Suppr超能文献

IP3R 与 STIM1 的关联提供了一个减少的腔内钙微环境,导致增强的钙库操纵性钙内流。

Association of the IP3R to STIM1 provides a reduced intraluminal calcium microenvironment, resulting in enhanced store-operated calcium entry.

机构信息

Departamento de Biologia Celular y del Desarrollo, Instituto de Fisiología Celular. Universidad Nacional Autonoma de México, Ciudad de México, Mexico.

TIRFLabs Inc, 106 Grendon Place, Cary, NC, USA.

出版信息

Sci Rep. 2018 Sep 5;8(1):13252. doi: 10.1038/s41598-018-31621-0.

Abstract

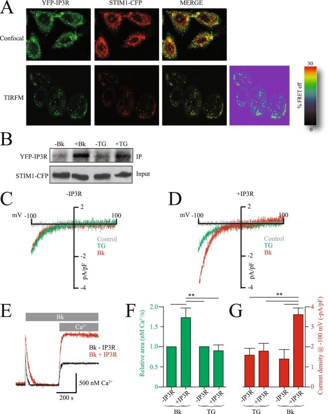
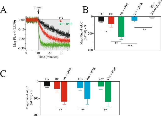
The involvement of inositol trisphosphate receptor (IP3R) in modulating store-operated calcium entry (SOCE) was established many years ago. Nevertheless, the molecular mechanism responsible for this observation has not been elucidated to this date. In the present study we show that IP3R associates to STIM1 upon depletion of the endoplasmic reticulum (ER) by activation of the inositol trisphosphate signaling cascade via G-protein coupled receptors. IP3R-STIM1 association results in enhanced STIM1 puncta formation and larger Orai-mediated whole-cell currents as well as increased calcium influx. Depleting the ER with a calcium ATPase inhibitor (thapsigargin, TG) does not induce IP3R-STIM1 association, indicating that this association requires an active IP3R. The IP3R-STIM1 association is only observed after IP3R activation, as evidenced by FRET experiments and co-immunoprecipitation assays. ER intraluminal calcium measurements using Mag-Fluo-4 showed enhanced calcium depletion when IP3R is overexpressed. A STIM1-GCaMP fusion protein indicates that STIM1 detects lower calcium concentrations near its EF-hand domain when IP3R is overexpressed when compared with the fluorescence reported by a GCaMP homogenously distributed in the ER lumen (ER-GCaMP). All these data together strongly suggest that activation of inositol trisphosphate signaling cascade induces the formation of the IP3R-STIM1 complex. The activated IP3R provides a reduced intraluminal calcium microenvironment near STIM1, resulting in enhanced activation of Orai currents and SOCE.

摘要

多年前就已经确定了三磷酸肌醇受体(IP3R)在调节钙库操纵性钙内流(SOCE)中的作用。然而,到目前为止,尚未阐明导致这一观察结果的分子机制。在本研究中,我们发现 IP3R 通过 G 蛋白偶联受体激活三磷酸肌醇信号级联反应使内质网(ER)耗竭后与 STIM1 相关联。IP3R-STIM1 相关联导致 STIM1 点状形成增强,Orai 介导的全细胞电流增大以及钙内流增加。用钙 ATP 酶抑制剂(毒胡萝卜素,TG)耗尽 ER 不会诱导 IP3R-STIM1 相关联,表明这种关联需要活跃的 IP3R。如 FRET 实验和共免疫沉淀实验所示,只有在 IP3R 激活后才观察到 IP3R-STIM1 相关联。使用 Mag-Fluo-4 进行的 ER 内腔钙测量表明,当过度表达 IP3R 时,钙耗竭增强。STIM1-GCaMP 融合蛋白表明,与均匀分布在 ER 腔中的 GCaMP 报告的荧光相比,当过度表达 IP3R 时,STIM1 在其 EF 手结构域附近检测到较低的钙浓度。所有这些数据强烈表明,三磷酸肌醇信号级联的激活诱导了 IP3R-STIM1 复合物的形成。激活的 IP3R 为 STIM1 附近提供了一个减少的内腔钙微环境,导致 Orai 电流和 SOCE 的增强激活。

https://cdn.ncbi.nlm.nih.gov/pmc/blobs/8dd5/6125598/5636e4be78cd/41598_2018_31621_Fig1_HTML.jpg

文献AI研究员

20分钟写一篇综述,助力文献阅读效率提升50倍。

立即体验

用中文搜PubMed

大模型驱动的PubMed中文搜索引擎

马上搜索

文档翻译

学术文献翻译模型,支持多种主流文档格式。

立即体验