擎

马上搜索

文档翻译

学术文献翻译模型,支持多种主流文档格式。

立即体验