Suppr超能文献

新型 STAT3 抑制剂 LDOC1 通过与 LNX1 相互作用靶向磷酸化 JAK2 进行降解并调节肺癌的侵袭性。

Novel STAT3 Inhibitor LDOC1 Targets Phospho-JAK2 for Degradation by Interacting with LNX1 and Regulates the Aggressiveness of Lung Cancer.

作者信息

Lee Chia-Huei, Yang Ji-Rui, Chen Chih-Yu, Tsai Ming-Hsien, Hung Pin-Feng, Chen Shin-Jih, Chiang Shang-Lun, Chang Han, Lin Pinpin

机构信息

National Institute of Cancer Research, National Health Research Institutes, 35 Keyan Road, Zhunan, Miaoli County 35053, Taiwan.

National Institute of Environmental Health Science, National Health Research Institutes, 35 Keyan Road, Zhunan, Miaoli County 35053, Taiwan.

出版信息

Cancers (Basel). 2019 Jan 9;11(1):63. doi: 10.3390/cancers11010063.

Abstract

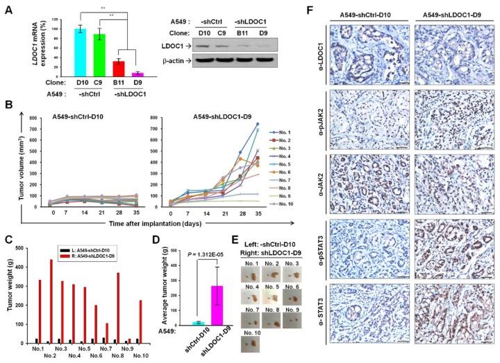
Meta-analysis revealed that () increased methylation more in people with lung tumors than in those who were healthy and never smoked. Quantitative methylation-specific PCR revealed that cigarette smoke condensate (CSC) exposure drives promoter hypermethylation and silence in human bronchial cells. Immunohistochemistry studies showed that downregulation is associated with poor survival of patients with lung cancer. Loss and gain of LDOC1 functions enhanced and attenuated aggressive phenotypes in lung adenocarcinoma A549 and non⁻small cell lung carcinoma H1299 cell lines, respectively. We found that LDOC1 deficiency led to reinforcing a reciprocal loop of IL-6/JAK2/STAT3, through which LDOC1 mediates the cancer progression. LDOC1 knockdown considerably augmented tumorigenesis and the phosphorylation of JAK2 and STAT3 in vivo. Results from immunoprecipitation and immunofluorescent confocal microscopy indicated that LDOC1 negatively regulates JAK2 activity by forming multiple protein complexes with pJAK2 and E3 ubiquitin-protein ligase LNX1, and in turn, LDOC1 targets pJAK2 to cause ubiquitin-dependent proteasomal degradation. LDOC1 deficiency attenuates the interactions between LNX1 and pJAK2, leading to ineffective ubiquitination of pJAK2, which activates STAT3. Overall, our results elucidated a crucial role of LDOC1 in lung cancer and revealed how LDOC1 acts as a bridge between tobacco exposure and the IL-6/JAK2/STAT3 loop in this human malignancy.

摘要

荟萃分析显示,与健康且从不吸烟的人相比,()在肺癌患者中导致的甲基化增加更多。定量甲基化特异性PCR显示,接触香烟烟雾冷凝物(CSC)会导致人支气管细胞中启动子高甲基化并沉默。免疫组织化学研究表明,()的下调与肺癌患者的不良生存相关。LDOC1功能的缺失和获得分别增强和减弱了肺腺癌A549和非小细胞肺癌H1299细胞系中的侵袭性表型。我们发现,LDOC1缺陷导致IL-6/JAK2/STAT3相互作用环增强,LDOC1通过该环介导癌症进展。在体内,敲低LDOC1显著增强了肿瘤发生以及JAK2和STAT3的磷酸化。免疫沉淀和免疫荧光共聚焦显微镜检查结果表明,LDOC1通过与pJAK2和E3泛素蛋白连接酶LNX1形成多种蛋白质复合物来负向调节JAK2活性,反过来,LDOC1靶向pJAK2导致泛素依赖性蛋白酶体降解。LDOC1缺陷减弱了LNX1与pJAK2之间的相互作用,导致pJAK2的泛素化无效,从而激活STAT3。总体而言,我们的结果阐明了LDOC1在肺癌中的关键作用,并揭示了LDOC1如何在这种人类恶性肿瘤中充当烟草暴露与IL-6/JAK2/STAT3环之间的桥梁。

https://cdn.ncbi.nlm.nih.gov/pmc/blobs/d4e8/6356782/f75000824eb9/cancers-11-00063-g001.jpg

文献AI研究员

20分钟写一篇综述,助力文献阅读效率提升50倍。

立即体验

用中文搜PubMed

大模型驱动的PubMed中文搜索引擎

马上搜索

文档翻译

学术文献翻译模型,支持多种主流文档格式。

立即体验