Suppr超能文献

突变 GNAS 通过诱导 PKA 介导的 SIK 抑制和重新编程脂质代谢来驱动胰腺肿瘤发生。

Mutant GNAS drives pancreatic tumourigenesis by inducing PKA-mediated SIK suppression and reprogramming lipid metabolism.

机构信息

Center for Cancer Research, Massachusetts General Hospital, Boston, MA, USA.

Departments of Medicine, Harvard Medical School, Boston, MA, USA.

出版信息

Nat Cell Biol. 2018 Jul;20(7):811-822. doi: 10.1038/s41556-018-0122-3. Epub 2018 Jun 25.

Abstract

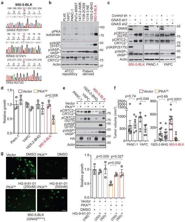
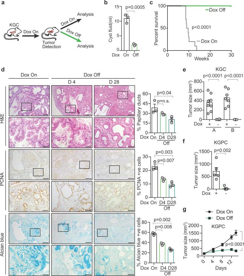
G protein α (GNAS) mediates receptor-stimulated cAMP signalling, which integrates diverse environmental cues with intracellular responses. GNAS is mutationally activated in multiple tumour types, although its oncogenic mechanisms remain elusive. We explored this question in pancreatic tumourigenesis where concurrent GNAS and KRAS mutations characterize pancreatic ductal adenocarcinomas (PDAs) arising from intraductal papillary mucinous neoplasms (IPMNs). By developing genetically engineered mouse models, we show that Gnas cooperates with Kras to promote initiation of IPMN, which progress to invasive PDA following Tp53 loss. Mutant Gnas remains critical for tumour maintenance in vivo. This is driven by protein-kinase-A-mediated suppression of salt-inducible kinases (Sik1-3), associated with induction of lipid remodelling and fatty acid oxidation. Comparison of Kras-mutant pancreatic cancer cells with and without Gnas mutations reveals striking differences in the functions of this network. Thus, we uncover Gnas-driven oncogenic mechanisms, identify Siks as potent tumour suppressors, and demonstrate unanticipated metabolic heterogeneity among Kras-mutant pancreatic neoplasms.

摘要

G 蛋白 α (GNAS) 介导受体刺激的 cAMP 信号转导,将各种环境线索与细胞内反应整合在一起。GNAS 在多种肿瘤类型中发生突变激活,但其致癌机制仍不清楚。我们在胰腺肿瘤发生中探讨了这个问题,其中 GNAS 和 KRAS 同时发生突变是源于导管内乳头状黏液性肿瘤(IPMNs)的胰腺导管腺癌(PDAs)的特征。通过开发基因工程小鼠模型,我们表明 Gnas 与 Kras 合作促进 IPMN 的起始,在 Tp53 缺失后进展为侵袭性 PDA。突变的 Gnas 在体内仍然是肿瘤维持所必需的。这是由蛋白激酶 A 介导的盐诱导激酶(Sik1-3)的抑制所驱动的,与脂质重塑和脂肪酸氧化的诱导有关。比较具有和不具有 Gnas 突变的 Kras 突变胰腺癌细胞揭示了该网络的功能存在显著差异。因此,我们揭示了 Gnas 驱动的致癌机制,确定了 Siks 作为有效的肿瘤抑制因子,并证明了 Kras 突变胰腺肿瘤之间存在出人意料的代谢异质性。

https://cdn.ncbi.nlm.nih.gov/pmc/blobs/9660/6044476/5ee513642004/nihms968400f2.jpg

文献AI研究员

20分钟写一篇综述,助力文献阅读效率提升50倍。

立即体验

用中文搜PubMed

大模型驱动的PubMed中文搜索引擎

马上搜索

文档翻译

学术文献翻译模型,支持多种主流文档格式。

立即体验